Como ocorreu com o jornalista Rodrigo Rodrigues, coronavírus pode causar danos cerebrais graves

Crédito, Reprodução/Instagram
- Author, Renata Turbiani
- Role, De São Paulo para a BBC News Brasil
- Tempo de leitura: 5 min
O jornalista e apresentador da Rede Globo e do canal a cabo SporTV Rodrigo Rodrigues, de 45 anos, morreu nesta terça-feira (28/7) após sofrer uma trombose venosa cerebral (TVC) decorrente da covid-19.
Com diagnóstico da doença confirmado há cerca de 15 dias, ele foi internado no sábado na unidade de terapia intensiva (UTI) do Hospital Unimed-Rio, no Rio de Janeiro, e passou por um procedimento cirúrgico para diminuição da pressão intracraniana.
Em nota oficial, o hospital informou que o paciente encontrava-se em estado grave e coma induzido, na UTI desde o domingo, e que na manhã desta terça-feira, após a realização de protocolo de avaliação, foi atestada a sua morte encefálica.
Complicação cerebral e coronavírus: qual a relação?
Inicialmente, acreditava-se que o novo coronavírus atacava apenas os pulmões e o aparelho respiratório. Porém, hoje já existem muitos indícios de que atinge também coração, vasos sanguíneos, nervos, rins e até a pele.
Mais recentemente, cientistas alertaram que o vírus ainda pode estar por trás de alguns danos cerebrais importantes, como tromboses - caso de Rodrigues - e acidente vascular cerebral (AVC).
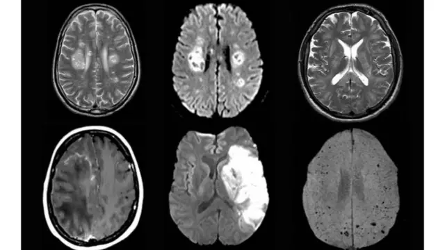
No início de julho, um estudo realizado por pesquisadores da University College London (UCL), do Reino Unido, e publicado na revista científica Brain, indicou que o SARS-CoV-2 causa complicações neurológicas mesmo em pacientes com sintomas leves ou em recuperação, sendo que, muitas vezes, elas não são sequer detectadas ou então o são bem mais tarde.
Os especialistas analisaram 43 pessoas, com idade entre 16 e 85 anos, com confirmação ou suspeita de covid-19. Dessas, 12 sofreram inflamação no sistema nervoso central, dez tiveram encefalopatia transitória (doença cerebral), com sintomas de delírios ou psicose, oito tiveram AVC e, outras oito, problemas nos nervos periféricos, sobretudo com o diagnóstico da Síndrome de Guillain-Barré (SGB), reação imunológica que ataca os nervos e causa paralisia.
Dentre as 12 com inflamação cerebral, nove apresentaram encefalomielite aguda disseminada (ADEM, na sigla em inglês), patologia rara que provoca a destruição degenerativa do sistema nervoso central e afeta os nervos no cérebro e na medula espinhal.
A equipe da UCL, em geral, atendia um paciente adulto com esta enfermidade por mês, porém, com a pandemia, os casos subiram para um por semana.

Crédito, University College London
De acordo com o estudo, o vírus causador da covid-19 não foi detectado no líquido cefalorraquidiano, ou fluído do cérebro, de nenhuma das pessoas analisadas, o que sugere que ele não ataca diretamente o órgão para causar a doença neurológica.
No entanto, os pesquisadores encontraram indícios de que a inflamação cerebral provavelmente é causada por uma resposta imune à doença. Segundo eles, mais análises são necessárias para entender exatamente como se dá a relação entre o SARS-CoV-2 e o cérebro.
Invasão do sistema nervoso
Rafael Paternò, neurologista do Hospital 9 de Julho, de São Paulo, diz que, por enquanto, o que se sabe é que os vírus da família coronavírus têm capacidade de invadir o sistema nervoso central.
"Isso acontece também com o novo coronavírus, causador da covid-19. Acreditamos que a principal via que ele usa seja a nasal. Ele infecta as terminações nervosas do olfato no nariz, e, por esse caminho, invade o sistema nervoso", explica.
Apesar disso, o médico pontua que complicações cerebrais diretas são raras. "A gente não vê com frequência, por exemplo, meningite ou encefalite, como acontece com outros vírus. O mais comum neste caso são dores de cabeça, tontura e perda de olfato."
Outro ponto que já é de conhecimento dos especialistas é que o SARS-CoV-2 altera o processo de coagulação.
"Do ponto de vista neurológico, isso se manifesta em aumento no risco de AVC, tanto isquêmico quanto hermorrágico, e de tromboses, como a venosa cerebral, a venosa periférica e o tromboembolismo pulmonar", acrescenta Paternò.
Ao que tudo indica, o sistema imunológico, para combater a resposta inflamatória provocada pelo vírus, libera no organismo uma quantidade exagerada de citocinas, substâncias que participam da comunicação entre as células e desempenham papel importante na regulação do sistema imune, levando à ativação de coagulações e causando a formação dos trombos.
Renato Andrade Chaves, neurocirurgião do Hospital e Maternidade São Luiz Itaim, na capital paulista, e Hospitalis, unidade de Osasco, na Grande São Paulo, comenta que quadros de trombose têm sido cada vez mais observados em pacientes que desenvolvem a forma grave da covid-19 - acredita-se que a incidência seja de 30%.
"Mas é importante frisar que isso é mais comum de ocorrer nas pessoas que fazem parte dos grupos de risco, ou seja, obesos, portadores de hipertensão arterial, cardíacos e diabéticos", diz.
O que também pode acontecer, complementa o especialista, é o paciente ter uma tendência à coagulação alterada, e aí, quando contrai o novo coronavírus, a condição se manifesta.
Como se dá o tratamento?

