远古人类如何钻补龋齿治疗牙痛

图像来源,
想象一个没有牙刷、漱口水和牙线的世界。很容易,对吗?每个人口腔里都会有蚀齿,每个小镇都会有很多牙医。
在非洲发现的最早的史前人类似乎证实了这一点。1921 年,在卡布韦或布罗肯希尔(位于现在的赞比亚)工作的矿工偶然发现一颗原始头骨。
它有着倾斜的前额、高高的眉脊以及一些牙齿,其中 10 颗是龋齿。这颗布罗肯希尔头骨是一个成年男性的,属于我们的祖先海德堡人,死亡原因可能就在于他那糟糕的口腔健康状况。
但令人惊奇的是:布罗肯希尔头骨是一个奇怪(并且一直以来无法解释)的异例。观察大多数其他早期人类化石的口腔,你很少会发现龋齿。奇怪的是,在数百万年的人类史前时期,我们的祖先口腔健康状况都很好,即使他们的牙科保健只不过是使用简易的牙签来实现。
事实上,是在大约 10000 年前,在新石器时代之初,当我们的祖先开始耕作时,蚀齿才成为普遍问题。之后不久才开始出现相对复杂的牙医学。近十多年来,考古学家从世界各地的文化中发现,有证据表明病牙被刮擦、冲刷、甚至钻孔填补,显然是为了去除腐烂的组织。
或者,换而言之,牙钻的出现似乎早于文字、文明,甚至早于数千年前所发明的轮子。

农耕社会之前,人类并非完全没有龋齿,但龋齿非常罕见。“龋齿概率在狩猎采集人群中大约为 1-5%,在混合生存人群中约为 6-8%,”纽约大学的亚力杭德拉·奥尔蒂斯(Alejandra Ortiz)说,“这与农学家的数据有出入,农学家给出的概率为 10% 与高达 80-85% 之间。”
澳洲国立大学的马克·奥克斯纳姆(Marc Oxenham)表示,蚀齿的流行最早发现于 20 世纪 70 年代,很快考古学家认定,这必须通过转为农耕而带来的富含碳水化合物的饮食来解释。
“我猜测在那时候,糖对牙齿有害的这种临床认识也在逐步提升,或者至少会宣传这种观念,”他说,“许多考古学家提出看似符合逻辑的飞跃,认为碳水化合物通常对牙齿有害。”
这种观点有些道理。有些口腔细菌,如链球菌,会将碳水化合物转换成破坏牙釉质的酸,而在早期的农民口腔里,这类细菌一定繁殖得很快。但奥克斯纳姆和其他一些学者认为,饮食本身不能解释为什么龋齿在全球范围内变得如此普遍。

图像来源,
“在主要农作物是水稻的亚洲等地区,说明口腔健康状况变化与农业兴起相关的证据非常混乱,”奥克斯纳姆说,“用膳食模式来解释亚洲人的口腔健康状况变化并不十分可取。”
相反,牙齿健康状况糟糕可能是由于农耕带来的另一个变化:人口规模大幅增加。农民倾向于留在原处,而不是像之前的狩猎采集群体那样四处走。他们通常可以依赖比他们的祖先更可预测的粮食供应。
这两方面都是导致生育率攀升的因素。这不利于女性的口腔健康状况,例如,众所周知,怀孕期间荷尔蒙的变化会加重牙龈炎症。这还会导致唾液的 pH 值发生变化,使它中和龋齿酸性物质的能力降低。
“我仍然认为新石器时代过渡对女性健康状况的影响大体上仍被低估,”亚利桑那州立博物馆的詹姆斯·沃森(James Watson)说。沃森曾在美洲研究这种影响。

奥克斯纳姆表示,很多证据表明,在早期的农业社会,女性的口腔健康状况比男性更糟糕。“我们研究了古代亚洲群体,发现生育率的上升与女性口腔健康状况大幅下降有关联,”他说。
我们不知道这些矛盾因素在解释为何农耕会导致蚀齿数目急剧显著上升方面到底有多重要,但显而易见的是,史前社会不只是一味地忍受这种痛苦。可以理解,他们开始探索缓解口腔疼痛的方法。于是他们发明了牙医学。
目前,我们掌握的关于治疗牙医学的最早证据来自农耕开始前,那时前农耕群体已开始食用后来耕种的富含碳水化合物的谷物和淀粉物。
去年,意大利博洛尼亚大学的斯特凡诺·贝纳济(Stefano Benazzi)和他的同事们仔细研究了一颗 14,000 年前的成年男性头骨,这颗头骨是 20 世纪 80 年代后期在意大利发掘的。他们发现下颚有颗蚀齿的咬面有被工具故意冲刷和刮擦的痕迹,也许这样做是为了去除腐烂的组织。
在显微镜下,牙齿上的刮痕看起来像是那种经过精雕细琢的小石片留下的,可能是“细石器”。这种工具技术在那时候是比较新颖的。

