人死后,假肢都去哪儿了?

图像来源, Thinkstock
在戴维森县拘留所(Metro Davidson County Detention Facility)狱警的严密监督下,6名身着蓝色服装的犯人正在处理一堆假肢。他们把每个假肢上的螺丝、螺栓、连接件、底座和其他零件一一拆下。这个监狱车间是与美国慈善组织Standing With Hope合作建立的。该组织的总部位于田纳西州纳什维尔,专门收集多余的假肢,提供给发展中国家使用。拆分好的假肢都将运送到加纳,在那里,接受过培训的当地医生将重新组装,供病人使用。
这些假肢将获得新生,但其他类型的假肢和植入物往往要面临不同的命运。如何处理这些不再需要的“人造部位”已经逐渐成为了一个普遍问题。现代医学已经可以为人体开发许多替换件,从完整的假肢到金属髋骨、肩膀和关节。此外还有起搏器、植入性心脏除颤器(ICD),以及更为常见的假牙和硅胶隆胸填充物等。可是,等到使用者去世后,这些“人造部位”的命运又会如何呢?
隆胸填充物和髋骨假体等惰性设备通常会保留在体内,主要是因为没有必要将其取出,而且它们对环境基本没有危害。所以,未来的考古学家或许会在数千年前的墓葬中找到一些特殊的文物:硅胶袋、塑料牙和金属骨骼。

图像来源, Science Photo Library
但火葬就有所不同。在火葬炉里,硅胶可能被烧掉,但金属却会保留下来——包括钛或钴合金。这些金属通常会从骨灰中分离出来,然后单独处置。只要使用金属探测器在骨灰上扫一下,即使是黄金这样的微量贵金属也能被发现。
最近几年,一些企业或组织已经开始回收这些金属。例如,荷兰公司Orthometals每年都可以从欧洲的数百个火葬场收集250吨金属。在位于斯滕贝格的工厂里,该公司会将这些金属进行分类,并熔化成块状,再出售给汽车或飞机行业。与之类似的美国公司Implant Recycling则将由此收集的金属重新卖给医药行业。当你死后,你身体上的某个假体或许有朝一日会变成飞机或风力涡轮上的零件,甚至成为另一个人的假体。
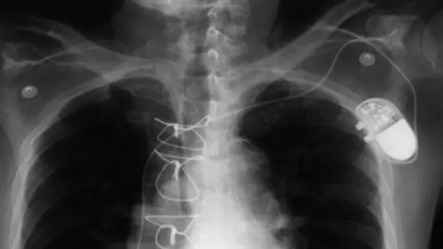
相比而言,起搏器和ICD往往必须在人去世后从体内取出——而且都要在火葬之前进行,因为里面的电池会在加热时爆炸。用于治疗疼痛的脊髓刺激器以及提供药物的内置泵同样如此,因为这些设备都内含电子元件。

图像来源, Science Photo Library
一旦从体内移除,植入物往往都会废弃——欧盟、美国和其他一些地方都禁止重复使用植入式医疗设备。然而,在发展中国家重复使用这些设备却已经逐渐成为一种趋势。
一个起搏器卖4000美元,一个ICD卖2万美元,因此回收利用二手植入设备,是让很多人能够买得起这种救命产品的唯一方式。在英国,慈善组织Pace4Life从殡仪馆回收仍然能够继续使用的起搏器供印度人使用。类似地,《内科医学年鉴》最近发布了一个名为“My heart Your Heart”的项目得出的研究结论:他们发现,使用二手ICD的75名病人并没有出现感染或故障等问题。该项目目前正在向美国食品和药品管理局(FDA)申请,希望能将回收而来的心脏设备销售到海外。
回到纳什维尔,Standing With Hope也采取了类似的措施,将假肢运往加纳。该慈善组织的联合创始人格雷西·罗森博格(Gracie Rosenberger)17岁时就在一次交通事故中严重受伤,导致她失去双腿。与许多截肢者一样,格雷西多年以来积攒了一些多余的假肢。所以她才希望能对其更好地加以利用。旧的假肢都会被放进橱柜里,只能默默地积攒灰尘。当截肢者去世后,其家人往往也会保留一些能够正常使用的假肢,但没有人真的会用。

图像来源, Science Photo Library
“私营保险公司不想回收假肢,我认为联邦医疗保险公司也不想回收。”罗森博格的丈夫、Standing With Hope总裁彼得(Peter)说,“这会产生很多负担,所以很不幸,很多假肢最终都会被丢弃。”
如今,截肢者和他们的家人可以将旧的假肢邮寄给罗森博格这样的人。Standing With Hope在其网站的募捐词中写道:“我们的要求不多……只希望您能捐出多余的假肢。”
他们去年总共给加纳送去了500个假肢。“我去年有个计划,名叫‘浑身是劲计划’,我还在广播节目上演奏《浑身使劲》的主题曲,告诉人们:‘把你的假肢捐出来,让我们回收利用吧。’”彼得笑着说。
与器官捐献一样,在生前将医疗植入物捐赠出来的人,可以在告别世界时,为陌生人带来第二次生命。这个人有可能是身患心脏病的印度男子,也有可能是在美国等待髋骨假体的美国女子,或者是做过截肢手术的加纳儿童。能够从中获益的不只是捐赠者和受捐者。戴维森拘留所距离彼得的家只有几分钟的车程,所以,他经常去看望在假体拆解车间里工作的犯人。在聊天过程中,曾经有一名犯人对彼得说,Standing With Hope项目对他来说意义重大。“他当时眼含热泪对我说,‘我第一次用自己的双手做了一些对别人有益的事情。我之前从没做过这样的事情。’”彼得回忆道,“这是对我们工作最大的褒奖。”
请访问 <link type="page"><caption> BBC Future</caption><url href="http://www.bbc.com/future" platform="highweb"/></link> 阅读 <link type="page"><caption> 英文原文</caption><url href="http://www.bbc.com/future/story/20140311-body-parts-that-live-after-death" platform="highweb"/></link>。
(责编:友义)