Doctors say more MRI scanners would help MS patients
- Published

Doctors want more to be done to speed up the diagnosis of multiple sclerosis.
Around 2,500 people are diagnosed with MS every year with about half of those thought to be between 18 and 30.
The MS Society says it has noticed an increase in calls to its help-line from people worried about symptoms of the disease.
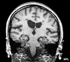
The Department of Health says 90% are diagnosed using MRI scans and that they are working on how best to improve diagnosis.
It comes after a report by the Neurological Alliance which says people with neurological conditions are waiting too long for a diagnoses.
Cliona is 28 and says she started feeling ill when she was 19.
She said: "I went blind in the one eye, my legs were bad as well, so heavy and numb. I used to get tired all the time."
It took more than two years for her to get diagnosed.
"I remember when I was diagnosed I was surprised. I thought it's what old people got."
Hard to diagnose
Doctor Colin Mumford is a consultant Neurologist in Edinburgh.
He said: "Often the symptoms are very vague and very imprecise.
"A lot of symptoms are the sort of things we all get anyway.

Cliona Evans was diagnosed with MS three years after first seeing her GP
"For some people they are slow to spot the potential significance so they're slow to sort medical assistance."
Dr Mumford says sometimes GPs can take a long time to refer people on to specialists.
"Some family doctors may have a tendency to play down vague symptoms," he said.
"They may have quite a high threshold to send people on to a specialist."
He says having more MRI scanners, a machine which takes a detailed picture of the brain, would help.
"We don't have enough MRI scanners in the UK," he said.
"They would certainly help in the diagnoses of multiple sclerosis because they would spot inflammation of the brain."
No cure
Neil Robertson is a professor of neurology at Cardiff University and says treatment for MS has improved over the last 20 years.
He agrees more MRI scanners would help.

MRI scan of a coronal section through a brain in multiple sclerosis
"I don't think there's any doubt that for most NHS hospitals there's a waiting list for MRI scanning," he said.
"I think greater availability would reduce the delay to diagnoses to patients."
MS is not a terminal illness, although there is no cure.
Cliona now takes daily injections to stop her from getting ill but says she still manages to live a normal life.
"It's a chronic condition," she said. "Every day symptoms can come and go.
"It varies from person to person. It's definitely not terminal.
"It's not a life sentence either. People have to remember that."
- Published8 October 2012

- Published18 June 2012
