DERGİ - 6500 yıllık diş dolgusu bulundu

Kaynak, SPL
- Yazan, Colin Barras
- Unvan, BBC Earth
İnsanoğlu yazıyı, tekerleği ve medeniyeti keşfetmeden önce çürük dişleri oyarak ağrıyı gidermesini biliyordu.
1921’de bugünkü Zambia topraklarında bir madende eski bir kafatası bulunmuştu. Bir erkeğe ait olduğu belirlenen bu kafatasının, insanın atalarından Homo heidelbergensis’e ait olduğu düşünülüyordu. Bunlar Afrika, Avrupa ve batı Asya’da 600 ile 200 bin yıl önce yaşamıştı.
Kafatasının 10 dişinde oyuklar vardı. Ölüm nedeni bu bile olabilirdi. Ama bu şaşırtıcı bir gelişmeydi.Çünkü ilk insanların dişinde çürüğe pek rastlanmıyordu.
Diş çürümesi yaklaşık 10 bin yıl kadar önce yaygınlaşmaya başladı. Bu, atalarımızın tarıma başladığı dönemdi. Bundan sonra gelişkin denebilecek dişçilik örneklerine rastlandı. Arkeologlar farklı bölgelerde çürük dişlerin kazındığına, çekildiğine, hatta delindiğine dair örneklere rastladı.

Yani öyle görünüyordu ki çürük dişlerin oyulmasını içeren tedavi, binlerce yıl önceki yazı ve tekerlek keşfinden çok daha öncesine dayanıyordu.
Tarımın etkisi
Tarım öncesi toplumlarda diş çürümesine fazla rastlanmıyordu. Çürüklerdeki artış ilk olarak 1970’lerde kabul gördü. Uzmanlar tarımın gelişmesiyle diyetteki karbonhidrat oranının artışına bağladı bunu hemen.
- <link type="page"><caption> DERGİ - Dişçiye ne kadar sık gitmek gerek?</caption><url href="http://www.bbc.com/turkce/ozeldosyalar/2014/10/141027_vert_fut_disci.shtml" platform="highweb"/></link>
Ağızdaki bazı bakterilerin karbonhidratı asite dönüştürerek diş minesine zarar verdiği doğru. Ama bazı uzmanlar diş çürüklerinde yaygınlaşmanın tek başına diyetle açıklanamayacağı kanısında.

Belki de tarımla birlikte baş gösteren diğer değişimler buna neden olmuştur. Tarımla birlikte yerleşik hayata geçilmesi ve doğurganlık artışı gibi.
Hamilelikte hormonların değişmesi ile kadınların damaklarında şişme ve tükürükte asit-baz dengesinin değişmesine bağlı diş çürükleri ortaya çıkabiliyor.
Antik dönem Asyalı kadınlar üzerinde yapılan araştırmalarda artan doğurganlığın ağız sağlığında ciddi bir bozulmaya yol açtığı görüldü.
- <link type="page"><caption> DERGİ - Diş ipi çürümeyi önler mi?</caption><url href="http://www.bbc.com/turkce/ozeldosyalar/2014/12/141204_vert_fut_dis_ipi.shtml" platform="highweb"/></link>
Bu faktörlerin rolü tam olarak bilinmese de şu bir gerçek ki bu topluluklar diş ağrısına çözüm bulmaya çalışmış.
İlk dişçilik aletlerinin tarım başlamadan hemen önceki döneme ait olduğu görülüyor.
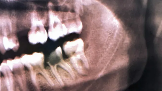
Dişlerdeki oyuklar

1980’lerde İtalya’da bir kazıda bulunan 14 bin yıllık yetişkin erkek kafatası geçen yıl incelendiğinde, çürük bir diş üzerindeki kazıma izleri dikkat çekmişti.
Bunun ince bir çakmak taşı ile yapıldığı tahmin ediliyor. Bu alet ise o dönemlerde henüz yeniydi.
Araştırmacılar bu aletin ilk olarak 9000 ila 7500 yıl önce bugünkü Pakistan topraklarında ortaya çıktığına inanıyor.
- <link type="page"><caption> DERGİ - Diş hekimi dişi kurtarır, hafızayı silerse…</caption><url href="http://www.bbc.com/turkce/haberler/2015/07/150701_vert_fut_discide_amnezi.shtml" platform="highweb"/></link>
Bu bölgede Neoloitik dönemden (Cilalı Taş Devri) kalma bir mezarlıkta en az dokuz kafatasındaki dişlere benzer müdahalelerde bulunulmuş olduğu görüldü. Bunlardan biri üç farklı dişinde kazıtma/delme işlemi yaptırmıştı.
Eski insanların dişi delebilecek böylesi bir teknolojiye nasıl sahip olduğu sorulabilir. Ancak benzer teknikler bazı yerli topluluklar arasında bugün de kullanılıyor.

İlk dolgu
Peru’da 600 yıl öncesine ait kafataslarındaki dişlerde de benzer yuvarlak oyuklara rastlandı. Oyuklar incelendiğinde, döndürerek delme ve kazıma işlemi için iki ayrı alet kullanıldığı sonucuna varıldı.
Bin yıl öncesinde Peru’da yapılan bu tür diş tedavilerinde anestezi için koka yapraklarının kullanılmış olabileceği tahmin ediliyor.
Binlerce yıl öncesinde yapılan bu diş tedavilerinde, çürük dişi delip içindeki ölü dokuyu sıyırdıktan sonra oluşan oyuğun bazı dolgu maddeleriyle doldurulmuş olduğu da sanılıyor.
2012’de İtalya’da Uluslararası Teorik Fizik Merkezi’nde üç boyutlu bir tarama teknolojisinin denemeleri yapılmıştı.

İncelenen kemiklerden biri, 100 yıl önce Slovenya yakınlarında bir mağarada bulunan ve 6500 yıl öncesine ait olan bir insan çenesiydi.
Dişlerden birine yapışık ilginç bir madde araştırmacıların dikkatini çekmiş, bunun dişteki oyuğu doldurmak için kullanılmış balmumu olduğu görülmüştü.
Bugün bu kafatası İtalya’daki Trieste Doğal Tarih Müzesi’nde sergileniyor ve yeryüzünün en eski dolgusu büyük ilgi görüyor.