工具的这种改进可能推动了基本牙科治疗,贝纳济说。研究团队甚至尝试使用现代人的牙齿以及类似的细石器,以确认这些精细的工具是否能留下这样的刮痕。
这种早期牙医学是否确实有助于缓解蚀齿疼痛尚有争议,就这位 14,000 年前的意大利病人而言,外科手术只是成功去除了部分腐烂组织。更有效的治疗方法在几千年后才开始出现,人们发明了更好的技术,那就是最早的牙钻。
我们不确定它是在哪里被首先发明的,但一些研究者认为,在现今的巴基斯坦,大约 9000 到 7500 年前,人们就在使用它。在那里,有一个新石器时代的墓地,科学家发现证据表明,至少有九个人用过牙钻。他们的臼齿咬面上都钻有精确的孔,每个孔的直径只有 1 至 3 毫米。实际上有个人的不同牙齿上经历了三次这样的手术。

在显微镜下,研究人员在一些孔的内面上发现同心嵴。他们说这些孔不单是通过细心刮擦形成的,而是钻出来的。
这些古代人可以用基本材料制成牙钻,这似乎让人觉得不可思议,但这是一种仍然存在的技术。
现在有些土著社会用一种称为弓钻的工具在物体上刻孔。这包括几根木棍、一块锋利的石头以及一根长绳。将绳子绑在柔韧棍子的任一端,让它看起来像一个小版的射手之弓。
然后将绳子紧紧缠到第二根棍子上,第二根棍子与“弓”垂直。通过简单地来回移动弓,这第二根棍子就会像钻一样旋转。将一块锋利的石头固定到钻头上,以增大其切削能力。
为了解石尖弓钻是否可以在牙医学中发挥作用,巴基斯坦的研究团队做了一个弓钻,并尝试在人牙釉质上钻孔。结果令人吃惊;不到一分钟就钻出在 9,000 年前的牙齿中看到的那种孔。

但不可避免地,仍有一些人怀疑这种早期社会是否有能力钻牙。“对于上旧石器时代晚期是否使用弓钻或者孔,是否通过敲打、锤击或刮擦形成的,仍然尚有争议,”贝纳济说。
可能有助于说服怀疑者的是证明早期农业社会有类似牙医学的更多证据。去年,在与巴基斯坦相隔近半个地球远的秘鲁前西班牙社会,奥尔蒂斯和她的同事就有类似发现。他们研究了 550 到 650 年前的两个人。他们的牙齿都有与 9,000 年前的巴基斯坦牙齿相同的小圆孔。
“在我看来,钻孔时用了两种不同的工具,”奥尔蒂斯说,“先是旋钻,然后用某种微型工具来刮擦。”

另外,她称有新证据表明,在不同的秘鲁文化 Yschma 中也有钻牙,Yschma 社会可追溯至 1000 多年以前。
那时,史前牙医甚至可能给他的病人用了局部麻醉药(如古柯叶),以减轻手术时的痛苦。“它们通常用作止痛药,所以很可能古柯叶(或任何其他药用植物)被用作麻醉药,”奥尔蒂斯说,“尤其考虑到前西班牙人类似乎具有传统医学的重要知识。”
与去除腐烂组织时用到的牙钻一样有用的,就是牙医还需要另一项技能:治疗后填补牙齿的能力。令人称奇的是,有一些证据表明,史前时期也有牙齿填补。
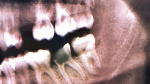
2012 年,意大利的里雅斯特国际理论物理中心的克劳迪奥·突尼兹(Claudio Tuniz)和同事们在测试先进的新三维成像技术。在他们分析的标本中,有一个是 6,500 年前的人类下颚(见下图)。它于大约 100 年前在斯洛文尼亚 Lonche 村庄附近的洞穴里发现的。研究人员发现有颗牙齿不太寻常。结果发现原来是蜂蜡齿冠,像牙齿一样古老。它被用于填补牙釉质中的孔。

蜂蜡实际上是相当好的填补材料。这是因为它加热后会变得柔软,很容易塑形,但在人体温度下则会变成固体。它还具有抗菌、抗炎的作用。
“Lonche 人的这颗犬齿似乎仍然是目前发现的最早的牙齿填补,”突尼兹说,“最近吉尼斯世界纪录联系到了我,因为我们的发现超出他们目前的记录。他们还在评估我们的发现。”
存放该标本的的里雅斯特自然史博物馆已相信它的重要性。“直到 2012 年,这块下颌骨[颚骨]还在博物馆的一个小角落里,而现在它是博物馆的明星,有专属的展览室,里面有很多我们的分析图片,”突尼兹说。它已经成为“对学生有很大吸引力的展品”。
你可以想象为什么。尽管我们的牙科技术飞速发展,牙钻的发明到现在还会让很多人惊恐不已。现在想象一下你的牙齿被新石器时代的工具钻孔,你会突然觉得我们的祖先似乎比我们勇敢很多。他们一定知道看牙医是多么恐惧的事情。
请访问 <link type="page"><caption> BBC Earth</caption><url href="http://www.bbc.com/earth/world" platform="highweb"/></link> 阅读 <link type="page"><caption> 英文原文</caption><url href="http://www.bbc.com/earth/story/20160229-how-our-ancestors-drilled-rotten-teeth" platform="highweb"/></link>。