“Tengo 39 años y tengo Alzheimer”

Fuente de la imagen, Tim Parry
- Autor, Fergus Walsh
- Título del autor, BBC, Salud
Chris Graham parece una persona de 39 años saludable y en forma.
Pero este exsoldado británico padece la enfermedad de Alzheimer de inicio precoz.
Graham heredó una forma extremadamente rara de esta condición de su padre, quien murió con sólo 42 años.
Su hermano Tony, quien es cuatro años mayor, también la tiene y ahora necesita cuidados permanentes: lo alimentan a través de una sonda y no puede hablar.
Chris, quien tuvo que dejar el ejército británico por motivos médicos en enero pasado, ya está sufriendo problemas de memoria.
"Las campanas de alarma me sonaron cuando Tony cayó enfermo, así que me hice una prueba de sangre que confirmó que tengo un gen que desencadena la enfermedad de Alzheimer de inicio precoz", le contó Graham a la BBC.
"Yo sospechaba que estaba afectado porque me olvido de cosas".
La enfermedad de Alzheimer es la forma más común de demencia, y sus síntomas suelen aparecer a una edad avanzada.
La versión precoz afecta a menores de 65 años y representa menos del 5% de las personas enfermas.
En un grupo de 400 familias de todo el mundo los científicos han identificado unas raras mutaciones genéticas que activan la enfermedad a lo largo de varias generaciones.
En estos casos, los afectados desarrollan Alzheimer cuando tienen entre 30 y 40 años.
<link type="page"><caption> Lee también: ¿Desde qué edad te puede dar Alzheimer?</caption><url href="http://www.bbc.co.uk/mundo/noticias/2015/03/150310_salud_alzheimer_pacientes_jovenes_mes" platform="highweb"/></link>
Mutación
La mutación genética que afecta a Chris Graham se denomina PSEN-1. En la película "Siempre Alice", el personaje interpretado por Julianne Moore también tiene este gen mutado.

Las dos hermanas de Graham también se hicieron la prueba, pero no son portadoras de esta mutación.
Él vive con su mujer en Oxfordshire, Reino Unido, y es padre de un bebé de siete semanas que se llama Dexter.
Sabe que puede haber pasado el gen a su hijo.
"Dexter tiene una probabilidad de 50-50 de tenerlo. No son buenas noticias pero espero que la ciencia encuentre una respuesta".
"Si podemos enviar un hombre a la Luna seguramente podemos encontrar una cura para el Alzheimer".
<link type="page"><caption> Lea también: Una familia colombiana podría ser la clave para curar el Alzheimer</caption><url href="http://www.bbc.co.uk/mundo/noticias/2011/05/110519_alzheimer_colombia_familia_cura_jrg.shtml" platform="highweb"/></link>
Desafío
En abril Graham se subirá a su bicicleta para iniciar un recorrido de un año y unos 25.000 kilómetros por las costas de Canadá y Estados Unidos.

Su intención es recaudar fondos para la organización británica de investigación del Alzheimer (Alzheimer’s Research UK).
En Reino Unido, el Instituto de Neurología de University College London (UCL) ya está investigando con la participación de las familias afectadas por esta versión de la enfermedad.
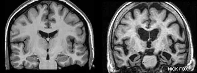
"Estas familias nos ofrecen información muy valiosa sobre los primeros cambios que suceden en el cerebro, incluso antes de que aparezcan los síntomas", explica Nick Fox, investigador de UCL.
Este equipo de investigación vigila de cerca la salud de Chris Graham, así como la del resto del grupo.

Fuente de la imagen, BBC World Service
Para eso realizan escáneres de su cerebro que rastrean la progresión de la enfermedad.
Graham también debe hacer pruebas de memoria y se le han practicado punciones lumbares para extraer fluido y así detectar proteínas dañinas en el líquido cefalorraquídeo.
Sin embargo, los responsables de Alzheimer’s Research UK dicen que existe una necesidad urgente de más inversiones en la investigación de la demencia.
"Por cada científico que trabaja en el campo de la demencia hay seis o siete dedicados a la investigación del cáncer", dice Hilary Evans, de esta organización.
Según Evans, aún predomina la idea equivocada de que el Alzheimer y la demencia son una parte inevitable del envejecimiento.
"El caso de Chris Graham pone en evidencia que es una enfermedad, así que necesitamos más investigación para combatirla", insistió.









