BBCBrasil.com
70 anos 1938-2008
Español
Português para a África
Árabe
Chinês
Russo
Inglês
Outras línguas
Atualizado às: 07 de setembro, 2007 - 13h22 GMT (10h22 Brasília)
Envie por e-mailVersão para impressão
Médicos encontram 26 agulhas inseridas em corpo de chinesa

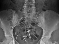
Radiografia cedida pelo Richland International Hospital
Os médicos dizem que a remoção das agulhas será um processo longo
Médicos na China descobriram 26 agulhas de costura no corpo de uma mulher que os procurou para tratamento.

Eles acreditam que as agulhas foram inseridas no corpo de Luo Cuifen quando ela era criança, pelos avós, irritados pelo fato de ela não ter nascido um menino.

Mas a teoria é de difícil confirmação pois os avós da paciente chinesa já morreram. Em várias partes da zona rural na China meninos eram, e ainda são, mais valorizados do que meninas.

O incidente é um lembrete do preconceito que ainda existe contra meninas no país.

Cuifen procurou os médicos porque sua urina tinha sinais de sangue.

Radiografias mostraram a presença das agulhas - algumas das quais haviam penetrado órgãos vitais como pulmões, fígado e rins.

Uma agulha quebrou em três pedaços em seu cérebro.

Uma equipe internacional de médicos baseados em um hospital no sul da província chinesa de Yunan agora está discutindo qual é a melhor forma de remover as agulhas.

Os médicos disseram que o procedimento será demorado e complicado que exigirá várias cirurgias.

NOTÍCIAS RELACIONADAS
ÚLTIMAS NOTÍCIAS
Envie por e-mailVersão para impressão
Tempo|Sobre a BBC|Expediente|Newsletter
BBC Copyright Logo^^ Início da página
Primeira Página|Ciência & Saúde|Cultura & Entretenimento|Vídeo & Áudio|Fotos|Especial|Interatividade|Aprenda inglês
BBC News >> | BBC Sport >> | BBC Weather >> | BBC World Service >> | BBC Languages >>
Ajuda|Fale com a gente|Notícias em 32 línguas|Privacidade