اكتشاف مذهل لوشوم معقدة على جسد مومياء عمرها 2,500 عام

صدر الصورة، G Caspari and M Vavulin
- Author, جورجينا رانارد
- Role, مراسلة العلوم والمناخ - بي بي سي
- مدة القراءة: 4 دقائق
كشفت الصور عالية الدقة للوشوم الموجودة على "مومياء مجمدة" عمرها 2,500 عام، من سيبيريا، عن نقوش بالغة التعقيد، اعتبرها الباحثون تحدياً حتى لفناني الوشم المعاصرين.
تسلط الوشوم المعقدة، التي تصور النمور والغزال والديك ومخلوقاً أسطورياً نصفه أسد ونصفه نسر على جسد المرأة، الضوء على ثقافة المحاربين القديمة.
تزينت المرأة الموشومة برسومات تمثّل فهوداً، وغزالاً، وديكاً، وكائناً أسطورياً نصفه أسد ونصفه نسر. وتقدم هذه الرسومات لمحة فريدة عن ثقافة المحاربين القدماء من البدو الرحّل في آسيا الوسطى.
تعاون علماء الآثار مع فنان وشم معاصر يُعيد تنفيذ الوشوم القديمة على جسده باستخدام أدوات وأساليب تاريخية، في محاولة لفهم كيفية تنفيذ تلك الزخارف.
تُشير التحليلات إلى أن المرأة كانت تبلغ نحو خمسين عاماً عند وفاتها، وتنتمي إلى شعب البازيريك، وهم قبائل رحّل من رُكّاب الخيل، عاشوا في السهوب (الأرض الواسعة المستوية) الممتدة بين الصين وأوروبا.

صدر الصورة، Daniel Riday
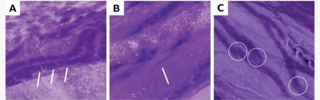
وقد كشفت الفحوص الحديثة أن تلك الوشوم نُفّذت بدقة بالغة واتساق فني متقن، ولم تكن مرئية سابقاً بالعين المجردة.
قال المشرف على الدراسة الدكتور، جينو كاسباري، من معهد ماكس بلانك للجيولوجيا البشرية وجامعة برن لبي بي سي نيوز: "هذه الاكتشافات توضح لي مدى تطور هؤلاء الناس".
من المعروف أن معظم الأدلة المادية على الحياة القديمة تتلاشى مع مرور الزمن، ما يجعل تتبّع الممارسات الاجتماعية والثقافية القديمة والتفاصيل الشخصية في حياة فرد معين أمراً نادراً.
تم العثور على "مومياوات الجليد" التي تعود إلى شعب بازيريك داخل مقابر جليدية، في جبال "ألتاي" في سيبيريا خلال القرن التاسع عشر، ولكن كان من الصعب رؤية الوشوم.

صدر الصورة، Daniel Riday
لكن استخدام التصوير الرقمي بالأشعة تحت الحمراء داخل متحف إرميتاج في سانت بطرسبرغ أتاح لأول مرة الحصول على صور دقيقة للغاية تُظهر تلك الوشوم .
يقول الدكتور كاسباري: "أشعرتني الصور بأننا نقترب من هؤلاء الأشخاص أنفسهم، لا من فنهم فقط. أصبحت الأجساد تنبض بالحياة".
ومن أبرز الرسومات وشم على ساعدها الأيمن يظهر فيه رؤوس فهود تلتف حول رأس غزال.

صدر الصورة، Getty Images
وعلى الذراع اليسرى مشهد صراع بين الكائن الأسطوري "غريفون" وغزال. أما إبهام اليد، فكان مرسوماً عليه ديك بأسلوب فني فريد.
يقول الدكتور كاسباري: "تعد أجساد إناث الغزلان الملتوية والمشاهد القتالية العنيفة للحيوانات البرية من السمات المميزة لهذه الثقافة".
وقد ساهم الباحث دانيال رايدي، المتخصص في إعادة تنفيذ الوشوم الأثرية على جسده، في تحليل تفاصيل الصور.

صدر الصورة، Daniel Riday
"تفاوت الجودة"
أشار ريداي إلى أن التفاوت في جودة التنفيذ بين الذراعين ربما يدل على أن فنانين مختلفين قد نفّذوا الوشوم، أو أن الفنان ذاته ارتكب أخطاء.
يقول: "إذا كان لي أن أخمن، فربما استغرق الأمر أربع ساعات ونصف الساعة للجزء السفلي من الذراع الأيمن، وخمس ساعات إضافية للجزء العلوي".
ويضيف: "هذا التزام قوي من الشخص. تخيل الجلوس على الأرض في السهوب (لساعات طويلة) حيث تهب الرياح طوال الوقت... يجب أن يقوم بذلك شخص على دراية بالصحة والسلامة، ويعرف مخاطر ما يحدث عند ثقب الجلد".

من خلال تحليل العلامات الموجودة على جلد المرأة، يعتقد الفريق أن الوشم ربما تم نقشه (ثقبه) على الجلد قبل أن يتم وشمه.
ويعتقدون أنه تم استخدام أداة تشبه الإبرة ذات نقاط متعددة صغيرة، مصنوعة على الأرجح من قرن أو عظم حيوان، بالإضافة إلى إبرة منفردة. ومن المرجح أن الصبغة كانت مصنوعة من مواد نباتية محترقة أو سخام (سواد الدخان).
يقول الدكتور كاسباري - الذي لا يحمل وشوماً على جسده - إن هذا العمل يسلط الضوء على ممارسة قديمة مهمة جداً لكثير من الناس حول العالم اليوم.

صدر الصورة، Daniel Riday
ويضيف: "حتى في ذلك الوقت، كانت هذه الممارسة احترافية بالفعل، حيث كان الناس يبذلون الكثير من الوقت والجهد والممارسة لإنشاء هذه الصور، وهي صور متطورة للغاية".
وأظهرت الصور أن بعض الوشوم قد شُوّهت أو قُطعت أثناء تجهيز الجثمان للدفن، ما يدعم الفرضية القائلة إن الوشم كان يحمل دلالة حية، دون امتداد رمزي إلى الحياة بعد الموت، وفقاً للدكتور كاسباري.
نُشرت نتائج هذه الدراسة في مجلة Antiquity.
































