Ученые нашли комбинацию препаратов против меланомы

Автор фото, SPL
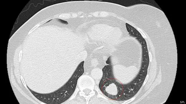
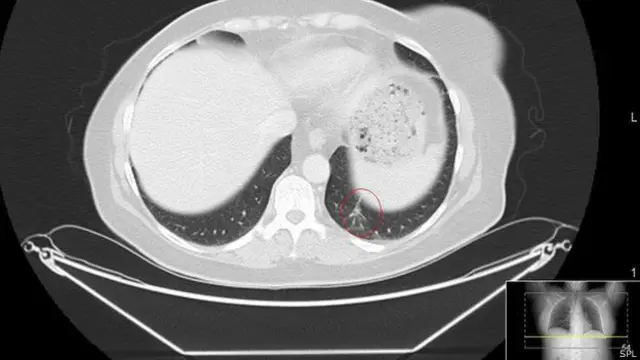
Комбинация двух новых лекарственных средств уменьшает размеры опухолей у почти 60% пациентов с поздней стадией развития меланомы. Об этом было сказано в докладе группы британских медиков на заседании Американского общества клинической онкологии.
Международные клинические испытания на 945 пациентах выявили, что препараты ипилимумаб (ipilimumab) и ниволумаб (nivolumab) вызывали прекращение роста раковых опухолей в 58% случаев на срок до года.
Меланома, наиболее серьезная форма рака кожи, является шестым по распространенности видом рака в Британии; от меланомы в стране ежегодно умирает более 2 тысяч человек.
Два лучше одного
Оба препарата основаны на принципе стимулирования иммунной системы человека. Эта система является мощным барьером на пути инфекций в организм. Однако она же обладает и множеством естественных ограничителей, которые предотвращают автоиммунную реакцию, когда организм начинает отвергать собственные ткани.
Разные формы раковых клеток обладают свойством использовать эти ограничители для преодоления сопротивления иммунной системы.
Препарат ипилимумаб, который был одобрен для лечения продвинутых форм меланомы в Британии в прошлом году, а также его вариант ниволумаб, отключают действие таких природных ограничителей иммунной системы.
Международные клинические испытания на 945 пациентах выявили, что применение обоих препаратов одновременно приводит к сокращению опухолей примерно на треть в 58% случаев, причем период сокращения размеров опухоли или остановки ее роста составлял в среднем 11,5 месяцев.
Применение одного препарата ипилумубаба, согласно данным, опубликованным в журнале New England Journal of Medicine, приводило к сокращению опухолей только в 19% случаев на период в 2,5 месяца.
Доктор Джеймс Ларкин, консультант лондонской больницы "Ройал Марсден", рассказал Би-би-си, что сочетание этих двух препаратов приводит к нейтрализации двух ингибиторов иммунной системы, что позволяет ей опознавать опухоли, которые прежде она не замечала, и активно нападать на раковые клетки.
"В сфере иммунотерапии мы никогда прежде не наблюдали такого значительного сокращения опухолей у такого числа пациентов, поэтому это очень важный для нас результат, - пояснил ученый. - Речь идет о методе лечения, который в будущем станет ведущим в борьбе с раком".

Автор фото, SPL

Автор фото, SPL
На конференции онкологов в Чикаго первые результаты клинических испытаний новых препаратов привлекли всеобщее внимание. Однако пока остается неизвестным, насколько продлевают жизнь раковых больных новые лекарства.
Новое поколение лекарств
Их применение сопровождается серьезными побочными симптомами - усталостью, сыпью и поносом. У более чем половины пациентов, участвовавших в клинических испытаниях обоих лекарств одновременно, отмечались эти побочные симптомы по сравнению с четвертью пациентов, которым давался один ипилимубаб.
Остается также неясным, почему некоторые пациенты реагировали исключительно положительно на лечение, а другие не проявляли вообще никакой реакции.
Доктор Алан Уорсли из благотворительного фонда Cancer Research UK считает, что метод комбинированного применения разных иммунотерапевтических препаратов может оказаться мощным орудием в руках онкологов.
"Когда мы научимся распознавать пациентов, наиболее позитивно реагирующих на такую терапию, мы получим эффективный способ воздействия на меланому", - сказал он.
Ипилимубаб вводится внутривенно каждые три месяца и стоит около 100 тысяч фунтов (более 150 тысяч долларов) в год. Ниволумаб вводится каждые две недели до прекращения его действия.
Оба препарата были созданы фармакологической компанией Bristol-Myers Squibb.
Многие такие компании заняты сейчас разработкой и испытаниями подобных иммунотерапевтических препаратов. Например, пембролизумаб, созданный компанией Merck, является еще одним лидером в данной области.
Ученые надеются, что новое поколение иммунотерапевтических средств окажется эффективным методом лечения широкого круга раковых опухолей.
Рассказ пациентки

43-летняя Кейт Чалвин из Корнуолла принимала участие в клинических испытаниях после того, как в 2013 году у нее была диагностирована меланома.
Новообразование на ее лице, которое считалось доброкачественным, оказалось на самом деле меланомой и дало метастазы в легкие. Врачи давали ей 18-24 месяца жизни.
Кейт прошла курс лечение в больнице Марсден и ее опухоль прекратила рост, однако она была вынуждена выйти из программы испытаний из-за побочных симптомов.
По ее словам, после лечения она прекрасно себя чувствует.
"Мне понадобилось длительное время на возвращение к нормальному самочувствию, но я твердо верю, что если бы лечение не сработало, меня бы сейчас не было среди живых", - говорит Кейт.




















