माइक्रोचिप के हैरान करने वाले मिथ और हक़ीक़त

तकनीक ने हमारी ज़िंदगी को बहुत आसान बना दिया है. वहीं कुछ मायनों में हमसे हमारी आज़ादी छीन ली है. निजता का यह मसला सुप्रीम कोर्ट के सामने भी है. प्रिवेसी का अधिकार बुनियादी अधिकार है कि नहीं इस पर सुनवाई हो रही है.
मगर दुनिया में ऐसी बहुत सी तकनीकें आ गई हैं, जो हमारी निजता को पूरी तरह से ख़त्म कर रही हैं. हमारे निजी पलों की भी उन्हें ख़बर रहती है. बहुत से लोग तो ख़ुशी-ख़ुशी अपनी निजी जानकारियां साझा करते हैं.
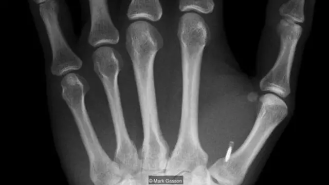
आज ऐसी बहुत सी कंपनियां हैं जो अपने कर्मचारियों के शरीर में माईक्रो चिप लगाने का काम कर रही हैं. जिन्हें रेडियो फ़्रीक्वेंसी आईडेंटिफिकेशन चिप या आर.एफ.आई.डी कहा जाता है.
इंसान की देह में माइक्रोचिप
जिस कर्मचारी के शरीर में इसे लगाया जाता है, वो कॉन्टैक्टलेस स्मार्ट कार्ड की तरह काम करना शुरू कर देता है. यानी बिना फ़ोन इस्तेमाल किए वो अपनी सारी तफ़्सीलात किसी दूसरे नंबर पर भेज सकता है. अपने कंप्यूटर की सारी डीटेल कंप्यूटर इस्तेमाल किए बग़ैर बता सकता है.

इमेज स्रोत, Mark Gasson
हालांकि आर.एफ.आई.डी चिप किसी भी कर्मचारी को उसकी इजाज़त के बाद ही लगाई जाती है. फिर भी ये उसकी प्रिवेसी को लेकर बहुत से सवाल खड़े करती है.
मोज़िला कंपनी में काम करने वाले विलियम्स ने अपनी मर्ज़ी से अपने हाथ में आर.एफ.आई.डी चिप लगवाई थी. उनका कहना है कि उनकी याद्दाश्त बहुत ख़राब है. हरेक नंबर और जानकारी याद रखना उनके लिए आसान नहीं होता है. लेकिन जब से ये चिप उन्हें लगी है, उनके लिए ज़िंदगी आसान हो गई है.
अब अगर विलियम्स को किसी को अपनी कोई डीटेल देनी होती है, तो वो सिर्फ़ फ़ोन को छूते हैं और सारी जानकारी उस फ़ोन में चली जाती है.
लगातार बढ़ रही है संख्या
आज इस तरह की माइक्रोचिप का इस्तेमाल करने वालों की संख्या काफ़ी बढ़ गई है. इस चिप को बनाने वाली कंपनी डेंजरस थिंग्ज़ का कहना है कि वो अब तक 10 हज़ार चिप बेच चुके हैं.

इमेज स्रोत, Adam Berry/Getty Images
इसी हफ़्ते अमरीका के विस्कॉन्सिन की एक कंपनी ने एलान किया था कि वो अपने सभी कर्मचारियों के हाथ में ये चिप लगाने वाली है. थ्री स्क्वेयर मार्केट नाम की कंपनी के मुताबिक़ इस चिप का इस्तेमाल करने से ना सिर्फ़ काम करना आसान हो जाता है, बल्कि उनकी प्रोडक्टिविटी भी बढ़ जाती है.
अब तक इस कंपनी के करीब 50 कर्मचारियों ने चिप लगवाने के लिए क़रारनामे पर दस्तख़्त कर दिए हैं.
इस चिप का इस्तेमाल करने वालों को 'बायोहैकर' का नाम दिया गया है. इसका इस्तेमाल सबसे पहले साल 2006 में सिटी वॉचर नाम की वीडियो सर्विलांस कंपनी ने किया था.
थ्री स्क्वेयर मार्केट के लिए चिप बनाने वाली कंपनी बायो हैक्स इंटरनैश्नल का कहना है कि दुनिया भर में दर्जनों ऐसी कंपनियां हैं जो अपने यहां इस चिप का इस्तेमाल करने की ख़्वाहिशमंद हैं.

