พบ "ไวรัสยารา" เชื้อสายพันธุ์ใหม่มีพันธุกรรมไม่เหมือนใครในโลก

ที่มาของภาพ, J. ABRAHÃO / UFMG
ไวรัสโคโรนาสายพันธุ์ใหม่ซึ่งกำลังอยู่ในความสนใจของคนทั่วโลกขณะนี้ เป็นเพียงไวรัสชนิดหนึ่งที่นักวิทยาศาสตร์ยังพอจะสืบหาที่มาของการกลายพันธุ์และเส้นทางวิวัฒนาการของมันได้ แต่ "ไวรัสยารา" (Yaravirus) ซึ่งเพิ่งมีการค้นพบในประเทศบราซิล กลับมีจีโนมหรือข้อมูลพันธุกรรมทั้งหมดไม่เหมือนกับไวรัสชนิดใดที่เคยค้นพบมาก่อนในโลก
ทีมนักไวรัสวิทยานานาชาติ นำโดยนักวิจัยจากมหาวิทยาลัยแห่งรัฐมีนาสเจอไรส์ (UFMG) ของบราซิล เผยแพร่รายงานการค้นพบนี้ในคลังเอกสารวิชาการออนไลน์ bioRxiv โดยระบุว่าพบเชื้อไวรัสชนิดใหม่ล่าสุดในทะเลสาบปัมปูลญา(Pampulha) ซึ่งเป็นแหล่งน้ำที่มนุษย์ขุดขึ้นทางตะวันออกเฉียงใต้ของประเทศ
ทีมผู้วิจัยตั้งชื่อให้ไวรัสชนิดนี้ว่า "ยารา" ซึ่งหมายถึง "มารดาแห่งห้วงน้ำทั้งมวล" ตามชื่อของพรายน้ำที่มีลักษณะคล้ายเงือกในตำนานพื้นบ้านของบราซิล ซึ่งมักจะปรากฏตัวเพื่อลวงให้บรรดาคนเดินเรือจมน้ำ
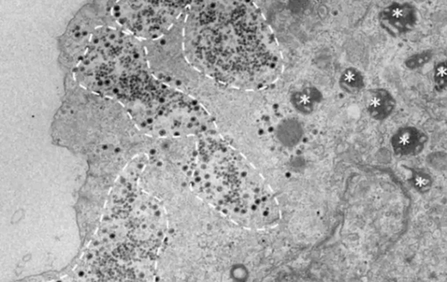
ไวรัสยาราที่ค้นพบใหม่นี้มีอนุภาคไวรัสขนาดเล็กเพียง 80 นาโนเมตร สามารถทำให้เกิดการติดเชื้อในอะมีบาหลายชนิด แต่ยังไม่เป็นที่แน่ชัดว่ามันสามารถจะก่อโรคในมนุษย์หรือสัตว์ชนิดอื่น ๆ ได้หรือไม่
หน่วยพันธุกรรมหรือยีนกว่า 90% ของไวรัสยาราเป็น "ยีนกำพร้า" (Orphan genes) ซึ่งไม่ทราบที่มาและไม่เคยปรากฏในฐานข้อมูลใด ๆ มาก่อน นอกจากนี้ยังมียีนเพียง 6 ตัว ที่มีลักษณะคล้ายคลึงเล็กน้อยกับยีนของไวรัสยักษ์ (Giant Viruses) ซึ่งเป็นไวรัสค้นพบใหม่เช่นกัน

ที่มาของภาพ, J. ABRAHÃO / UFMG
ดร. โจนาตาส อับราเฮา หนึ่งในทีมผู้วิจัยบอกว่า "ไวรัสยาราเป็นไวรัสสายพันธุ์ใหม่ ประเภทที่พบในอะมีบา ซึ่งยังมีข้อมูลเรื่องต้นกำเนิดทางพันธุกรรมและวงศ์วานวิวัฒนาการ (Phylogeny) เป็นปริศนาอยู่"
"ว่ากันตามที่จริงแล้ว การวิเคราะห์ทางพันธุกรรมของเรายังไม่สามารถจัดประเภทไวรัสชนิดนี้ให้อยู่ในกลุ่มใดได้ หรือยังไม่อาจจะเรียกได้ว่าเป็นไวรัสด้วยซ้ำไป"
"การค้นพบนี้ทำให้เราตระหนักว่า ยังมีความหลากหลายทางพันธุกรรมอีกมหาศาลในโลกของไวรัสที่เรายังไม่รู้จักและต้องเรียนรู้เพิ่มเติมอีกมาก" ดร. อับราเฮา กล่าว





























