Episode details

Available for over a year
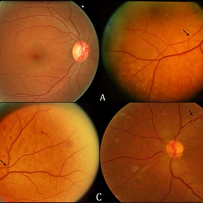
For centuries doctors have been diagnosing disease by looking inside the body, but how about using a window into the brain? By looking at blood vessels in the retina of a group of people with high blood pressure - one of the main factors in the development of a stroke - doctors in Singapore have found they might be able to predict which people are most likely to have a stroke. The research was done by Dr Mohammed Kamran Ikram from the Singapore Eye Research Institute and has just been published in the journal Hypertension. Learning Disabilities in Sri Lanka Disabled people in Sri Lanka have long found it difficult to live dignified lives and traditionally many have been subjected to confinement or in some of the worst cases left to die. In this mainly Buddhist and Hindu country, many believe disability is a punishment for wrong-doing in a former life. But in one of the island’s poorest districts, called Nuwara Eliya, there is a place founded by a British-Sri Lankan couple which aims to give disabled people a better deal by extending comprehensive day care. The BBC’s correspondent Charles Haviland went to the Sri Lankan hill country to find out more. Cognitive Performance Variability Have you noticed that some days you are a bit sharper, while on other days you keep forgetting things? This complaint is particularly common amongst older people, but a new study shows most cognitive performance fluctuations occur within a shorter period of time than a whole day. And there is also some good news if you are older. Although on average people do worse at memory tests as they age, it turns out that older people perform more consistently than younger people. The research was conducted by Florian Schmiedek, Professor of Methods of Developmental and Educational Psychology at the German Institute for Educational Research. Picture: Examples of varying degrees of damage to retinal blood vessels, Credit: Dr Mohammed Kamran Ikram
Programme Website