El hombre que se recuperó de esclerosis múltiple, una enfermedad incurable, con un tratamiento experimental con células madre

- Autor, Redacción
- Título del autor, BBC Mundo
Hasta 2013 Stephen Storey era una persona tremendamente enérgica: corría maratones, hacía surf, montañismo y el submarinismo era una de sus grandes pasiones.
Pero en cuestión de nueve meses pasó a estar permanentemente en silla de ruedas, no podía estar de pie ni caminar y pasó a depender de ayuda las 24 horas del día para hacer las actividades más básicas, como comer o asearse.
"Fue un deterioro bastante dramático", resume ahora con una sonrisa.
El inicio fue muy repentino. "Como mejor puedo describirlo es así: es como si mi cuerpo se rindiera, se disipó la fuerza que tenía y me desplomé en el suelo".
"Ahí me di cuenta de que algo iba mal", le contó a la BBC.
Tres días después Storey fue diagnosticado con esclerosis múltiple (EM), una enfermedad degenerativa e incurable, que se produce cuando el sistema inmunológico ataca al cerebro o a la médula espinal.

Los pacientes con EM pueden tener síntomas muy diferentes: "nunca saben qué parte de su funcionalidad va a ser la siguiente afectada", explica la doctora Weston, presentadora del programa de televisión de la BBC "Incredible Medicine: Dr Weston's casebook".
La enfermedad puede afectar a la capacidad física y al cerebro. Pero contra todo pronóstico, Storey consiguió recuperarse.
¿Cómo pudo suceder algo así?
Una idea radical: destruir y rehacer
Basil Sharrack, neurólogo del hospital Royal Hallamshire, en Sheffield, Inglaterra, tuvo una idea radical para tratar el caso de Stephen.
Como la EM está causada por un sistema inmunológico defectuoso, el profesor Sharrack propuso destrozarlo completamente y reemplazarlo con uno nuevo no afectado.
Para ello, su plan era utilizar una técnica con células madre que normalmente se usa para tratar ciertas formas de cáncer.
Pero el proceso sería complejo y arriesgado para Stephen.

Primero, el equipo de Sharrack extrajo células madre sanas de Stephen, de su sangre y de la médula ósea.
Después usaron un tratamiento de quimioterapia de dosis alta para destruir la médula ósea defectuosa existente, una parte del cuerpo en la que se fabrican células clave para el sistema inmunológico.
Finalmente, volvieron a introducir las células madre sanas en el cuerpo de Stephen.
Y "estas células madre empezaron a crear un nuevo sistema inmunológico, sano, no afectado", le explicó Sharrack a la BBC.
9 días después...
Como esperaban los médicos, a los pocos días Stephen empezó a recuperar la capacidad de hacer ciertos movimientos que ya había perdido.
"9 días después del tratamiento podía mover el dedo gordo del pie de manera consciente", recuerda Stephen.
"No era un espasmo, no era una reacción a algo, era una decisión consciente mía".
"En ese momento sentí que mi cuerpo estaba empezando a recuperarse y pensé que este iba a ser un viaje increíble".
Dos años después...

Su tratamiento todavía está en fase de prueba, así que los médicos supervisan regularmente el progreso de Stephen.
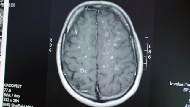
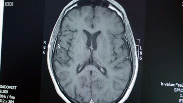
La BBC lo acompañó en una de esas revisiones, en la que los neurólogos compararon un escáner cerebral tomado antes del tratamiento con otro actual.
"Los puntos blancos en el escáner previo al tratamiento son zonas donde hay inflamación activa", explicó el profesor Sharrack.
El neurólogo le mostró a Stephen cómo en las imágenes anteriores al tratamiento había muchos de esos puntos y afectaban a todo su cerebro.
Pero en el actual no había ninguna.

"Esto es muy gratificante", dijo el neurólogo.
"Estoy impresionado, es fenomenal", dijo Stephen, emocionado.
Un viaje "transformador"

La investigación con células madre todavía está en su infancia y se está probando para tratar todo tipo de enfermedades.
Pero el caso de Stephen es increíblemente emocionante para la esclerosis múltiple.
"Sugiere fuertemente que el tratamiento con células madre para reemplazar un sistema inmunológico defectuoso puede tener un efecto increíble no solo para detener el progreso de esta enfermedad, sino también para revertirla", comenta la doctora Weston, presentadora del programa de la BBC.

Dos años después de su diagnóstico, Stephen todavía se mueve en silla de ruedas, pero logró pasar la prueba en el agua con la que pudo reactivar su certificado de submarinismo.
"Poder hacer submarinismo otra vez, dos años después de haber estado inmovilizado, incapaz de valerme por mí mismo, es transformador", dijo Stepehn.

Lee otras historias del programa de la BBC "Incredible Medicine: Dr Weston's casebook":
- La mujer a la que le crecen huesos sobre los huesos
- La niña con el trastorno genético raro que hace que su brazo izquierdo no pare de crecer
- El joven que vivió dos meses encerrado en su propio cuerpo y pudo salir para contarlo
- El secreto de la capacidad extraordinaria del hombre que corrió 50 maratones en 50 días
- La extraordinaria historia de los padres que inventaron una medicina para salvar la vida de sus hijas
- La extraordinaria historia del hombre que se inyecta veneno letal de serpiente pero no se muere










