بند گوبھی جان لیوا ہو سکتی ہے

،تصویر کا ذریعہGetty Images
- مصنف, بھومکا رائے
- عہدہ, بی بی سی نامہ نگار
انڈیا میں ڈاکٹروں نے ایک آٹھ سال کی بچی کے دماغ میں کیڑے کے سو سے زیادہ انڈے پائے ہیں۔
بچی کے والدین کے لیے یہ سمجھ پانا مشکل ہو رہا تھا کہ ان کی بیٹی کو ہر روز سر میں درد کیوں رہتا ہے اور دورے کیوں پڑتے ہیں۔ تقریباً چھ مہینوں تک اس کی حالت ایسی ہی رہی۔ یکن جب والدین کو اس کی وجہ پتا چلی تو انہیں یقین نہیں ہوا۔
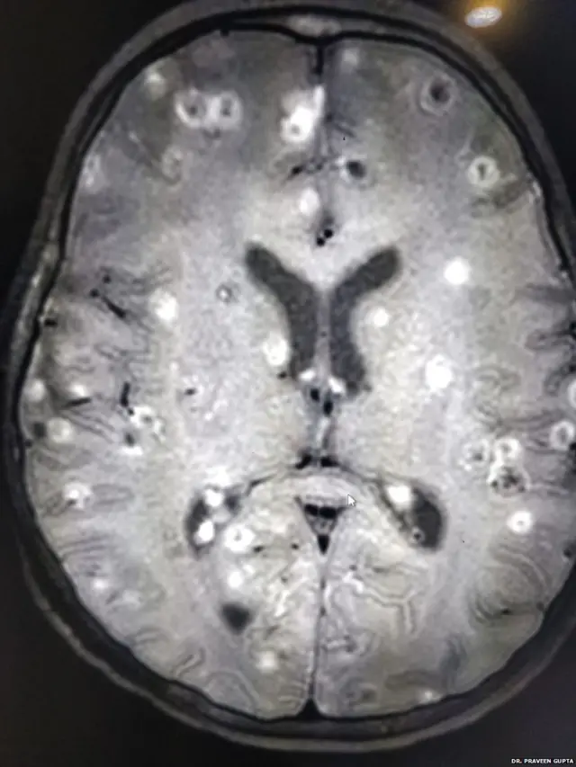
بچی کے دماغ میں سو سے زیادہ ٹیپ ورم کے انڈے تھے جو سکین ہونے پر دماغ میں خون کے لوتھڑوں کی صورت میں نظر آ رہے تھے۔
یہ بھی پڑھیے
انڈین ریاست ہریانا کے گڑگاؤں شہر میں قائم فارٹس ہسپتال میں محکمہ نیورالوجی کے ڈائریکٹر ڈاکٹڑ پروین گپتا اس بچی کا علاج کر رہے ہیں۔
انہوں نے بتایا کہ ’ہمارے پاس آنے سے پہلے یہ بچی دماغ میں سوجن اور دورے پڑنے کا علاج کروا رہی تھی۔‘

،تصویر کا ذریعہDr Praveen Gupta
بچی کے دماغ میں سوجن کم کرنے کے لیے اسے صٹیرائڈز دیے جانے گے تھے۔ اس کا اثر یہ ہوا کہ آٹھ برس کی بچی کا وزن چالیس کلو سے بڑھ کر ساٹھ کلو ہو گیا۔
End of سب سے زیادہ پڑھی جانے والی
وزن بڑھنے سے اس کی تکلیف میں بھی اضافہ ہو گیا۔ بچی جب ڈاکٹر گپتا کے پاس آئی تو اس کا سی ٹی سکین کیا گیا اور اسے نیورو سسٹی سیرکوسس نامی مرض سے متاثر پایا گیا۔
ڈاکٹر گپتا نے بتایا کہ ’جس وقت بچی ہسپتال لائی گئی وہ ہوش میں نہیں تھی۔ سکین میں اس کے دماغ میں صفید رنگ کے دھبے نظر آ رہے تھے۔ یہ دھبے کیڑے کے انڈے تھے۔ وہ بھی ایک یا دو نہیں، سو سے زیادہ انڈے۔‘
یہ بھی پرھیے
بچی کو ایسی دوا دی جا رہی ہے جس سے ان انڈوں کو ختم کیا جا سکے، لیکن ابھی سارے انڈے ختم نہیں ہوئے ہیں۔
انہوں نے بتایا کہ یہ کیڑے ایک بار دماغ میں پہنچ جائیں تو انڈوں کی تعداد لگاتار بڑھتی رہتی ہے اور ان انڈوں کے دباؤ سے سوجن ہو جاتی ہے اور دماغ کام کرنا بند کر دیتا ہے۔

،تصویر کا ذریعہDr. Praveen Gupta
دماغ تک کیسے پہنچے یہ انڈے
ڈاکٹر گپتا نے بتایا کہ کوئی بھی چیز اگر ٹھیک سے نہیں پکائی جاتی ہے تو اسے کھانے سے اس میں موجود کیڑے پیٹ میں پہنچ جاتے ہیں۔ اس کے بعد خون کے ذریعے یہ کیڑے جسم کے مختلف حصوں تک پہنچ جاتے ہیں۔
انڈیا میں مرگی کے دورے سے متاثر افراد میں بھی بڑی وجہ یہی کیڑے ہیں۔
ٹیپ ورم کیسے پھیلتا ہے
ٹیپ ورم ربن جیسے دکھنے والے کیڑے ہوتے ہیں۔ اگر ان کا انڈا جسم میں داخل ہو جاتا ہے تہ وہ آنتوں میں اپنا گر بنا لیتا ہے۔ اور وہاں سے یہ انڈے خون کے ذریعہ جسم بھر میں پہنچ سکتے ہیں۔
یہ جگر اور آنکھوں میں بھی پہنچ سکتے ہیں۔ اس کے علاوہ ان سے دماغ بھی متاثر ہو سکتا ہے۔
کہاں سے آتا ہے ٹیپ ورم
- ٹھیک سے نہیں پکا ہوا گوشت، خاص طور پر پورک، مچلی اور بیف ٹیپ ورم کو ہمارے جسم میں پہنچانے کی وجہ ہو سکتے ہیں۔
- گندے پانی کے ذریعہ بھی ٹیپ ورم جسم میں پہنچ سکتا ہے۔
- بند گوبھی اور پالک کو اگر ٹھیک طرح نہ پکایا جائے تو ٹیپ ورم جسم تک پہنچ سکتے ہیں۔
- پکانے اور کھانے سے پہے ان سبزیوں کو بہت اچھی طرح دھونا چاہیے جن پر پانی یا مٹی لگی ہو۔






















