El increíble caso del colombiano que murió de un cáncer "no humano"

Fuente de la imagen, Peter Olson
- Autor, Redacción
- Título del autor, BBC Mundo
En enero de 2013, la clínica de la Universidad Pontificia Bolivariana de Medellín, Colombia, recibió a un paciente con un caso extraordinario y a la vez intrigante.
El hombre de 41 años llevaba varios meses con fatiga, fiebre, tos y pérdida de peso. Hacía siete años le habían diagnosticado VIH pero no estaba recibiendo tratamiento.
Un examen de heces reveló que tenía el parásito estomacal Hymenolepis nana (H. nana), que se estima afecta a 75 millones de personas en un momento dado.
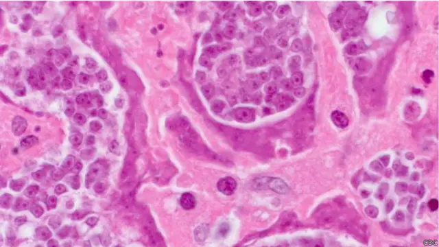
También mostró lo que parecían ser tumores normales, algunos de 4cm de longitud, en pulmones, hígado y el resto del cuerpo.
Pero lo que desconcertó a los expertos colombianos es que, al analizarlos, descubrieron que las células cancerígenas no eran humanas; eran un décimo del tamaño de una célula humana.
<link type="page"><caption> Lee también: "El paciente estaba desesperado y no teníamos respuesta para darle"</caption><url href="http://www.bbc.com/mundo/noticias/2015/11/151105_salud_cancer_parasito_medico_colombiano_carlos_agudelo_ng" platform="highweb"/></link>
Aquí es donde el Centro de Control de Enfermedades de Estados Unidos (CDC por sus siglas en inglés) entró en escena.
"Realmente no tenía mucho sentido", le dice a la BBC el doctor Atis Muehlenbacs de la unidad especial del CDC que investiga los misterios de las enfermedades inexplicables.
Muehlenbacs no sabía qué pensar de las muestras que recibió. El patrón de crecimiento de las células era como el cáncer, pero también se fusionaban, algo raro en células humanas.
El experto cuenta que discutió varias teorías, como la de un posible encogimiento de las células cancerígenas o incluso un nuevo tipo de infección.
"Este ha sido el caso más inusual, me causó muchas noches de insomnio", agrega Muehlenbacs. "Debía ser obvio: cáncer o infección, pero lo que es inusual es no poder identificar durante meses cuál de los dos era".
Eventualmente, un análisis molecular identificó niveles altos de ADN de solitaria en los tumores.
Parásito único

Fuente de la imagen, CDC
La primera reacción de los especialistas fue de incredulidad.
Para el momento que descubrieron que se trataba de células cancerígenas de un parásito estomacal, el paciente estaba muy enfermo como para ser tratado y murió 72 horas después.
Este es el primer caso que se conoce de trasmisión de células cancerígenas de un parásito a humano.
En Londres, el doctor Peter Olson, especialista en H. nana del Museo de Historia Natural, ayudó a develar el misterio, cuyos resultados fueron publicados esta semana en el New England Journal of Medicine.
"Hay algo muy especial sobre estas especies", le dijo Olson a la BBC. "Es capaz de realizar todo su ciclo de vida en un huésped y esto lo hace absolutamente único".
Cerca del 90% del cuerpo del gusano se dedica a la reproducción, pues todos los días arroja miles de huevos al intestino.
El editor de salud de la BBC, James Gallagher, explica que lo que ocurrió en este caso fue que, en vez de que el gusano desarrollara cáncer, se cree que uno de los huevos penetró el revestimiento de los intestinos, mutó y se volvió cancerígeno.
¿Es posible?

Fuente de la imagen, Thinkstock
Para los científicos, la presencia de células cancerígenas en parásitos hace que surjan muchas preguntas sobre el origen de células y si los organismos que se hospedan en el cuerpo humano pueden transmitir cáncer.
"No pensábamos que las células de un parásito humano pudieran convertirse en malignas e invadir el tejido humano", le dijo al Washington Post Bobbi Pritt, director de parasitología clínica de la Mayo Clinic. "Es muy inusual que unas células de parásito se vuelvan cancerígenas dentro de un humano e invadan otros tejidos de ese humano".
Sin embargo, la idea de que los parásitos también sean vulnerables a desarrollar células cancerígenas no sorprende a los expertos.
"Esta posibilidad puede estar inherente en las células de cualquier animal, en particular en células madre de animales multicelulares", explica por su parte el profesor Mel Greaves, del Instituto de Investigación de Cáncer de Londres.
Debido a que el paciente de 41 años tenía el virus que provoca el sida, su sistema inmune estaba debilitado, lo que permitió que floreciera el cáncer del gusano.
"Lo que ha ocurrido en este caso es una combinación excepcional de circunstancias que permitieron que esta posibilidad (de que un parásito desarrolle células cancerígenas) se exprese en un anfitrión muy extraño", agrega Greaves.









