Qué es el pecho hundido, la deformidad que muchos consideran solo un problema estético pero puede causar la muerte

Fuente de la imagen, Kerry Van Der Merwe
- Autor, Claire Gilbody-Dickerson
- Título del autor, BBC News
- Tiempo de lectura: 5 min
Respirar es una lucha cotidiana para Kerry Van Der Merwe.
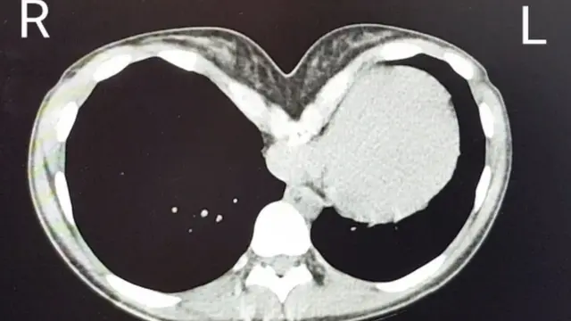
Padece el síndrome del pecho hundido, una condición médica rara que, en muchos casos, provoca una malformación de la pared torácica causada por el hundimiento del esternón.
Dicho de otra forma, es una enfermedad que puede aplastar el corazón a quien la sufre.
Este padecimiento es visto muchas veces como un problema estético, por lo que en Reino Unido, el país donde vive Kerry, su tratamiento no lo cubre el sistema de salud público (NHS, por sus siglas en inglés).
Contando su caso quiere crear conciencia sobre una condición que causa dolor y angustia a diario, para que quienes la padecen no se sientan incomprendidos e ignorados, como ella lo fue, dice, durante mucho tiempo.

Fuente de la imagen, Kerry Van Der Merwe
"Estrangulada por dentro"
Kerry es peluquera, tiene 44 años y visitó a al menos a 10 médicos para buscar solución a su falta de aire y taquicardias.
Ninguno de los doctores pudo decirle que eran síntomas del síndrome de pecho hundido, también conocido como pectus excavatumo tórax en embudo.
"No podía siquiera abrir un frasco, y aún así nunca me dijeron que lo iban a investigar", cuenta Kerry, quien también es madre de una niña y vive en Devon, en el sur de Inglaterra.
El NHS no ofrece tratamiento quirúrgico para personas con esta condición porque considera que no hay suficiente evidencia de sus posibles beneficios.
Según el organismo, sus síntomas incluyen dolor en el pecho, falta de aire, fatiga, mareos y frecuencia cardíaca alta, pero no tiene como consecuencia un impacto psicológico grande en el paciente.
Aunque con esto último no está para nada de acuerdo Kerry.
"No hay manera de que pueda vivir así. Es como si me estuvieran estrangulando por dentro", ilustra.
"Y que se niegue (que siente eso) es absolutamente desagradable", dice Kerry
"He estado tomando antidepresivos toda mi vida, desde que comenzó la deformación", asegura.
"No puedo hacer algo tan simple como correr cuesta arriba o subir las escaleras. Mi corazón bombea tan rápido que es verdaderamente peligroso".
Según la Clínica Mayo, si bien en algunos casos el único síntoma es la deformidad del pecho, en los más graves el esternón puede comprimir los pulmones y el corazón.
En estos últimos, algunos síntomas son:
- Menor tolerancia al ejercicio
- Palpitaciones o latidos del corazón acelerados
- Infecciones respiratorias recurrentes
- Soplo cardíaco

