“Viví sin pulmones durante seis días”

Fuente de la imagen, University Health Network
- Autor, Redacción
- Título del autor, BBC Mundo
Le quedaban unas pocas horas de vida y no había nada qué hacer. Nada que se hubiera hecho antes.
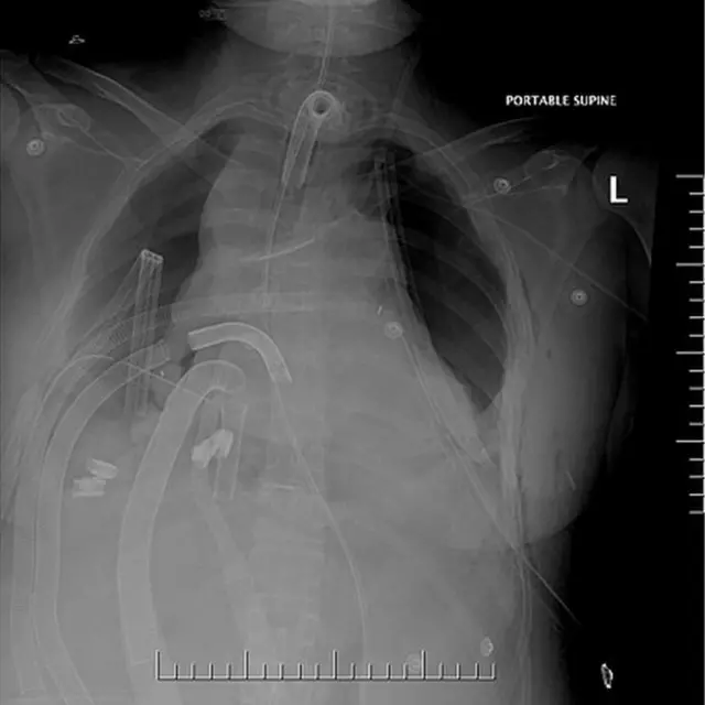
Era un día de abril de 2016 y Melissa Benoit había llegado a un hospital en Toronto, Canadá, con una infección pulmonar severa que desarrolló tras una gripe.
Benoit había nacido con fibrosis quística, una enfermedad genética que provoca la acumulación de flema en los pulmones y afecta el sistema digestivo.
La bacteria en los pulmones de esta madre canadiense de 32 años de edad era resistente a la mayoría de los antibióticos así que se había regado por todo el cuerpo, causándole un shock séptico.
A medida que su presión sanguínea se deslizaba sin remedio, sus órganos empezaron a fallar, uno por uno.
"A mi familia le dijeron que en pocas horas yo iba a morir en la unidad de cuidados intensivos", le contó Benoit a la BBC.
Sin embargo, poco después los doctores volvieron a presentarles una opción riesgosa.
"Les hablaron de un radical procedimiento que no había sido practicado nunca antes pero había chance, aunque remoto, de que funcionara".

Fuente de la imagen, University Health Network
Idea arriesgada
El arriesgado proceso era sacarle los pulmones, ambos y completamente.
"Fue una discusión difícil pues estábamos hablando de algo que nunca se había hecho hasta donde sabemos, así que había mucho que no sabíamos", señaló el doctor Niall Ferguson de la University Health Network, la autoridad sanitaria responsable por el hospital general de Toronto en el que todo sucedió.
No sabían, por ejemplo, si iban a poder mantener la presión de sangre y los niveles de oxígeno vitales durante la operación.
No sabían si iba a empezar a sangrar en la cavidad pectoral que iba a quedar vacía.
Lo que sí sabían era que al quitarle los pulmones estarían eliminando el foco de la infección bacteriana.
"Lo que nos ayudó fue el hecho de que sabíamos que en cuestión de horas se iba a morir", le dijo a la prensa canadiense Shaf Kashavjee, uno de los tres cirujanos que la operaron.
"Eso nos dio la valentía necesaria para decir: 'si la vamos a salvar, tenemos que hacerlo ya mismo'".
"Sus pulmones no se iban a recuperar", señaló Ferguson. "Su única esperanza era un trasplante".
Todo o nada
"Me iban a quitar los pulmones y a mantenerme viva con soporte vital a la espera de un par de pulmones donados", explica Benoit.
Chris, el esposo de Melissa, dio el sí pues sabía que "ella habría querido luchar hasta el final" aunque la cirugía fuera experimental, señaló.

La cirugía duró 9 horas.
Los pulmones de Benoit estaban tan llenos de mucosas que estaban hinchados y tan duros como un balón de futbol, contó el médico.
"Técnicamente fue difícil sacárselos. Y literalmente, en cuestión de minutos -unos 20- después de que le quitamos esos pulmones infectados, su presión sanguínea se normalizó", dice el doctor.
"Apenas me quitaron mis pulmones enfermos, mis signos vitales se empezaron a estabilizar y me pudieron retirar algunas de las medicinas que me habían estado manteniendo viva", confirma Benoit.

Le conectaron un pequeño pulmón artificial al corazón mientras que otros aparatos oxigenaban y se encargaban de la circulación de su sangre.
Y empezó la espera por los pulmones que Benoit necesitaba.
No sabían cuándo habría unos disponibles, ni cuánto tiempo podría ella vivir en esas circunstancias.
Seis días más tarde, le pudieron hacer un trasplante.
Desde entonces, cada día está mejor.
"Fue algo enorme, porque era un proceso nuevo. ¿Volvería a despertar? ¿Recuperaría la calidad de vida?", dice Benoit.
"Y luego, cuando me mejoré, hubo mucha alegría porque funcionó y me salvaron".

Fuente de la imagen, University Health Network
Inicialmente, los meses que pasó en el hospital la dejaron incapaz de levantar la cabeza o estar parada, pero luego empezó a caminar con un bastón.
Sus riñones quedaron afectados, pero Benoit espera estar lo suficientemente bien pronto para hacerse un trasplante con un riñón de su madre.
"Pasas de estar al borde de la muerte a estar de vuelta en casa. ¡Estoy tan agradecida y tan feliz!".
Un informe sobre el caso de Melissa Benoit fue publicado en el Journal of Thoracic and Cardiovascular Surgery.









