
Emily Murdoch is a keen horse rider despite her problems with MS
New research suggests the number of children suffering from multiple sclerosis may be higher than previously thought.
It remains a very rare condition and only a third of young people who have an attack will go on to develop MS in later life.
But it can have a devastating affect on children and their families.
One of those is 15-year-old Emily Murdoch from Cannock in Staffordshire.
Like many girls her age, she loves horses and has been riding since she was a little girl.
One day she hopes to represent Britain in competition, but she does not know if it will be in the Olympics or Paralympics.
Wheelchair
At the age of 12, Emily was diagnosed with childhood multiple sclerosis. An attack can leave her confined to a wheelchair when her legs stop working.
She suffers from severe tiredness, muscle spasms and numb hands and legs.
"It's not really very nice," she says "especially when my legs go on me, because it's the second time my legs have gone on me."

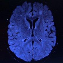
The lighter areas in this scan of Emily's brain shows where damage has occurred
"It took my left hand last time.
"My legs get weaker. I know when my MS is bad because my legs get weak and my horse can feel it."
Scarred brain
At Birmingham Children's Hospital, I'm shown a scan of Emily's brain by Michael Absoud, a clinical research fellow at the University of Birmingham.
He is one of the authors of <link> <caption>new research</caption> <url href="http://msj.sagepub.com/content/early/2012/04/19/1352458512445944.1.full.pdf+html" platform="highweb"/> </link> into how many children are affected by the condition.
Dr Absoud points to lighter areas on the scan which are scars left on the brain after an attack of multiple sclerosis.
A diagnosis of MS in children is rare and sometimes controversial - not all doctors believe it exists.
But Dr Absoud says their research suggests it is more widespread than first thought.
"The research by itself has helped raise awareness that this disease does indeed happen in children.
"The first presentation can be in children as young as three years old."
Over a 13-month period, the researchers surveyed paediatricians and ophthalmologists who might see children suffering from MS-like symptoms.

Michael Absoud believes the new research will raise awareness of a rare condition
They found that MS-type attacks affected around 125 children in the UK each year. Two to three children per week were having MS-like problems with numbness or blurred vision.
This doesn't mean every child who suffers these kind of symptoms is having an attack of MS.
And Dr Absoud says it's thought only about a third of children who have an attack will develop the condition in later life.
"Not all children who experience an MS-like attack will go on to develop the condition.
"Some will recover fully and never experience similar symptoms again, while others have longer-term problems that eventually lead to a diagnosis of MS.
"Although rare, MS can occur in childhood, but knowledge about the number of children affected by the condition, how the illness progresses and how it could best be treated is severely lacking, which is why our research is so important."
Dr Doug Brown, head of biomedical research at the MS Society which helped fund the new research, says around one in 20 adults with MS experienced their first symptoms in childhood.
"Historically MS has always been considered as an older person's condition, but we're now seeing people diagnosed much younger.
"So the more we understand about childhood MS, the better health professionals can be at diagnosing the condition and offering treatment and vital support to young people and their families."
Devastating impact
But for the families of those children who are affected, the impact of that first diagnosis can be devastating, as Emily's mum Tracey Murdoch discovered.

Tracey Murdoch says having her daughter diagnosed with MS was devastating
"You can't put it into words.
"You physically don't know the 'what ifs?', 'what's happened?', 'why?'.
"You instantly think - wheelchair, old person with MS. That's clearly not the case, as we found out when Emily was diagnosed."
Emily is managing to keep up her riding, despite fresh attacks.
When she is well she looks and acts like a healthy teenager. But this is a condition for which there is no known cure and only limited treatment.
MS in children is very rare - around 10 children in every million will be diagnosed. Making that diagnosis early seems to be the key to at least slowing the progress of condition.
And as Emily shows, with enough courage, determination and support, children with MS can go on to live a life that is at least close to normal.
- Published29 May 2012
- Published30 April 2012
- Published8 December 2011