Что происходит с протезами после смерти их владельцев

Автор фото, Thinkstock
- Автор, Фрэнк Суэйн
- Место работы, BBC Future
Миллионы людей в мире вынуждены пользоваться протезами, имплантатами груди и кардиостимуляторами. Что же происходит с этими искусственными частями человеческого тела после смерти их владельцев? В этом разбирался корреспондент <link type="page"><caption> BBC Future</caption><url href="http://www.bbc.com/future" platform="highweb"/></link>.
Под бдительным присмотром тюремных надзирателей в исправительном заведении графства Метро Дэвидсон в штате Теннесси полдюжины заключенных трудолюбиво препарируют протезы ног. Каждый протез они разбирают на составные части, и в результате получается набор винтов, болтов, соединительных элементов, стоп и других деталей.
Работники тюремной мастерской в содружестве с американской благотворительной организацией Standing With Hope из Нэшвилла, штат Теннесси, утилизируют невостребованные искусственные конечности для отправки в развивающиеся страны. Разобранные на части протезы ног доставят в Гану, где обученные на месте врачи соберут их заново для своих пациентов.
Эти протезы ног получат вторую жизнь, но далеко не всем протезам и имплантатам уготована такая судьба. Вопрос о том, что делать с искусственными частями тела человека, необходимость в которых отпала, зачастую в результате смерти владельца, становится все более актуальным. Современная медицина способна предложить самый широкий ассортимент изделий, заменяющих различные части человеческого тела – от полной имитации конечностей до металлических бедер, плеч и суставов. А еще существуют кардиостимуляторы и имплантируемые кардиовертеры-дефибрилляторы (ИКД).
Что же происходит с этими приборами, когда умирает человек, которому они помогали жить?
Возрождение из огня
Инертные приспособления, такие как грудные имплантаты и протезы бедра, после смерти обычно не извлекаются, поскольку для этого нет достаточно весомых причин. Кроме всего прочего, они практически не представляют угрозы для окружающей среды. Таким образом, велика вероятность того, что археологи будущего извлекут из могил на свет божий странные объекты, принадлежавшие мертвецам третьего тысячелетия: силиконовые мешки, пластиковые зубы и кости, изваянные из металла.

Автор фото, Science Photo Library
Другое дело кремация. В топке сгорает силикон, но пламя не властно над металлическими имплантатами, такими как изделия из сплавов титана и кобальта. Их часто извлекают из пепла и утилизируют отдельно. С помощью металлодетектора из праха можно извлечь и малую толику драгоценных металлов, например, золота.
В последние годы предприимчивые организации ступили на стезю переработки этого материала. Так, голландская фирма Orthometals ежегодно собирает 250 тонн металла в сотнях крематориев по всей Европе. На своем предприятии в городе Стенберген она сортирует металлы, переплавляет в болванки, а затем продает автомобильным и аэрокосмическим компаниям.
Аналогичная компания из США, Implant Recycling, снова продает болванки из переплавленного металла предприятиям медицинской промышленности. Следовательно, после смерти какая-то часть вас может оказаться в самолете, ветряной турбине или даже в другом человеке.
От сердца к сердцу
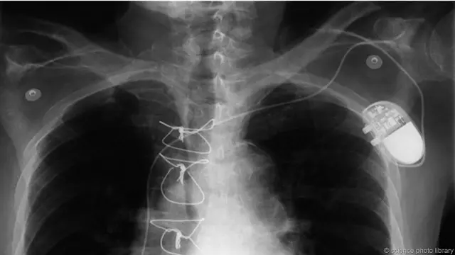
Кардиостимуляторы и ИКД, напротив, чаще всего извлекаются из тела владельца после его смерти. Перед кремацией их извлекают практически всегда, поскольку батареи могут взорваться при высокой температуре нагрева. То же самое касается нейростимуляторов спинного мозга и некоторых типов имплантируемых насосов для дозирования лекарств, поскольку конструкция тех и других содержит электронные компоненты.

