Qué es la "demencia con cuerpos de Lewy" que sufrían el actor Robin Williams y el beisbolista Tom Seaver (y por qué es tan difícil diagnosticarla)

Fuente de la imagen, Getty Images
- Autor, Melissa J. Armstrong
- Título del autor, The Conversation*
- Fecha de publicación
- Tiempo de lectura: 5 min
La demencia con cuerpos de Lewy ha vuelto a estar en los titulares noticiosos alrededor del mundo en los últimos días por dos razones:
Primero, por la muerte del beisbolista Tom Seaver, uno de los mejores pitchers de la historia de este deporte, quien tenía 75 años y padecía la enfermedad desde hace algún tiempo.
Y luego, el lanzamiento en EE.UU. del documental "Robin's Wish" (El deseo de Robin), que relata los últimos años del comediante estadounidense Robin Williams, que sufría esta enfermedad y se suicidó a los 63 años el 11 de agosto de 2014.
Ambos eran personajes reconocidos en el arte y el deporte. Y el reporte médico de estas celebridades ha llevado a muchos a preguntarse: ¿qué es la demencia con cuerpos de Lewy?
¿Y qué la causa?
Se trata de una enfermedad degenerativa, el segundo tipo de demencia más común detrás del Alzheimer.
Se estima que solo en Estados Unidos afecta a 1,4 millones de personas.
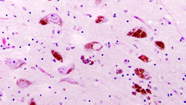
Hasta ahora solo se puede diagnosticar de manera definitiva en post-mortem (que es cuando se pueden identificar los cuerpos de Lewy, que le dan el nombre, que son unos puntos oscuros en las neuronas).

Fuente de la imagen, Getty Images
Sin embargo, distintos expertos coinciden en que este tipo de demencia permanece muchas veces sin reconocerse.
Incluso en personas que se sabe padecen la enfermedad, alcanzar ese diagnóstico puede demorar muchos años.
Una investigación en EE.UU. mostró que cerca del 70% de los pacientes consultaron a al menos tres especialistas antes de recibir el diagnóstico adecuado.
Para un tercio de quienes desarrollan esta demencia, obtener el dictamen adecuado lleva cerca de dos años.
¿Pero, por qué toma tanto tiempo establecer un cuadro de demencia con cuerpos de Lewy?
Síntomas leves
En mi rol como neuróloga que trata a personas que sufren este tipo de demencia, he visto que muchas de ellas tienen síntomas que inicialmente no sugieren una enfermedad cerebral.

Fuente de la imagen, Getty Images
Registran problemas tempranos muy leves, como pueden ser la pérdida del olfato, trastornos conductuales del sueño, mareos al ponerse de pie, constipación y ansiedad.
En un artículo de 2016 sobre la experiencia de Robin Williams, titulado "El terrorista dentro del cerebro de mi marido", Susan Schneider Williams, la viuda del actor, destacó los problemas gastrointestinales y la ansiedad como afecciones que no tenían una explicación concreta y que a la postre se convirtieron en síntomas tempranos de la enfermedad.
Los problemas tempranos de memoria y pensamiento en la demencia con cuerpos de Lewy también pueden ser sutiles.
Estas dificultades pueden ser falta de concentración, impedimentos para ejecutar múltiples tareas o desafíos a nivel visual.
Ahora, las fluctuaciones son características de esta enfermedad. Esto significa que algunas veces, pacientes con esta demencia pueden vivir con problemas mínimos. Pero, en otros momentos, pueden sufrir episodios de confusión bastante intensos.
Esas altas y bajas hacen muy difícil que se pueda saber qué es lo que está ocurriendo con ellos.
Alucinaciones, paranoia y delirio también son síntomas. Esos son especialmente problemáticos para las personas que los sufren y para sus familias.

Fuente de la imagen, Getty Images
Las alucinaciones ocurren cuando las personas experimentan algo que realmente no está allí. A menudo ven personas o animales que no están presentes.
Los delirios ocurren cuando una persona cree en algo que es falso, pero no se la puede convencer de la verdad. Por ejemplo, que alguien está de visita cuando no lo está o que su compañero sentimental está teniendo un affaire, cuando no es así.
En el documental "Robin's Wish", se muestra a Williams preocupado porque algo le había pasado a un amigo en medio de la noche. Y resultaba bastante difícil convencerlo de lo contrario.
Muchos síntomas, mucha confusión
Cuando doy un diagnóstico de demencia con cuerpos de Lewy, a menudo reviso una lista de síntomas con el paciente y su familia.
Esta lista muestra muchos problemas distintos que pueden estar relacionados con esta afección: baja presión, constipación, cambios en la capacidad de pensar, ansiedad, paranoia y muchos más.
Si usted o alguien cercano reconoce estos síntomas, es importante buscar evaluación médica.
Actualmente no existe una cura para la demencia con cuerpos de Lewy, pero existen tratamientos para ayudar con muchos de los problemas que los pacientes experimentan con la enfermedad.
En algunos centros de EE.UU. se hace un acercamiento interdisciplinario, que incluye terapias físicas, ocupacionales, del habla, consultas con nutricionistas y trabajadores sociales.

Fuente de la imagen, Getty Images
Recibir el diagnóstico de la enfermedad también puede resultar útil.
Las investigaciones más recientes señalan que la mayoría de las personas quiere conocer el diagnóstico, si padece de la enfermedad.
Los beneficios de tener un diagnóstico específico de demencia incluyen un entendimiento de lo que está pasando, validar que algo no está funcionando bien. Ayuda a mejorar la paciencia de los familiares hacia el paciente y permite hacer un plan para el futuro, que incluya tratamientos y recursos para llevarlo a cabo.
Todavía falta mucho por aprender sobre la demencia con cuerpos de Lewy, incluyendo qué es lo que la causa.
Aún así, hay motivos para tener esperanza. Este año, los expertos publicaron nuevos criterios para reconocer las primeras etapas de esta clase de demencia.
El Instituto Nacional de Salud estadounidense está ampliando la investigación sobre los cuerpos de Lewy y se están realizando muchos estudios para encontrar mejores formas de diagnosticar la enfermedad y encontrar nuevas terapias.
Las personas que viven con síntomas, sus familias y los profesionales de la salud de todas las ramas deben asociarse para reconocer los primeros síntomas de la demencia con cuerpos de Lewy.
Trabajando juntos, podemos conectar a las personas que viven con esta enfermedad con el tratamiento, la investigación, el apoyo y la esperanza.
* Profesora de Neurología, Universidad de Florida.

Ahora puedes recibir notificaciones de BBC News Mundo. Descarga nuestra app y actívalas para no perderte nuestro mejor contenido.
Este artículo contiene contenido proporcionado por Google YouTube. Solicitamos tu permiso antes de que algo se cargue, ya que ese sitio puede estar usando cookies y otras tecnologías. Es posible que quieras leer política de cookies y política de privacidad de Google YouTube antes de aceptar. Para ver este contenido, selecciona 'aceptar y continuar'.
Fin del contenido de YouTube, 1
Este artículo contiene contenido proporcionado por Google YouTube. Solicitamos tu permiso antes de que algo se cargue, ya que ese sitio puede estar usando cookies y otras tecnologías. Es posible que quieras leer política de cookies y política de privacidad de Google YouTube antes de aceptar. Para ver este contenido, selecciona 'aceptar y continuar'.
Fin del contenido de YouTube, 2










