Австралієць пересадив великий палець з ноги на руку

Автор фото, South Eastern Sydney Local Health District
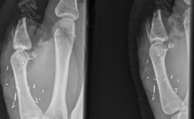
Австралієць Зак Мітчел пересадив великий палець ноги на руку. Хірургічна операція мала на меті замінити великий палець руки чоловіка, який він втратив через травму на тваринницькій фермі.
У квітні його травмував бик - руку затисло об паркан.
Перед цим хірурги двічі пробували пришити назад його великий палець руки, однак операції були невдалими.
Операція тривала вісім годин.
Важкий вибір

Автор фото, South Eastern Sydney Local Health District
20-річний австралієць зізнається, що довго думав над тим, чи робити таку трансплантацію.
Хірург Шон Ніклін відзначає, що це дійсно нелегкий вибір: "Це трохи божевільна ідея - вони (пацієнти. - Ред.) не хочуть пошкодити ще одну частину свого тіла".
"Якщо ви маєте чотири здорові пальці, все одно немає чим притиснути їх, і ваша рука втрачає багато своєї функціональності", - додає медик.
Тепер Зак Мітчел має пройти 12-місячний курс реабілітації, однак він планує при цьому повернутися до роботи.
Операцію провели у Sydney Eye Hospital. Там відзначають, що на пересадку цілого великого пальця ноги йдуть досить рідко, тоді як трансплантація частин пальців трапляється частіше.
"Багато людей думають, що це дуже вплине на їхнє балансування та ходу, що, загалом, не так", - розповів Шон Ніклін.






























