Cómo se logró el primer saludo telepático por internet

Fuente de la imagen, Thinkstock
- Autor, Ciencia
- Título del autor, BBC Mundo, @bbc_ciencia
Comunicarse sólo con el poder de la mente es algo con lo que los humanos fantaseamos a menudo.
Pero un grupo de científicos ha conseguido probar que no estamos tan lejos.
Alquien pensó algo en una ciudad india y eso llegó directamente al cerebro de otra persona que estaba en un laboratorio de Estrasburgo, en Francia.
"Lo que es particular de nuestro experimento y es la primera vez que se ha hecho es que puedes de hecho transmitir información de un cerebro a otro sin intervención del sistema sensorial", le dijo a la BBC Giulio Ruffini, líder de la prueba que ha mostrado, aunque todavía de forma rudimentaria, que la tecnología ya permite la telepatía.
No se han necesitado los sentidos, entonces, pero sí varios intermediarios, que incluyen internet y la combinación de técnicas de avanzada.
"Una de ellas es EEG (electroencefalografía), que se usa para leer la actividad cerebral y que puede usarse para extraer órdenes simples de los pensamientos de alguien", explicó Ruffini en conversación con la BBC.
Movimientos imaginarios
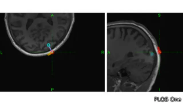
"En el caso de este experimento tuvimos al sujeto emisor imaginando dos tipos de movimiento, y esto puede ser detectado y clasificado por una computadora y enviado a través de internet a otro dispositivo que se usa básicamente para pulsar un lugar en el córtex, en el cuero cabelludo de una persona, con una técnica que se llama estimulación magnética transcraneal, que permite al sujeto receptor percibir una luz", dijo el investigador.

Fuente de la imagen, PLOS One
Cabe aclarar que estas técnicas no son invasivas, es decir, se aplican por fuera del cráneo.
Así, el emisor, conectado a internet sin cables en la localidad de Thiruvananthapuram, pensó una secuencia de lenguaje binario, en la que el movimiento imaginario de la mano representaba el 1 y el del pie, 0.
Cuando el receptor percibía un flash de luz, se trataba de un 1, cuando no había luz, de un 0.
"El receptor está sentado pasivamente en una silla y un robot configura un dispositivo que pulsa el cerebro suavemente con los parámetros correctos o incorrectos, y esto el sujeto lo reporta diciendo 'he visto luz o no he visto luz’", dijo Ruffini, responsable de la empresa Starlab, una de las tres que participaron de la prueba que reunió a científicos de las universidades de Barcelona, en España, y de Harvard, en EE.UU.
Qué le dijo un cerebro a otro
Y si te estás preguntando qué decía ese mensaje, la respuesta es simple: "hola".

Fuente de la imagen, PLOS One
El emisor en la India pensó "hola" en lenguaje binario: 0 0 1 1 1 - 0 1 1 0 1 - 0 1 0 1 0 - 0 0 0 0 0, esas "letras" fueron leídas como pulsos eléctricos que se codificaron para transmitirse por internet y se volvieron a convertir en pulsos para producir una descarga electromagnética sobre la corteza cerebral del receptor, sentado en su silla en Estrasburgo.
Para confirmar que la telepatía había realmente ocurrido, los científicos cruzaron y analizaron minuciosamente la información estadística producida por ese primer peculiar intercambio, que tuvo lugar el 28 de marzo pasado.
Los resultados de su trabajo se publican en la revista especializada PLOS One, y aunque sus autores definen al experimento como "humilde intento", creen que abrirá nuevos espacios de investigación en neurociencia.
Sin embargo, Ruffini dice que aún falta mucho para poder imaginar una conversación telepática completa entre dos personas.
"Creo que el siguiente paso es tratar de encontrar técnicas más poderosas para enviar información más compleja, quizás obtener conceptos y experiencias más sofisticadas que luz o no luz, y ese será el próximo paso de gigante", expresó el científico.
"Este tipo de tecnologías pueden hacer realmente que la comunicación entre humanos y máquinas sea extremadamente profunda, más rica y más rápida, y lo mismo entre seres humanos", concluyó Ruffini.
<italic><link type="page"><caption> Síganos en @bbc_ciencia</caption><url href="https://twitter.com/bbc_ciencia" platform="highweb"/></link></italic>