Автор фото, Science Photo Library
После извлечения имплантаты, как правило, уничтожаются. В Европейском союзе, США и других странах существуют правила, запрещающие повторное использование имплантируемых медицинских устройств. Вместе с тем, нарастает тенденция извлекать эти приборы для повторного использования в развивающемся мире.
При цене в 4 тыс. долларов за кардиостимулятор и 20 тыс. за ИКД бывшие в употреблении имплантаты – единственная возможность для миллионов людей воспользоваться оборудованием, способным спасти им жизнь. В Соединенном Королевстве благотворительная организация Pace4Life забирает действующие кардиостимуляторы в похоронных бюро - для последующего использования в Индии. Аналогичным образом поступают в США.
Журнал Annals of Internal Medicine недавно обнародовал результаты американской программы, получившей название "Проект "Мое сердце – твое сердце". Оказалось, что среди 75 пациентов, получивших бывшие в употреблении ИКД, не было зафиксировано ни одного случая инфекции или отказа приборов. Организация подала в федеральное агентство США по надзору за качеством продуктов и медикаментов запрос на получение разрешения отправлять за рубеж переработанные устройства для стимуляции сердца.
Вернемся в Нэшвилл. Здесь некоммерческая организация Standing With Hope действует по тому же принципу, организовав поставку протезов конечностей в Гану. Одна из основателей НКО Грэйси Розенбергер в возрасте 17 лет попала в страшную автокатастрофу, в результате которой лишилась обеих ног. За долгие годы (авария случилась в 1983 году) у Грэйси, как у многих других людей, перенесших ампутацию, накопились штабеля протезов. Грэйси задумалась над тем, как найти им применение.

Автор фото, Science Photo Library
Человек меняет протезы, или они становятся малы, и старые искусственные конечности просто собирают пыль в дальних углах чуланов. Когда человек, потерявший при жизни руку или ногу, умирает, его семье достается в наследство целый склад исправных протезов конечностей, которые оказываются никому не нужными.
"Частные страховые компании отказываются забирать их. По-моему, и федеральные программы страхования, такие как Medicare, не принимают их назад, - объясняет муж Грэйси, Питер Розенбергер, президент НКО Standing With Hope. - Существует множество других формальных ограничений. Поэтому большая часть этого добра просто выбрасывается. К сожалению". Теперь люди, лишившиеся конечностей, и их семьи могут присылать по почте старые протезы Розенбергерам.
Благотворители ставят себе цель превзойти прошлогодний показатель в 500 протезов конечностей, доставленных в Гану. "В прошлом году была у меня такая затея, которую я назвал "Операция "Вольная птица", а в своей передаче на радио я ставил песню "Вольная птица" и говорил: "Отпустите эту ногу на волю, чтобы мы могли переработать ее", - смеется Питер. (Игра слов: название песни Footloose певца в стиле кантри Шелтона Блэйка переводится как "вольная птица", свободный, ничем не связанный человек" – прим. переводчика).
Так же, как доноры органов, те, кто завещает свои медицинские имплантаты, покинут этот мир, зная, что дали шанс на жизнь какому-то незнакомому человеку. Это может быть мужчина с пороком сердца в Индии, женщина в Америке, которая нуждается в замене бедра, или ребенок, лишившийся конечности в Гане.

Автор фото, Standing With Hope
Этот процесс идет на благо не только донорам и реципиентам. Исправительное заведение графства Метро-Дэвидсон находится в нескольких минутах езды от дома Питера, часто заезжающего проведать заключенных, работающих в тюремной мастерской по разборке протезов. Как-то в разговоре один из заключенных признался Питеру, что для него значит проект Standing With Hope ("Стоять с надеждой"). "Со слезами на глазах он сказал мне: "Первый раз я делаю что-то полезное собственными руками. Никогда раньше я не делал своими руками ничего путного, - вспоминает Питер. – Обнадеживает, правда?"
<italic>Прочитать <link type="page"><caption> оригинал этой статьи</caption><url href="http://www.bbc.com/future/story/20140311-body-parts-that-live-after-death" platform="highweb"/></link> на английском языке можно на сайте <link type="page"><caption> BBC Future</caption><url href="http://www.bbc.com/future" platform="highweb"/></link>.</italic>




















