¿Qué dice el bruxismo sobre tu estado mental y por qué mucha gente no sabe que lo tiene?

Fuente de la imagen, Getty Images
- Autor, Redacción
- Título del autor, BBC Mundo
- Fecha de publicación
Es difícil saber qué hace nuestro cuerpo mientras dormimos, por eso muchas personas no saben que sufren de bruxismo nocturno.
Se trata de un hábito involuntario que hace que los pacientes aprieten la mandíbula fuertemente o hagan rechinar los dientes, frotándolos o deslizándolos, sin ningún objetivo funcional.
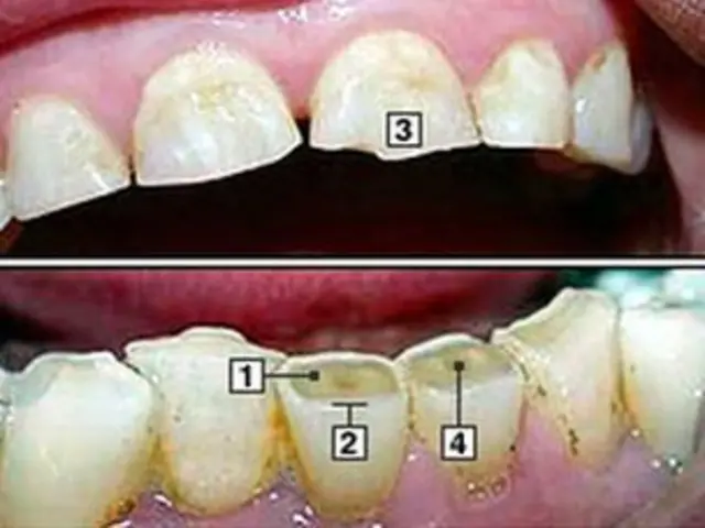
"He visto a un hombre que se había erosionado los dientes hasta las encías", le dijo a la BBC el doctor Nigel Carter, de la Fundación británica Salud Oral.
Ese sería un caso extremo, pero el bruxismo en sus formas más suaves es más frecuente de lo que parece y afecta tanto a niños como adultos. Según una revisión de 2013 de varios estudios científicos, la prevalencia de bruxismo nocturno entre la población adulta es de aproximadamente un 12%.
"Hacer rechinar los dientes es unas 40 veces más potente que masticar", puntualizó el doctor.
Y la causa más habitual es el estrés, la ansiedad y la tensión.
"Quienes lo suelen descubrir antes son aquellas personas que despiertan con el ruido a sus parejas", explicó Carter.
No siempre hay síntomas
Aunque el bruxismo no es un trastorno peligroso, si no se corrige puede causar lesiones dentales permanentes.

La mayoría de la gente que contrae la mandíbula y que hace rechinar los dientes no es consciente de que tiene este hábito involuntario.
Con frecuencia la presión sobre la mandíbula y los dientes tiene lugar mientras los pacientes duermen, mientras se están concentrando en algo o cuando están estresados, según información del servicio de salud pública británico, el NHS.
Lo curioso es que el bruxismo no siempre genera síntomas, aunque algunas personas sí sienten dolores faciales, de oído y de cabeza al levantarse.
Otras personas notan con el tiempo la erosión en los dientes o la descubren al visitar al dentista.
En la mayoría de los casos los pacientes con bruxismo acaban teniendo zonas planas y cantos desgastados en sus dientes.
El bruxismo también puede estar causado por trastornos del sueño, como la apnea y los ronquidos. Y a su vez, también puede contribuir a la interrupción del sueño.
¿Qué dice de tu estado mental?
Aunque la causa específica del bruxismo no está clara, los expertos normalmente lo vinculan al estrés, la ansiedad y los problemas de sueño, que son factores que cuando menos exacerban el problema.

Fuente de la imagen, Getty Images
En países como Reino Unido los especialistas creen que los casos de bruxismo están aumentando, quizás en un contexto en el que el estilo de vida es cada vez más estresante.
Allí ha sido asociado durante el día a actividades como conducir y hacer tareas del hogar y de bricolaje.
En el caso de los adolescentes, un estudio reciente realizado en Brasil sugiere que el bruxismo puede ser un síntoma de que los niños sufren acoso escolar.
Según los resultados de la investigación, publicada en la revista especializada Oral Rehabilitacion, los niños de 13 a 15 años que experimentan abuso verbal en la escuela tenían una probabilidad de sufrir bruxismo nocturno cuatro veces mayor que otros adolescentes.
Eso dio una prevalencia de un 65% de los estudiantes acosados, frente a una del 17% entre la población estudiantil general.
Según la organización Salud Oral del doctor Carter, tanto los padres como los colegios deberían ser más conscientes de este problema, que también afecta a los adultos estresados y ansiosos.
Consejos para prevenirlo
Los tratamiento aspiran a reducir el dolor, si lo hay, prevenir el daño dental permanente y disminuir la fricción dental.

Fuente de la imagen, Getty Images
Para proteger los dientes con frecuencia se receta el uso de protectores bucales o aparatos (férulas) a la medida.
Pero muchos especialistas también recomiendan cambios en el estilo de vida para sobrellevar mejor el estrés diario y estar más tranquilos.
"Si tu bruxismo está relacionado con el estrés es importante que trates de relajarte y de dormir bien", recomienda el NHS. Para ello sugiere hacer yoga, usar técnicas de relajación de la respiración, darse un masaje o un baño, leer o escuchar música antes de dormir.
Si eso no funciona hay algunos tratamientos psicológicos que pueden ayudar, como las terapias cognitivo-conductuales, que se centran en el vínculo entre el pensamiento y la conducta.
Existen algunas técnicas que tratan de revertir hábitos, aunque el NHS puntualiza que no hay evidencia científica de que puedan evitar el bruxismo.
En todo caso, controlar el bruxismo durante el día es mucho más fácil que hacerlo durante el sueño, por razones obvias.
Además, según el NHS, reducir el consumo de alcohol y dejar de fumar pueden ayudar a prevenir el bruxismo.
El consumo de drogas recreativas como el éxtasis o la cocaína también puede empeorar el problema.
Por otro lado, en algunas ocasiones el bruxismo puede ser un efecto secundario de algunas medicaciones antidepresivas, pero cualquier cambio en la medicación debe ser consultado antes con el médico.









