DERGİ - Tarih boyunca beyni anlamak için neler yapıldı?

Kaynak, SPL
- Yazan, Melissa Hogenboom
- Unvan, BBC Bilim Muhabiri
İnsanlar yüzyıllardır beynin sırlarını çözmek için birçok girişimde bulunmuş, çok çeşitli yöntemler kullanmıştır.
Londra’daki Bilim Müzesi, geçmişte beyni anlamak için kullanılan nesneleri ve teknolojileri sergiliyor.
Başlangıçta bir düzine kadar seramikten yapılma farklı şekillerde minik kafalar görüyoruz. Müzenin küratörü Katie Dabin bunların, kafatası biçimine göre kişilik analizi yapan sözde bilim dalı frenoloji pratisyenleri tarafından kullanıldığını anlatıyor.
Kafatasının biçimi
18. yüzyıl sonlarında kişinin kafatası şeklinin onun kişiliğine ve ruhsal durumuna dair bilgi verdiğine inanılıyordu.
Frenoloji uzmanları kafatasındaki girinti ve çıkıntıları ölçerek hastalarının beyninin nasıl çalıştığına dair bilgi edinmeyi amaçlıyordu.

Bu kafatası seramiklerini toplayan William Bally ya kendi zihinsel durumları ile ilgili bilgi almaya çalışan hastaların, ölülerin ve mahkumların alçıdan kafa kalıplarını çıkarmıştı.
1840’larda, ortaya çıkışından 50 yıl sonra frenoloji bir bilim olarak gözden düştü.
Bilim insanları gerçek vakalar üzerinde çalışmaya başladı. Paul Broca gibi ilk beyin uzmanları, beynin farklı bölgelerinin farklı işlevleri olduğunu düşünüyordu. İki hastasının konuşamama sorununun beynin özel bir bölgesinden kaynaklandığının farkındaydı.
Yani frenoloji gözden düşmüş olsa da beynin özel bölgelerinin belli davranışlara yol açtığı düşüncesi devam ediyordu.
Elektrik sinyalleri
Fakat bu beyni eylem halinde görmeye yaramıyordu. Ancak 1920’lere gelindiğinde araştırmacılar beyindeki elektrik sinyallerini okumaya başlamıştı. Böylece canlı beyindeki elektriksel aktiviteye dair ilk bilgiler oluşmuş ve elektroensefalografi (EEG) tekniği geliştirilmişti.

Başlangıçta EEG çiftlerin evlilik için birbirine uygun eş olup olmadığını ya da suçluların beynini inceleme gibi ilginç nedenlerle kullanıldı.
Fakat daha sonra epilepsi hastalarının beyninde nöbet sırasında neler olup bittiğini anlamak amacıyla kullanıldı.
Dabin, müzenin deposunda saklanan bir <link type="page"><caption> EEG makinesi gösterdi</caption><url href="http://www.bbc.com/future/story/20151028-a-brief-history-of-our-desire-to-peer-into-the-brain" platform="highweb"/></link>. Bu makine beynin sinyallerini okumanın yanı sıra elektrik vererek onu harekete geçirmek amacıyla da kullanılıyordu. Fakat bu sinyaller tek başına beyni anlamaya yetmiyordu.
Tomografinin temeli
1970’lerde Beatles grubunun plak şirketi olarak bilinen EMI’de mühendis olarak çalışan Godfrey Hounsfield röntgen yoluyla beynin içini görmeyi başardı. Yani bugünkü tomografinin temeli atılmış oldu.

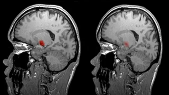
Bugün beyni taramada kullanılan teknolojiye fonksiyonel manyetik rezonans görüntüleme ya da kısaca ‘emar’ (fMRI) deniyor. Daha sonra UCL Üniversitesi’nden nörolog Joe Devlin beyin taramasını benim üzerimde uyguladı.
Bu taramada beyindeki oksijen değişimi hareket halinde görebiliyor. Beynin bir kısmı belli bir iş üzerinde yoğunlaşmışsa, örneğin kelime ya da dille ilgili bir çalışma yapılıyorsa o bölgede enerji kullanıldığı için kan akışı artmaktadır. İşte fMRI tarayıcısı bu kan akışını gözler.
Yapılan işe göre beynin aktif olan kısımlarındaki renk değişimini tarama sırasında ekranda görmek mümkün oluyor.
Örneğin ne söyleyeceğinizi düşünürken beynin farklı bir bölgesi, sayı sayma gibi düşünme gerektirmeyen monoton bir işlemde farklı bir bölge aktif hale gelir.
Fakat bir iş yaparken beynin hangi bölgesinin aktif hale geldiğini görmek ile beyin taraması yoluyla düşünceyi okumak aynı şey değildir elbette.

Yine de bu tür taramalar beyni anlama bakımından devrime yol açtı.
Daha önceleri doktorların tek bilgisi beyninde hasar olan bir hastanın sorununun nerede olduğu ve bunun ne tür bir arızaya yol açtığından ibaretti. Fakat beyin taraması sayesinde nörologların sağlıklı bir beyni görüp farklı kısımlarının nasıl kullanıldığını ve aralarındaki ilişkiyi anlaması mümkün oluyor.
Gelecekte ne olur?
Peki beyni anlama bakımından gelecekte ne tür gelişmeler beklenebilir?
EEG ve beyin tomografisi bugün hala kullanılıyor ve göründüğü kadarıyla kullanılmaya devam edecek. Birçok hastanede tomografi kullanılırken araştırmalarda EEG makinelerine de başvuruluyor. Örneğin nörologlar beynin elektrikle uyarılması yöntemiyle Parkinson ve depresyon gibi hastalıkların semptomlarını azaltma yollarını arıyor.

Belki de biz bugün frenolojiyi nasıl görüyorsak gelecek kuşaklar da bizim beyni anlama çabalarımızı ilkel bulacaktır. Fakat kesin olan şu ki kafataslarımızın içindeki bu boz maddenin sırlarını çözme çabamız hep devam edecek.
<italic>Bu makalenin <link type="page"><caption> İngilizce</caption><url href="http://www.bbc.com/future/story/20151028-a-brief-history-of-our-desire-to-peer-into-the-brain" platform="highweb"/></link> aslını <link type="page"><caption> BBC Future</caption><url href="http://www.bbc.com/future" platform="highweb"/></link>’da okuyabilirsiniz.</italic>
<italic>Dergideki diğer makalelere <link type="page"><caption> buradan ulaşabilirsiniz</caption><url href="http://www.bbc.co.uk/turkce/search/?q=dergi" platform="highweb"/></link>.</italic>