Fuente de la imagen, Science Photo Library
Luego de su peregrinar por varias consultas médicas sin obtener respuesta o tratamiento, Kerry buscó a un especialista.
El cirujano torácico Joel Dunning, del Hospital Universitario James Cook de Middlesbrough, en Inglaterra, finalmente le ofreció una visión especializada.
"Ella nunca ha sabido cómo es ser normal", dice Dunning, quien agrega que "sin duda" el corazón de su paciente está siendo "aplastado" por su esternón.
De acuerdo al especialista, es "una locura" negar la cirugía "que prolonga la vida" en casos como el de ella.
"Cualquiera en la calle podría decirte que, si el pecho te aplasta el corazón y quitas aquello que lo oprime, respirarás mejor".
Gracias a la intervención del cirujano, Kerry, debe ahora someterse a un procedimiento para insertar tres barras de titanio que elevarán su pecho a una posición normal.
El doctor Dunning llama la atención sobre los "enormes" beneficios psicológicos de esta cirugía que, según dice, debería ofrecerse de manera gratuita.
Para el cirujano, los adolescentes que padecen pecho hundido serían los más beneficiados por la intervención.
"Son adolescentes que intentan encontrar su camino en el mundo y que la condición los hace introvertidos, constantemente preocupados, que no interactúan con el otro género".
Una vida en suspenso
Pero hay casos en los que padecer de pecho hundido puede tener otras consecuencias.Katie Bruce lo vivió en carne propia.

Fuente de la imagen, Katie Bruce
Tenía 21 años cuando se desmayó debido a su síndrome de pecho hundido y fue atropellada por un automóvil.
Perdió cuatro de sus dientes frontales y sufrió múltiples fracturas en la cara. Un lado de su mandíbula se desprendió de su cráneo y "nunca se reparó".
La joven graduada de bioquímica logró someterse a una cirugía en marzo, justo un año después de solicitar su primera cirugía y de que esta fuera rechazada.
Debido a que el hundimiento en su pecho era tan profundo, los cirujanos solo pudieron insertar una barra de metal. La pieza terminó girándose y la joven de 26 años quedó en cama mientras espera otra cirugía para corregir la complicación.
"Siento como si me estuvieran apuñalando repetidamente entre las costillas. Ningún analgésico puede aliviar eso", cuenta.
"Tengo 26 años, un título universitario y no puedo hacer nada. No puedo conseguir trabajo, no puedo pensar en comenzar a pagar una hipoteca para una casa o formar una familia. Mi vida parece estar en suspenso".

Fuente de la imagen, Katie Bruce
Katie dice que estas complicaciones no habrían ocurrido de haberse sometido a la operación cuando era más joven y su estructura ósea todavía se estaba formando.
"Si hubieran sido más conscientes de ello en primer lugar y me hubieran tratado hace mucho tiempo, nunca habría sido atropellada por aquel automóvil".
Katie también tuvo síntomas como falta de aire y taquicardias, pero, al igual que Kerry, tampoco fue diagnosticada correctamente durante muchos años.
"Estoy sorprendida por la cantidad de médicos que he visto y ninguno de ellos ha sabido nada al respecto".

Fuente de la imagen, Kerry Van Der Merwe
Mientras tanto, Kerry aguarda la operación con la esperanza que supondrá un cambio en su vida. Aunque está nerviosa, sabe que necesita esta cirugía.
"Tengo miedo, pero sé que va a salvar mi vida".

Ahora puedes recibir notificaciones de BBC Mundo. Descarga la nueva versión de nuestra app y actívalas para no perderte nuestro mejor contenido.
Este artículo contiene contenido proporcionado por Google YouTube. Solicitamos tu permiso antes de que algo se cargue, ya que ese sitio puede estar usando cookies y otras tecnologías. Es posible que quieras leer política de cookies y política de privacidad de Google YouTube antes de aceptar. Para ver este contenido, selecciona 'aceptar y continuar'.
Fin del contenido de YouTube, 1
Este artículo contiene contenido proporcionado por Google YouTube. Solicitamos tu permiso antes de que algo se cargue, ya que ese sitio puede estar usando cookies y otras tecnologías. Es posible que quieras leer política de cookies y política de privacidad de Google YouTube antes de aceptar. Para ver este contenido, selecciona 'aceptar y continuar'.
Fin del contenido de YouTube, 2
Este artículo contiene contenido proporcionado por Google YouTube. Solicitamos tu permiso antes de que algo se cargue, ya que ese sitio puede estar usando cookies y otras tecnologías. Es posible que quieras leer política de cookies y política de privacidad de Google YouTube antes de aceptar. Para ver este contenido, selecciona 'aceptar y continuar'.
Fin del contenido de YouTube, 3










