BBCNazer.comBBCNazer.comBBC World Service Trust
  • مرسته
RELATED SITES
CBEEBIES
CBBC
BBC CHILDREN
د خپريدو وخت: 06:21 گرينويچ 2008 ,05 فبروري
دا پاڼه کوم ملگري ته ولېږئچاپي بڼه
صحت و زندگی: سينه بغل

سينه بغل
تا حالا ٣٠ نوع علت های مختلف سينه بغل شناخته شده است.
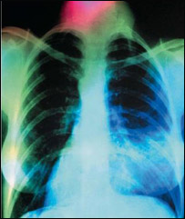
سينه بغل يا نمونيا به التهاب شديد ريه ها يا شش ها گفته می شود.

البته از اثر اين بيماری، شش ها پر از چرک شده و رسيدن اکسيجن به خون با مشکل مواجه می شود.

سينه بغل زيادتر اطفال را مصاب می سازد و برای آنها کشنده است، چون مقاومت وجود اطفال پائين می باشد.

بايد گفت تکرار حملات سينه بغل خطرناک است، پس والدين با ديدن علايم مانند کبود شدن اطراف دهن و ناخن ها، هرچه زود تر اطفال شان را به داکتر ببرند.

سينه بغل می تواند هر فردی به هر سن و سالی را مبتلا سازد، اما آيا عامل سينه بغل در بزرگسالان چه بوده می تواند؟

خانمی در مورد می گويد: "ريزش های دوامدار و مشکلات تنفسی دارم و حالا به سينه بغل مبتلا گرديده و به شفاخانه بستر هستم".

افراد معتاد به الکل، ناتوان، معتاد سگرت و آنهای که تحت عمل جراحی قرار گرفته باشند، مبتلايان بيماری های تنفسی و افرادی که بنابر عوامل مختلف مقاومت وجود شان پائين باشد، بيشتر به اين بيماری دچارمی شوند.

شخصی که پنجاه سال دارد و به عمل سگرت دچار است در مورد می گويد: "به تکاليف تنفسی دچار هستم، با سرد شدن هوا اکثرا سينه بغل می شوم،حالا در شفاخانه بستر استم".

تا حالا ٣٠ نوع علت های مختلف بيماری سينه بغل شناخته شده است که مهم ترين و شايعترين آن، علل مکروبی و ويروسی اند.

سينه بغل که را مصاب می سازد؟
سينه بغل
 سينه بغل می تواند هر فردی به هر سن و سالی را مبتلا سازد.

داکتر حيات اله غرځنگ، متخصص امراض داخله می گويد: "ويروس ها موجودات زنده اندکه از بيرون داخل وجود می شوند.

و باکتريا يک نوع مکروبيست در وجود که سبب پيدا شدن امراض مختلف از جمله سينه بغل می شود."

از سال ٢٠٠٠ به اين طرف بيماری سينه بغل به عنوان هفتمين علت مرگ و مير در جهان شناخته شده است.

درين بيماری بدن به کاهش اکسيجن دچار شده، ريه ها مملو از چرک و آب زرد رنگ می شوند .

شش ها کار اصلی خود را که اخذ اکسيجن است به درستی انجام داده نمی تواند و بدن به کاهش اکسيجن دچار می شود.

از اثر بيماری سينه بغل، اعضای حياتی بدن چون قلب، گرده و مغز کار شان را به درستی انجام داده نتوانسته و به عدم کفايه دچار می شوند، گاهی هم اين بيماری موجب مرگ می شود.

علايم خاص آن کبود شدن دور دهن و ناخن ها و ساير اعضای وجود و شبيه انفلوانزای شديد می باشد.

مريض تب شديد، سردردی، درد عضلات و ضعف عمومی بدن و نفس تنگی را احساس می کند.

اگر چه اين بيماری قابل درمان است، اما می تواند بسيار خطرناک هم باشد. در صورت ابتلا هيچگاه درمان را به تاخير نينداخته و در پهلوی دوا به مريض مايعات گرم خورانده شود.

داکتر می گويد: "جهت جلوگيری از سينه بغل، اطفال بايد واکسين شوند تا مقاومت وجود آنها در برابر مکروب ها بلند باشد.

خانمی مصاب به سينه بغل در بيمارستان
ريزش های دوامدار و مشکلات تنفسی من را به سينه بغل مبتلا کرد، حالا در شفاخانه بستر هستم".

مردم خود را از هوای بسيار سرد نگهداری کرده، امراض تنفسی، قلبی و گرده تداوی شوند".

بيمار بايد از سبزيجات، ميوه جات، ترکاری و لبنيات استفاده کند تا مقاومت وجودش بلند رود.

همچنان ورزش های منظم می توانند مقاومت وجود فرد را در برابر اکثريت بيماری های تنفسی بلند برد.

شکستگی استخوان صحت و زندگی
شکستن استخوان
گار گرفتگیصحت و زندگی
گازگرفتگی
افسردگی در نوجوانان صحت و زندگی
افسردگی و نوجوا نان
دود سگرت و اضرار آن بر صحت انسانصحت و زندگی
اضرار دود
کمبود کلسيم در خانمهای حامله صحت و زندگی
خاک خوردن زنان حامله!
نور خبرونه
دا پاڼه کوم ملگري ته ولېږئچاپي بڼه
BBC Copyright Logo^^ سرپاڼه
لومړى مخ | نوى کور نوى ژوند | زمونږ نړۍ زمونږ راتلونکې | ژوند او زده کړه
خانه نو زندگى نو | جهان ما اينده ما | زندگى و آموزش
راډيوي پروگرامونه | نشريات | انځور/ عکس | له مونږ سره اړيکه | زموږ په اړه
BBC World Service >> | BBC World Service Trust >>