Episode details

Radio 4,27 Aug 2013,28 mins
Deep Down Inside
Available for over a year
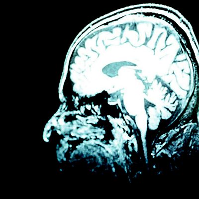
Deep Brain stimulation is a brain surgery technique involving electrodes being inserted to reach targets deep inside the brain. Those targets are then stimulated via the electrodes which are connected to a battery powered pacemaker surgically placed under the person's collar bone. Geoff Watts finds out how the technique has been used successfully for treating the movement disorders of Parkinson's disease, in patients with severe, intractable depression, in chronic pain and how it's also being trialled to see if it can also be successful in treating Obsessive Compulsive disorder, Tourette's syndrome and other disorders. Geoff meets patients who have had their lives changed by having Deep brain stimulation. He also meets the surgeons at the operating table to find out how it works. At the moment no one has all the answers but one psychiatrist he meets says the success of Deep Brain stimulation means we should radically change the way we understand how the brain works. That the brain is governed by electrical circuitry rather than a chemical soup of neurotransmitters.
Programme Website