Covid : l'étude qui montre comment le cerveau change après une infection de coronavirus, même bénigne

Crédit photo, UK Biobank
- Author, Rebecca Morelle
- Role, Correspondant Sciences, BBC
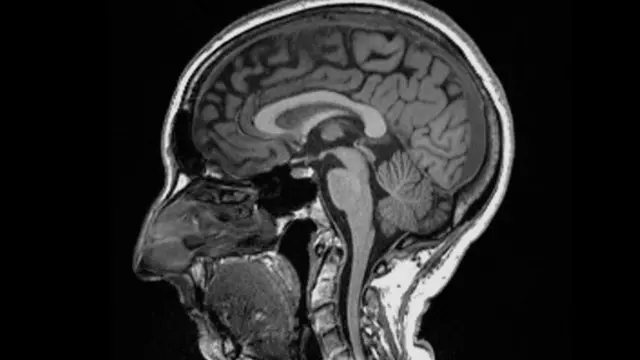
Être infecté par le covid-19 peut entraîner des changements dans le cerveau, selon une étude publiée dans la revue Nature.
Les chercheurs ont constaté des différences significatives dans les IRM réalisées avant et après l'infection.
Même après une infection légère, les images ont montré que la taille globale du cerveau avait légèrement diminué, avec moins de matière grise dans les régions liées à l'odorat et à la mémoire.
On ne sait pas si ces changements sont permanents, disent les chercheurs, qui soulignent que le cerveau a la capacité de se rétablir.
A lire aussi :
"Nous nous sommes penchés sur une infection essentiellement bénigne, et la surprise a été grande de constater qu'il y avait vraiment des différences dans le cerveau et que celui-ci avait beaucoup changé par rapport aux personnes qui n'avaient pas été infectées", a déclaré Gwenaelle Douaud, auteur principal de l'étude et professeur au Center Wellcome Institute for Integrative Neuroimaging de l'université d'Oxford.
Le projet UK Biobank a suivi la santé de 500 000 personnes pendant environ 15 ans et dispose d'une base de données de scans enregistrés avant la pandémie. Cela a fourni une occasion unique d'étudier l'impact du virus sur la santé à long terme.
Les chercheurs ont effectué un nouveau scanner :
- 401 participants, 4,5 mois en moyenne après leur infection. 96 % avec un covid léger
- 384 participants qui n'avaient pas de covid
Ils ont constaté que :
- La taille globale du cerveau des participants infectés avait été réduite de 0,2 à 2 %
- Il y avait des pertes de matière grise dans les zones olfactives, liées à l'odorat, et dans les régions liées à la mémoire
- Les personnes qui s'étaient récemment remises du covid avaient un peu plus de difficultés à effectuer des tâches mentales complexes
Les chercheurs ne savent pas encore si ces changements sont réversibles ou réellement importants pour la santé et le bien-être

Crédit photo, Getty Images
"Il faut garder à l'esprit que le cerveau est en fait plastique - ce qui signifie qu'il peut se guérir lui-même - et qu'il y a donc de fortes chances que, avec le temps, les effets néfastes de l'infection disparaissent", a déclaré M. Douaud.
La perte de matière grise la plus importante se situe dans les zones olfactives, mais on ne sait pas si le virus s'attaque directement à cette région ou si les cellules meurent simplement par manque d'utilisation, après que les personnes atteintes de covid ont perdu leur odorat.
On ne sait pas non plus si tous les variants du virus provoquent ces dommages.
Les scans ont été réalisés lorsque le virus parent et le variant alpha étaient prévalents et que la perte de l'odorat et du goût était un symptôme primaire.
Cependant, maintenant que le variant omicron prévaut, ces deux symptômes ont été considérablement réduits.


"Votre esprit est ce que vous exercez"
Paula Totaro a perdu ses sens du goût et de l'odorat lorsqu'elle a contracté le covid en mars 2020.
"Quand je les ai perdus, c'était comme vivre dans une bulle ou dans le vide, je trouvais que cela me faisait me sentir vraiment isolée", a-t-elle déclaré à BBC News.
Mais après avoir contacté l'association à but non lucratif AbScent, qui soutient les personnes ayant perdu l'odorat et le goût, elle a essayé de s'entrainer.
"Ce que fait l'entraînement olfactif, surtout si vous le faites deux fois par jour, régulièrement et religieusement, c'est qu'il vous oblige à entrer en contact avec l'odeur, à la laisser revenir dans votre nez, puis à réfléchir à ce que vous sentez".
"Et cette connexion entre ce qui est dans le monde extérieur et ce qui va dans votre cerveau et votre esprit est ce qui est exercé."
Totaro a déjà retrouvé l'essentiel de son odorat, même si elle a encore du mal à identifier les différentes odeurs.
"C'est un mélange de joie que l'odorat soit revenu, mais je ressens toujours un peu d'anxiété du fait du manque".

De l'avis de Naomi Allen, directrice scientifique de la UK Biobank, l'étude "soulève toutes sortes de questions que d'autres chercheurs peuvent approfondir sur l'effet de l'infection par le coronavirus sur la fonction cognitive, le brouillard cérébral et d'autres zones du cerveau, afin de vraiment concentrer la recherche sur la meilleure façon d'atténuer cela."

Crédit photo, UK Biobank
David Werring, professeur à l'Institut de neurologie de l'University College London, a déclaré que d'autres comportements liés à la santé pourraient avoir contribué aux changements observés.
"Les changements dans la fonction cognitive étaient également subtils et d'une pertinence peu claire pour la fonction quotidienne", a-t-il précisé.
"Et ces changements ne sont pas nécessairement observés chez toutes les personnes infectées et peuvent ne pas être pertinents pour les souches plus récentes."























