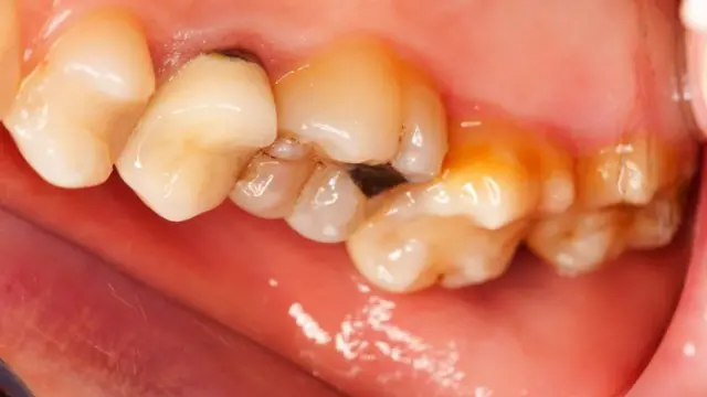
خوږ او اسيد لرونکی څښاک غاښونه خرابوي

د عکس سرچینه، Getty Images
د اسيد لرونکو شيانو څښل لکه ځينې چايونه چې پکې د ميوو له ترکيباتو استفاده کيږي او يا هغه اوبه چې د ميوو او نورو شيانو مزه پکې ور زياته شوې وي، غاښونه خرابوي او سپینوالی یې له منځه وړي.
په لندن کې د کينګ کالج د يوې پلټنې پايله ښيي د خوړو په منځ کې ددغه راز مشروباتو څښل او د غاښونو ژر نه مينځل د غاښونو د خرابيدو سبب گرځي.
دغه پلټنه په نږدې ٣٠٠ داسې کسانو تر سره شوې چې د غاښونو له جدي خرابوالي کړېږي.
د پلټنې پايله کې جوته شوې څومره زيات چې له دغو مشروباتو استفاده کيږي هغومره یې غاښونو ته زیات زیان رسېدای شي.
د ميوو اوبه، د مېوې چايونه، هغه څښاک يا مشروبات چې خواږه يې ورنه لرې شوي وي، اوبه چې د مزې د ښه کولو لپاره څه ور زيات شوي وي دا ټول اسيدي يا تيزابي دي او پلټنې ښودلې چې دا ټول شیان غاښونه خرابوي.
د پلټنې په پايله کې راغلي، په مکرره توگه ددغه راز مشروباتو کارونه او وړاندې تر هغه چې له ستونې تير شي په خوله کې يې د ډير وخت لپاره ساتنه غاښونو خرابوي .
د پلټنې مشر (سوايروس اوتول) وايي، که دغه مشروبات له پنځو دقيقو د زيات وخت لپاره خوله کې ساتل کيږي او يا هم په پرله پسې او دوامداره توگه ميوه خولې ته واچول شي دا هم هغه څه دي چې غاښونو ته زيان رسوي.

د عکس سرچینه، Getty Images
همدا راز دى وايي که له ډوډۍ وروسته څوک مڼه خوري بايد جوخت ور پسې اسیدي څښاک ونه کړي. ددغې پلټنې يوه سپارښتنه دا هم ده چې بايد خواړو کې مو د هر څه توله سمه او په اندازه واوسي.
سربېره پردې پلټنې موندلې که څوک له اوبو سره ليمو يا د ميوو خوند لرونکى چاى د ورځي دوه واره د خوړو په منځ کې وڅښي، د غاښونو د خرابېدو يا چينجنيدو چانس يې ١١ واره زياتېږي او که دغه اوبه له ډوډې سره يو ځاى مصرف شي تاوان نزدې نيمايي ته راکوزيږي.
سرکه او دې ته ورته ځينې نور شيان هم د غاښونو د خرابېدو سبب گرځي.



