इमेज स्रोत, Paul Hughes
क्या यह प्रिवेसी के ख़िलाफ़
रेडियो फ़्रिक्वेंसी आईडेनटिफिकेशन चिप के बढ़ते इस्तेमाल के साथ ही निजी आज़ादी का सवाल उठने लगा है. कुछ संस्थाओं का कहना है कि इस चिप का इस्तेमाल कर्मचारी की प्रिवेसी के ख़िलाफ़ है. मुलाज़िम कहां आता है, किससे मिलता है सारी जानकारी उसके मालिक को रहती है.
ब्रिटेन की कोवेंट्री यूनिवर्सिटी में प्रोफ़ेसर केविन वॉरविक ने साल 1998 में अपने शरीर में आर.एफ़.आई चिप लगवाई थी. इनके मुताबिक़ इस चिप का इस्तेमाल करने वालों से कोई भी संवेदनशील जानकारी बहुत आसानी से हासिल की जा सकती है.
प्रोफ़ेसर केविन के मुताबिक़ ये तकनीक कोई नई चीज़ नहीं है. कार्गो में, हवाई जहाज़ के बैगेज में, हमारे बटुए में रखे कार्ड में, मोबाइल फ़ोन में इस तरह की चिप का इस्तेमाल होता रहा है.
अगर कोई मुलाज़िम अपनी मर्ज़ी से ये चिप शरीर में दाख़िल कराने के लिए राज़ी हो जाता है तो ठीक है. लेकिन अगर कंपनी नौकरी ही इस शर्त पर दे कि उसे ये चिप लगवानी होगी तो ये चिंता का विषय है.

इमेज स्रोत, Paul Hughes
ऐपल और गूगल के पास सारी जानकारी
वैसे भी हम आर.एफ़.आई.डी चिप लगवाएं या ना लगवाएं, हमारी निजी जानकारियां एपल, गूगल, और फ़ेसबुक जैसे कंपनियों के पास मौजूद हैं. पोलैंड की एजीएच यूनिवर्सिटी ऑफ़ साइंस के प्रोफ़ेसर पॉवेल रोटर के मुताबिक़ निजता के लिए मोबाइल फ़ोन सबसे ज़्यादा ख़तरनाक है.
फोन हैक करके आपकी पूरी जानकारी हासिल की जा सकती है. माइक्रो कैमरा, और जीपीएस के ज़रिए आप पर हर वक़्त नज़र रखी जा सकती है. इसके मुक़ाबले आर.एफ़.आई.डी के ज़रिए कोई जानकारी लीक होने का ख़तरा बहुत कम है.

इमेज स्रोत, Adam Berry/Getty Images
हालांकि आर.एफ़.आई.डी चिप इमप्लांट कराना मुश्किल काम नहीं है. अलबत्ता इसे निकलवाना थोड़ा तकलीफ़दह हो सकता है. एक बार जब चिप आपके जिस्म में दाख़िल हो जाती है तो वो आपके शरीर का हिस्सा बन जाती है.
लेकिन जब चीज़ें आपके कंट्रोल के बाहर होने लगती है तो आप ख़ुद को लाचार महसूस करने लगते हैं. हर तकनीक के फ़ायदे और नुक़सान दोनों हैं. इसीलिए किसी भी तकनीक को बहुत सोच समझकर ही इस्तेमाल करना चाहिए.
(अंग्रेजी में मूल लेख पढ़ने के लिए यहां क्लिक करें, जो बीबीसी कैपिटल पर उपलब्ध है.)
(बीबीसी हिन्दी के एंड्रॉएड ऐप के लिए आप यहां क्लिक कर सकते हैं. आप हमें फ़ेसबुक और ट्विटर पर फ़ॉलो भी कर सकते हैं.)
































