İngiltere'de bir köpek göğsüne takılan 20 cm'lik kebap şişiyle 5 ay yaşadı

Kaynak, © Southfields Veterinary Specialists
İngiltere'de Labradoodle cinsi bir köpek, göğsüne takılan 20 cm'lik kebap şişiyle beş ay boyunca hayatta kalmayı başardı.
Times'ın haberine göre Bessie isimli 9 yaşındaki köpek, yazdan beri iştahsızdı ve kilo kaybediyordu.
Essex kentindeki veterinerler bir dizi test yaptı ama sebebi bir türlü anlaşılamadı.
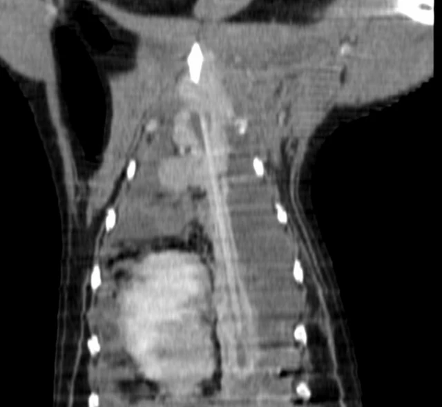
Veterinerler bu defa köpeğe röntgen çektirdi: 20 cm uzunluğundaki bir kebap şişi karşılarında duruyordu.
'Mucize'
Bessie'nin ameliyatını yapan veteriner Henry L'Eplattenier, "Şişin göğse kadar gidip hayati organlardan geçmemiş olması bir mucize. O çok şanslı bir köpek" diye konuştu.

Kaynak, Sally scott
Bessie'nin sahipleri, şişin köpeklerinin göğsüne nasıl gittiğini bilmediklerini ama büyük ihtimalle yazın mangal yapılırken cismi yanlışlıkla yuttuğunu söylediler.
Şişin yemek borusundan zamanla göğse taşındığı ve orada takıldığı düşünülüyor.

Kaynak, SOUTHFIELDS' VETERINARY PRACTICE




