Los gorilas bailarines que se esconden de los expertos

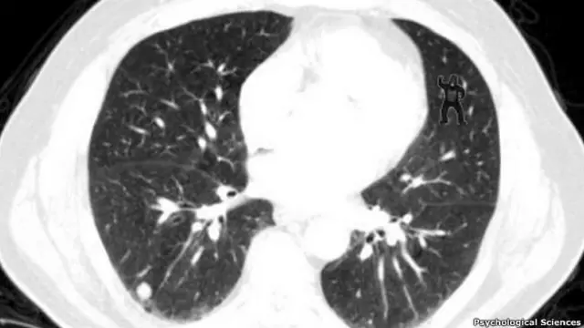
Hay algo extraño en esta tomografía del pulmón de un paciente. ¿Ya lo notó? ¿No vio el gorila bailarín a la derecha?
No es un hallazgo cotidiano para los radiólogos, que tienen la habilidad de buscar en las tomografía diminutas anomalías con consecuencias potencialmente amenazantes a la vida.
Pero en un estudio, más de 75% de los especialistas en observación de tumores fueron sorprendidos por la anomalía más grande de sus carreras.
La imagen fuera de lugar fue la creación del doctor Trafton Drew, un psicólogo de la escuela médica de Harvard. Pasó horas observando a radiólogos hojeando tomografías computarizadas del pecho y se maravilló de su habilidad para detectar pequeños indicios de cáncer de pulmón.
"Cuando vi por primera vez a radiólogos buscando a través de estas imágenes, las pasan tan rápido y detectan estas cosas que para mí eran completamente invisibles y simplemente me pregunté ¿cómo demonios lo hacen?".
Fue inspirado por un experimento clásico de la década de 1990, en el que los observadores de una práctica de baloncesto no lograron ver a un hombre disfrazado de gorila caminar a través de la pantalla. Drew creía que los radiólogos, "los mejores buscadores del mundo", eran buenos para detectar cáncer pero se preguntaba qué más podrían estarse perdiendo.
Cuando enfocamos nuestra atención en una tarea limitada dejamos de percibir otras cosas. Este efecto, llamado ceguera por falta de atención, es exactamente lo que los observadores del baloncesto estaban demostrando. Resulta que hay una gran diferencia entre mirar algo y percibirlo.
Distracciones
Pidió a los radiólogos que inspeccionaran tomografías computarizadas de pecho en busca de anomalías, llamadas nódulos, que pudieran indicar cáncer de pulmón. Sin que lo supieran, audazmente superpuso una imagen de un gorila en algunas de las tomografías.
Cuando se les preguntó después si habían visto un gorila, más del 80% de los radiólogos y 100% de los observadores no calificados dijeron no haber visto nada.
Esto, pese a que el monitor de seguimiento de ojos mostró que la mitad de los radiólogos que dijeron no haber visto al gorila realmente lo habían mirado directamente durante medio segundo.
"Parte de la razón por la que los radiólogos son tan buenos en lo que hacen es que enfocan su atención en estos nódulos pulmonares. Y el costo de eso es que no se fijan en otras cosas, incluso cosas obviamente grandes como la imagen de un gorila".
El profesor Daniel Simons, autor del estudio original del gorila invisible, explicó que esto no es exclusivo de los radiólogos y refleja, más bien, cómo funciona nuestro sistema de atención.
"Estamos conscientes de apenas un pequeño subconjunto de nuestro mundo visual en un momento dado. Enfocamos nuestra atención en aquellos aspectos del mundo que deseamos ver".
"Al enfocar la atención, podemos filtrar distracciones. Pero al limitar nuestra atención a sólo esos aspectos, tendemos a no notar objetos o eventos inesperados".
Detectores de equipaje
Suena peligroso que estos radiólogos dejen de ver algo tan obvio como la imagen de un gorila en una tomografía del pulmón. Pero se pidió a los radiólogos que buscaran solamente nódulos de cáncer de pulmón y nada más.
Drew cree que si se les hubiera pedido más, es muy probable que hubieran detectado la imagen del gorila.
"No debería aterrorizarnos porque están buscando cáncer y no gorilas", expresó.
"Debido a que la atención es limitada, tiendes a poner la atención en lo que es más importante para ti".
Y no pasa sólo con los gorilas. Los conductores que se concentran en buscar autos en un cruce de caminos pueden ser ciegos ante ciclistas, y los detectores de equipaje en los aeropuertos tienden a enfocarse en notar explosivos o cuchillos, en lugar de ambos.
La profesora Nillie Lavie, experta en atención de la Escuela Universitaria de Londres, señala que "por una parte preocupa, pero por otra hay algunas circunstancias atenuantes.
"Fueron entrenados para mirar características particulares: tamaño y color. Así que no se refleja para nada en la capacidad de los radiólogos para reportar nódulos. Lo que refleja es su habilidad para reportar algo inesperado. Y eso es algo sobre lo cual se pueden entrenar".
"Priorizar aquello en lo que prestamos atención tiene sus beneficios. Nos permite ignorar distracciones y enfocarnos en la tarea en cuestión. Pero es importante estar conscientes de nuestras limitaciones", dice Simons.
"No creo que deberían preocuparnos estos límites de atención, pero debemos estar conscientes de ellos. Asumimos que nos daremos cuenta. Y lo peligroso es esa creencia errónea. Si asumes que notarás al gorila, no das pasos para asegurarte de que lo harás".
"Al conocer estos límites, podemos potencialmente tomar medidas. Por ejemplo, otro radiólogo podría inspeccionar las mismas imágenes pero sin buscar un problema específico. Si no tienen una meta realmente limitada, es más probable que descubran problemas inesperados".









