Homem morre de câncer formado por células de verme e intriga cientistas

Crédito, Peter Olson
Um homem morreu com tumores formados por tecidos cancerígenos de um verme parasita que cresceram em seus órgãos, de acordo com médicos.
O paciente tinha HIV e seu sistema imunológico fragilizado permitiu que o câncer-parasita crescesse.
O raro caso foi diagnosticado por uma parceria entre os Centros de Controle e Prevenção de Doenças nos Estados Unidos (CDC na sigla inglesa) e o Museu de História Natural do Reino Unido.
Médicos disseram que o caso, detalhado na publicação científica New England Journal of Medicine, era "maluco" e incomum.
Médicos colombianos tentaram diagnosticar o que afetava o homem de 41 anos em 2013.
<link type="page"><caption> Leia também: Como descobrir o que o Facebook sabe sobre você</caption><url href="http://www.bbc.com/portuguese/noticias/2015/11/151014_facebook_salasocial_informacoes_cc" platform="highweb"/></link>
Curtiu? <bold>Siga a BBC Brasil no <link type="page"><caption> Twitter</caption><url href="http://www.twitter.com/bbcbrasil" platform="highweb"/></link> e no <link type="page"><caption> Facebook</caption><url href="http://www.facebook.com/bbcbrasil" platform="highweb"/></link></bold>
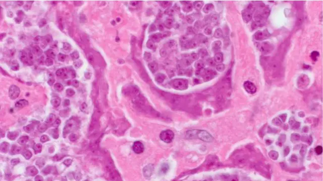
Ele aparentava ter tumores normais, alguns com mais de 4 cm de comprimento, em seus pulmões, fígado e outros locais do corpo.
Mas uma avaliação mais detalhada mostrou que as células cancerígenas claramente não eram humanas - elas tinham apenas um décimo do tamanho usual das células humanas.
"Não fazia sentido", disse Atis Muehlenbachs, que analisou o caso nos Centros de Controle nos EUA.
Ele considerou diversas hipóteses, como a de que as células humanas cancerígenas terem encolhido ou que se tratava de uma infecção recém-descoberta.
Ao final, testes moleculares identificaram altos níveis de DNA de tênia nos tumores e a reação de Muehlenbachs foi de "descrença total".

Crédito, CDC
"Esse foi o caso mais incomum, me deixou acordado várias noites. Era para ser uma decisão óbvia entre câncer ou uma infecção, mas não conseguir distinguir isso por meses foi muito incomum."
<link type="page"><caption> Leia também: Programa testa capacidade de adolescentes de identificar consentimento ao sexo</caption><url href="http://www.bbc.com/portuguese/noticias/2015/11/151104_bbc_estupro_juvenil_fd" platform="highweb"/></link>
O estado do paciente já estava avançado demais quando os médicos identificaram a causa de seus tumores e ele morreu três dias após o DNA do parasita ser descoberto.
Verme único
O tecido em questão veio de uma espécie de verme, a Hymenolepis nana, também conhecido como tênia-anã - especialidade de Peter Olson, do Museu de História Natural.
"Há algo muito especial nessa espécie porque ela consegue cumprir todo seu ciclo de vida em apenas um hospedeiro e isso é completamente único", disse ele à BBC.
Cerca de 90% do corpo do verme é dedicado à reprodução, já que expele milhares de ovos no intestino todos os dias.
Acredita-se que, em vez de o verme desenvolver um câncer, um desses ovos penetrou na mucosa intestinal, passou por mutação e acabou se tornando cancerígeno.
"Elas (as células) estavam se dividindo e proliferando de forma descontrolada e é isso que define um câncer. Eram células de um tumor de parasita", disse Olson.
'Atípico'
Acredita-se que até 75 milhões de pessoas sejam infectadas pela tênia-anã - causadora da himenolepíase, uma verminose com sintomas como diarreias, dor abdominal, agitação, insônia e irritabilidade - em algum momento da vida.
<link type="page"><caption> Leia também: Estrela 'teen' do Instagram abandona contas e agora faz campanha contra redes sociais</caption><url href="http://www.bbc.com/portuguese/noticias/2015/11/151103_australia_instagram_abandona_fd" platform="highweb"/></link>
Médicos acreditam que câncer-parasita seja raro, mas que muitos casos podem não ter sido diagnosticados.
Os CDCs dizem que lavar as mãos e cozinhar legumes crus é a melhor forma de prevenir parasitas.
Há registro de cânceres desse tipo passando de uma pessoa para a outra por meio de um transplante de órgãos ou pelo útero.
Também há um tipo de câncer-parasita que vem sendo transmitido entre cachorros há 11 mil anos.
Mel Greaves, diretor do centro de evolução e câncer do Instituto de Pesquisa de Câncer de Londres, disse que o caso era "interessante e único".
"O que é mais atípico é que são células livres do parasita crescendo de uma forma semelhante ao câncer em vez de o verme inteiro. Espécies de quase todo filo dos invertebrados podem desenvolver câncer e este potencial parece inerente às células animais, e principalmente a células-tronco de animais multicelulares. O que esse caso mostrou é que uma combinação de circunstâncias excepcionais permitiu que esse potencial fosse expresso em um hospedeiro estrangeiro."