Crédito, Getty Images
Até agora, não existem medicamentos específico para a covid-19. Normalmente, o que se faz é cuidar dos sintomas, e de forma individualizada, enquanto o próprio organismo se cura.
Entre os medicamentos indicados para quem está internado com diagnóstico ou suspeita da doença estão analgésicos, antivirais e antibióticos.
Alguns hospitais ainda recomendam antiparasitários, cloroquina, corticoides, plasma convalescente, reguladores da atuação do sistema imunológico, vitaminas e suplementos vitamínicos, fármacos que têm gerado bastante polêmica quanto à eficácia e/ou efeitos colaterais.
Também há locais que prescrevem o uso de anticoagulantes em dose profilática, a fim de prevenir a formação dos trombos nas veias e artérias.
Caso a pessoa desenvolva alguma complicação neurológica, como AVC, trombose, cefaleia, perda de olfato, tontura ou confusão mental, aí é realizado o tratamento usual de cada uma delas.
Nas tromboses, por exemplo, são usados os anticoagulantes em altas doses, para reduzir a viscosidade do sangue e dissolver o coágulo e, se necessário, são realizadas cirurgias de descompressão.
Em se tratando de AVC, os procedimentos padrão são operações para desobstrução do vaso cerebral afetado e normalização da circulação, no do tipo isquêmico, e para conter a hemorragia, na forma hemorrágica.
O que é trombose?
A trombose se dá quando há formação de um coágulo sanguíneo em uma ou mais veias ou artérias, obstruindo o fluxo de sangue.
O mais comum é ocorrer nos membros inferiores, mas também pode afetar outras partes do corpo, como cérebro, pulmão e coração.
Na lista de fatores de risco estão tabagismo, ficar muito tempo parado na mesma posição, uso de certos medicamentos, como anticoncepcionais, terapia de reposição hormonal, cirurgias, trombofilia, varizes, histórico familiar e idade avançada.
Seus sintomas variam de acordo com a localização do coágulo, mas no geral são dor, inchaço (edema) e vermelhidão, calor e rigidez local.
No caso da TVC, que acometeu Rodrigo Rodrigues, os sintomas incluem ainda dor de cabeça, tontura, convulsão, alteração visual (visão dupla ou embaçada) e dificuldade para falar.
Caso não seja tratada corretamente, a trombose pode evoluir e provocar algumas complicações sérias. Entre elas insuficiência venosa crônica ou síndrome pós-trombótica, inchaço crônico e embolia pulmonar.
O melhor jeito de prevenir é com a adoção de hábitos saudáveis, incluindo atividade física regular, dieta equilibrada e boa hidratação.

Já assistiu aos nossos novos vídeos no YouTube? Inscreva-se no nosso canal!
Este item inclui conteúdo extraído do Google YouTube. Pedimos sua autorização antes que algo seja carregado, pois eles podem estar utilizando cookies e outras tecnologias. Você pode consultar a política de uso de cookies e os termos de privacidade do Google YouTube antes de concordar. Para acessar o conteúdo clique em "aceitar e continuar".
Final de YouTube post, 1
Este item inclui conteúdo extraído do Google YouTube. Pedimos sua autorização antes que algo seja carregado, pois eles podem estar utilizando cookies e outras tecnologias. Você pode consultar a política de uso de cookies e os termos de privacidade do Google YouTube antes de concordar. Para acessar o conteúdo clique em "aceitar e continuar".
Final de YouTube post, 2
Este item inclui conteúdo extraído do Google YouTube. Pedimos sua autorização antes que algo seja carregado, pois eles podem estar utilizando cookies e outras tecnologias. Você pode consultar a política de uso de cookies e os termos de privacidade do Google YouTube antes de concordar. Para acessar o conteúdo clique em "aceitar e continuar".
Final de YouTube post, 3












