En qué consiste el Síndrome de Patau, la rara enfermedad que causó la muerte de la hija del reggaetonero Wisin

Fuente de la imagen, Getty Images
- Autor, Redacción*
- Título del autor, BBC Mundo
- Fecha de publicación
*Este 30 de septiembre, Wisin anunció que su hija Victoria falleció tras un mes de vida. Esta es la publicación original de BBC Mundo en la que te explicamos qué es la enfermedad genética que padecía.
Uno de cada 10.000. Este el número de bebés sufren de trisomía 13 o Síndrome de Patau, la rara enfermedad que afecta a la hija recién nacida del cantante puertorriqueño Wisin.
La noticia ha conmovido al mundo del reggaetón y a los seguidores del artista.
"No está saludable la beba, ella tiene sus problemas. Pero no voy a hablar de eso ahora... Estamos pasando un momento difícil. Mi esposa (Yomaira Ortiz) está un poco deprimida emocionalmente, pero está bien", dijo Wisin, que en realidad se llama Juan Luis Morera, a una reportera de televisión de su país que le preguntó por la pequeña.
"Es una situación que estamos pasando muy difícil, muy difícil... Dios a mí me ha dado más de lo que merezco. Dios es perfecto y las cosas pasan por un propósito", agregó el músico.
En ese momento no dio más detalles, pero aclaró el tema horas después, con un comunicado en su cuenta de Instagram en el que pidió privacidad para su familia:
"(Mi hija) fue diagnosticada con trisomía 13 y su estado de salud es estable", escribió el reggaetonero.
¿En qué consiste esta condición?
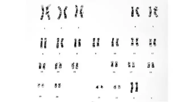
Un cromosoma extra
La trisomía 13 es una enfermedad genética también llamada Síndrome de Patau, en honor a Klaus Patau, genetista germano-estadounidense que descubrió la causa del mal en 1960.

Fuente de la imagen, Thinkstock
Todas las células del cuerpo humano tienen 46 cromosomas organizados en 23 pares. Pero en el caso de este síndrome, el par 13 tiene tres cromosomas en vez de dos, lo que hace que haya 47 cromosomas en total en cada célula.
El jefe de la sección genética del Hospital de Niños San Jorge, de Puerto Rico, Alberto Santiago Cornier, explicó a BBC Mundo que la condición de Patau se debe a defectos en la división celular del óvulo.
En una fecundación normal, el gameto de la madre aporta 23 cromosomas y el espermatozoide del padre los otros 23 para sumar los 46 que necesita cada célula.
Pero cuando ocurre la trisomía, el óvulo llega con 24 en vez de 23. Ese cromosoma extra se ubica en el par 13 y la estructura se replica en el resto de células.
Según el Centro de Información de Enfermedades Raras de EE.UU., el cromosoma extra también puede estar en el espermatozoide.
Malformaciones
El mal de Patau causa que los niños nazcan con microcefalia, ojos más pequeños de lo normal, anomalías cardiacas, malformaciones cerebrales y dedos adicionales en las manos y los pies.

Fuente de la imagen, Thinkstock
Según el doctor Cornier, del hospital San Jorge de Puerto Rico, el 50% de los bebés afectados por el trastorno muere antes de cumplir tres meses de vida y el resto antes de llegar al año.
Son muy pocos los que sobreviven dos años.
Agregó que existen trisomías parciales, en las que el cromosoma extra no está en todas las células del cuerpo, sino solo en algunas. En estos casos, las personas tienen mayor esperanza de vida, pero presentan retraso mental.
La enfermedad de Patau no es hereditaria y se desconoce su origen, pero según el doctor Cornier, las probabilidades de que alguien la padezca aumentan cuando la madre es mayor de 35 años.
Nombre significativo
Al conocerse la noticia de la hija de Wisin, diversos artistas le enviaron mensajes de apoyo al cantante por redes sociales, en donde se hizo el hashtag #WisinEstamosContigo.

Fuente de la imagen, Getty Images
"Mi hermano @wisin Cuando se habla de nuestros hijos, se habla de todo. Más cuando sé lo importante que son para ti. Si hay algo que te define es que eres un guerrero y que tu motor es la fe. Te admiro y (...) te quiero", escribió el cantante puertorriqueño Luis Fonsi en Instagram.
El también conocido reggaetonero Nicky Jam escribió: "Aquí orando por tu bebé. Es un ángel de Dios, hay que dejarlo todo en sus manos porque no nos falla. Te amo papá y sé que Dios te ama más y que tu bebé va salir bien".
En el comunicado que difundió en Instagram el mismo Wisin pidió a sus seguidores que "continúen con sus oraciones para que podamos superar este proceso".
Antes de que se supiera la situación, la reportera puertorriqueña que entrevistó a Wisin comentó que el nombre de su hija era muy significativo para él y su esposa.
La niña se llama Victoria.









