Descubren máquina de rayos X del siglo 19, como nueva

Fuente de la imagen, Other
- Autor, Redacción
- Título del autor, BBC Mundo
Un grupo de científicos encontró un equipo de rayos X que data de poco después del descubrimiento de éstos, en 1895, y lo puso a prueba.
Los investigadores, que provienen del mismo pueblo de Holanda donde fue fabricada la máquina, la usaron para producir unas impresionantes imágenes que no parecen corresponderse con su edad y simplicidad.
Sin embargo, los científicos dijeron que las imágenes requerían una dosis de radiación a veces hasta 1.500 veces más alta que los rayos X modernos.
Los detalles de la comparación fueron publicados en la revista Radiology.
La máquina de 115 años de edad fue desarrollada por H. J. Hoffmans, quien era el director de una escuela secundaria, y el entonces director del hospital de Maastricht, Lambertus Theodorus van Kleef.
Ambos la construyeron con piezas encontradas en la escuela, basándose en una publicación del descubridor de los rayos X, Wilhelm Roentgen, y la utilizaron para experimentos en imágenes de anatomía.
El equipo terminó en una bodega de Maastricht, de donde fue sacado el año pasado para un programa de historia transmitido por la televisión.
Y luego Gerrit Kemerink, del Centro Médico de la Universidad de Maastricht, decidió compraralo con un equipo moderno.
"Que yo sepa, nadie había realizado nunca mediciones sistemáticas de esta máquina, pues cuando ya se disponía de las herramientas para hacerlo, este tipo de sistemas ya había sido remplazado por otros más sofisticados", dijo Kemerink.
Joya
El equipo de investigadores recreó cuidadosamente las condiciones de experimentación que vivieron los inventores del aparato.
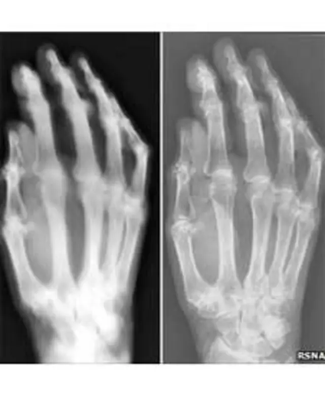
Teniendo en cuenta que se podía necesitar una dosis de radiación alta para llevar a cabo las pruebas, el equipo usó la mano de un cadáver como objeto de estudio, en lugar de la "mano de señorita" que figura en las notas de Hoffmans y Van Kleef.
Menos de un año después del descubrimiento de los rayos, estas anotaciones ya se habían convertido en una joya médica y teatral, y de ellas se desprendieron los primeros indicios de que una gran exposición puede ser perjudicial.

Fuente de la imagen, Other
Como resultado, parte del desarrollo en la ciencia de rayos X ha consistido en producir imágenes de buena calidad con la menor exposición posible a la radiación.
En ese sentido, el equipo usó un detector moderno y vio que con el sistema anticuado se necesitaba una dosis de radiación 10 veces más alta que con uno moderno.
Usando una placa fotográfica y las mismas condiciones que usaron Hoffmans y Van Kleef, se necesitaba una dosis 1.500 veces más alta.
Es más: los rayos X se salieron de la máquina y alcanzaron un área amplia, dando lugar a imágenes borrosas.
Pero el solo hecho de poner en marcha la máquina y probarla fue suficiente recompensa para los autores del experimento.
"Nuestra experiencia con esta máquina, que tenía un ruidoso interruptor, una iluminación entrecortada con una vela de ignición, una luz verdosa que parpadeaba en un tubo, que largaba olor a ozono y puso de manifiesto las estructuras internas del cuerpo humano fue, incluso hoy, poco menos que mágica", escribió el equipo.









