العلاج بنوعين من أدوية السرطان "يقلص الميلانين بـ60%"

- Author, جيمس غالاهر
- Role, محرر الصحة - بي بي سي
خلصت تجربة طبية جديدة إلى أن العلاج بمزيج من نوعين من أدوية مكافحة السرطان يمكن أن يقلص بنحو 60 في المئة أورام الميلانين.
وبحسب نتائج التجربة الدولية، التي شملت 945 مريضا، فإن العلاج بمزيج من عقاري "إيبيليموماب" و"نيفولوماب" يؤدي إلى وقف تفشي السرطان لنحو عام في 58 في المئة من حالات الإصابة.
وعرض أطباء بريطانيون بيانات الدراسة أمام الجمعية الأمريكية لعلم الأورام السريري.
وقال معهد بحوث السرطان البريطاني إن العقار الطبي الموصى به يمثل "ضربة قاصمة" لأحد أكثر أشكال السرطان عدوانية.
وتعتبر الأورام الميلانينية أشد أشكال سرطان الجلد خطورة.
تقوية المناعة
ويعد استخدام جهاز المناعة بمثابة مجال سريع النمو في الأبحاث المتعلقة بالسرطان.
وجهاز المناعة عنصر دفاع قوي ضد الإصابة. لكن هناك الكثير من "المكابح" الطبيعية التي تحول دون مهاجمته أنسجتنا.
ويمكن للسرطان، الذي يعد نسخة تالفة من الأنسجة السليمة، أن يستغل هذه المكابح لتفادي الهجوم الذي يشنه جهاز المناعة.
ويبطل عقار "ايبليموماب" وعقار "نيفولوماب" معا عمل هذه المكابح.
وأظهرت الدراسة الدولية أن استخدام العقارين معا يؤدي إلى تراجع نسبة الأورام بنحو الثلث لدى 58 في المئة من المرضى، مع ثبات الورم أو تقلصه لفترة تبلغ 11.5 شهر في المتوسط.
وأشارت الأرقام، التي نشرت في دورية "نيو إنجلاند" الطبية، إلى أن عقار "إيبيليموماب" يسهم بمفرده في تراجع بنسبة 19 في المئة وأنه يؤدي لثبات الورم أو تقلصه لفترة شهرين ونصف.
"مستقبل كبير"
وقال جيمس لاركين، المستشار بمستشفى مارسدين الملكية وأحد كبار الباحثين البريطانيين، لبي بي سي "بإعطاء هذين العقارين معا فإنك تبطل عمل اثنين من مكابح جهاز المناعة بدلا من واحد، بحيث يمكنه التعرف على الأورام التي لم يكن بإمكانه التعرف عليها سابقا واتخاذ رد فعل تجاهها وتدميرها."
وأضاف "بالنسبة لعلاجات المناعة، لم نرصد على الإطلاق تراجع المعدلات بنسبة تفوق 50 في المئة، لذا تعتبر هذه النتائج مهمة للغاية."
ومضى قائلا "هذا هو أسلوب العلاج الذي اعتقد أنه سيكون له مستقبل في علاج السرطان."

وحظيت التحاليل الأولى للبيانات باهتمام مؤتمر السرطان في شيكاغو، لكن المعلومات الأساسية، مثل المدة التي يعيشها المريض، مازالت غير معلومة.
وقال لاركين "نأمل في أن تكون الاستجابة المبكرة بمثابة تحول إلى الأقوى، لكن حاليا لا يمكننا الحديث."
كما تعتبر الآثار الجانبية مثل التعب أو الطفح الجلدي أو الإسهال قضية أيضا. وأكثر من نصف الذي خضعوا لفحوصات تعرضوا لآثار جانبية نتيجة تناول مزيج من الأدوية مقارنة بنحو ربع الذين تناولوا عقار "إيبيليموماب" فقط.
ومازال غير معروف أيضا لماذا يستجيب البعض على نحو استثنائي للعلاج جيدا، في حين لا يستفيد آخرون على الإطلاق.
"آثار جانبية شديدة"

صدر الصورة، b
وقال آلان ورسلي كبير مسؤولي المعلومات العلمية بمعهد بحوث السرطان البريطاني "هذا البحث يشير إلى إمكانية توجيه ضربة لأورام الميلانين المتقدمة من خلال تقديم مزيج من العلاجات المضادة."
وأضاف ورسلي "هذا المزيج العلاجي يعمل على تعطيل مكابح جهاز المناعة واعتراض قدرة السرطان على الاختباء منه، لكن استخدام مزيج من هذه العلاجات يزيد احتمال زيادة شدة الآثار الجانبية."
وأوضح أن"تحديد المرضى الأكثر استفادة على الأرجح يمثل مفتاحا مهما لمواجهة المرض."
ويُحقن عقار "إيبيليموماب" عبر الوريد كل ثلاثة أشهر وتتجاوز تكلفته 191 ألف دولار سنويا. في حين يعطى عقار "نيفولوماب" كل أسبوعين حتى يتوقف عن العمل.
واستطاعت شركات أدوية كثيرة تطوير عقاقير مشابهة لها نفس التأثير على جهاز المناعة، مثل عقار "بيمبروليزوماب"، وهو أيضا عقار رائد في المجال.
وتنعقد الآمال على أن تثبت هذه العلاجات المناعية أنها فعالة في مواجهة نطاق واسع من أنواع السرطان.
"نتائج مدهشة"

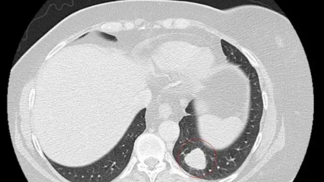
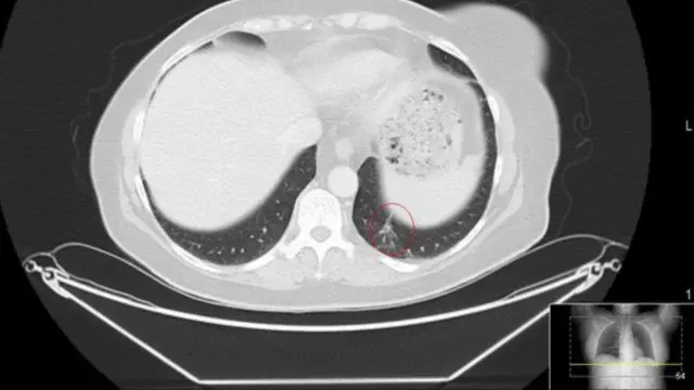
بدأت البريطانية كايت تشالوين (43 عاما) تجربة العلاج بعد تشخيص إصابتها بورم ميلانيني في عام 2013.
وصنف الورم الذي أصاب وجهها بأنه ورم حميد لكنه في الحقيقة كان ورما سرطانيا وانتشر إلى الرئة. وقال الأطباء إنها ستعيش فقط ما بين 18 إلى 24 شهرا.
وخضعت للعلاج في مستشفى مارسدين الملكية وأصبح الورم السرطاني مستقرا الآن.
وقالت "اشعر بنتائج مدهشة الآن."
وأضافت "استغرقت وقتا طويلا كي أعود إلى حالتي الطبيعية، لكني على يقين بأنه إذا لم يكن للعلاج أدنى تأثير، لكنت في مكان غير هذا الآن."








