La anosmia: vivir sin oler

Imagine un mundo en el que no hubiera sentido del olfato.
El aroma del café a la mañana, de las flores frescas, la ropa limpia, el pan recién horneado o tal vez el olor reconfortante de los seres queridos. Todo se ha ido.
Ese mundo es muy real para un estimado de tres millones de personas en Reino Unido que viven con anosmia, es decir, sin sentido del olfato.
Esto puede llevar a situaciones peligrosas para la vida, aislamiento, depresión y la pérdida de interés en la comida, ya que el 80% de lo que saboreamos viene del olfato. El resfriado común es una de sus varias causas.
Sarah Page, 19 años, estudiante de fotografía, padece de anosmia desde que tenía cinco años. Años después, el no poder oler pudo haberla matado.
"Mi madre tenía una cocina de gas. Apreté una de las perillas y la cocina se empezó a llenar de gas. Cuando mi madre llegó a casa dijo 'huele a gas' y comenzó a correr por la casa abriendo las ventanas. Podría haberme muerto", cuenta.
Pero a pesar de su peligro de muerte, la seguridad no es lo que más le inquieta.
"A decir verdad, no estoy tan preocupada por el lado de la seguridad de las cosas, sino que es con el aspecto personal donde me siento más perdida", explica.
"Mis amigas me cuentan que usan ropa de sus novios y pueden sentir su olor, pero nunca he sido capaz de experimentar eso. Cuando veo perfumes en las tiendas querría probarlos, pero no puedo.
"No creo que la gente se dé cuenta de lo mucho que vivir sin olfato puede afectar a un nivel tan personal la vida".
Olores apestosos
Sarah también quiere conocer los malos olores.
"La verdad es que me encantaría poder oler las cosas que apestan", señala.
"Cuando alguien se tira un pedo y la gente dice 'Puaj, eso apesta', me gustaría poder olerlo, entender por qué es un mal olor y poder integrarme a la conversación".
Page es ahora paciente de Carl Philpott, un cirujano y otorrinolaringólogo que dirige la Clínica del Olfato y el Gusto en el hospital de la Universidad James Paget, de Reino Unido.
El centro comenzó a funcionar hace 18 meses y hasta la fecha ha atendido a más de 100 pacientes.
"Como médico aprendiz rápidamente me di cuenta no solo del nivel de conocimiento que falta en este campo, sino que en el país no había mucho interés en tratar la pérdida del olfato como un problema", explica Philpott.

"Siempre fue mi primer objetivo como consultor crear una clínica especial que atendiera las necesidades de estos pacientes".
Después de graduarse, Philpott estudió en Canadá y Europa, donde se especializó en la cirugía endoscópica de los senos nasales y en técnicas para la evaluación y la investigación del sentido del olfato.
La anosmia puede estar presente desde el nacimiento o puede ser causada por una sinusitis crónica, un trauma en la cabeza tras un accidente o simplemente un resfriado común.
Depresión
Las investigaciones indican que la mitad de los que la padecen están deprimidos.
Muchos de ellos también sufren una gran pérdida de sabor ya que el 80% del sabor de la comidas se siente gracias al olfato.
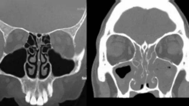
Para ayudar a los pacientes a recuperar el sentido del olfato, Philpott utiliza un sistema de neuronavegación conocido como cirugía bilateral de seno endoscópica asistida por computadora (BiCASS, por sus siglas en inglés).

Para esto, se coloca la imagen de una tomografía computarizada superpuesta a la cara del paciente, lo que deja al descubierto los senos nasales bloqueados, lo que a su vez sirve de guía para permitir una cirugía más completa.
Los estudios han demostrado que esta técnica, más invasiva, puede hacer que sólo el 2% de los pacientes necesiten cirugías adicionales, mientras que de aquellos que se someten a una polipectomía estándar, el 20% requieren cirugía adicional en los siguientes cinco años.
"Me di cuenta de que si se abren todos los senos y se los retira hacia fuera para extraer la fuente de la inflamación, pero además se le da al paciente medicamentos para intervenir allí más adelante, se puede controlar el problema muy bien, lo que ayuda a mejorar el sentido del olfato", explica el cirujano.
"La polipectomía simple es más barata, pero algunos pacientes requieren cirugía adicional dentro de los cinco años y nuestra experiencia es que su calidad de vida se ve afectada, en especial en lo que respecta a los olores".
Philpott añade: "Tenemos que investigar más en términos de tratamiento y sensibilizar a todos los miembros de la profesión médica de que esto es algo que podemos tratar.
"No se puede tratar o curar todos los casos, sería una mentira decir eso, pero hay una gran cantidad de pacientes que no realizan ningún tratamiento y que podrían mejorar mucho".
Sarah Page tiene programada una operación en la Clínica del Olfato y el Gusto en los próximos meses.
"Estoy tratando de no hacerme ilusiones. El doctor Philpott dice que no puede devolverme el olfato. Pero vale la pena hacer el intento".









