Las partes del cuerpo más vulnerables cuando juegas fútbol

Fuente de la imagen, Thinkstock
- Autor, Redacción
- Título del autor, BBC Mundo
Esos ocasionales partidos de fútbol con los amigos o con los colegas de la oficina son para esparcirse y hacer un poco de ejercicio. Sin embargo, también tienen un lado competitivo.
Podemos estar un poco pasados de kilos, subidos en años o faltos de sueño por la fiesta del viernes en la noche, pero siempre queremos lucirnos en la cancha de juego y repetir algunas de las maniobras con el balón que nos quedaban fáciles en el pasado.
Poder alcanzar ese precioso pase de gol, darse el lujo de una media chilena o chalaca o interceptar ese tiro certero del rival nos hace bien al ego.
Hasta que sentimos el tirón,una dislocación oDios nos libre, una fractura.
No cabe duda que el fútbol le pone una gran carga al cuerpo y lo expone a las lesiones. Pero hay unas partes que, por la misma naturaleza del juego, son particularmente vulnerables.
No obstante, hay maneras de disminuir las probabilidades de una lesión de futbolista.
Aquí hay cinco regiones del cuerpo a las que debes ponerle atención:
Tobillos
Los esguinces del tobillo son la lesión más común en la mayoría de los deportes, pero más en el fútbol donde los giros rápidos son esenciales.

Fuente de la imagen, Getty Images
Las lesiones que afectan el tobillo incluyen las fracturas por estrés o trauma, esguince de ligamentos, lesión muscular, fascitis plantar (que afecta el talón y la parte inferior del pie) y tendinitis.
Por fortuna, las lesiones en el tobillo pueden disminuirse a través de ejercicios, mejores métodos de entrenamiento y prevención con el uso de tobilleras y vendas.
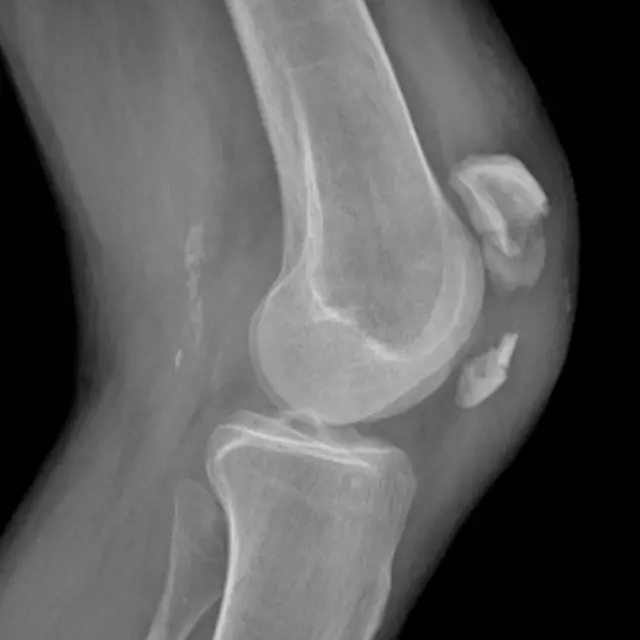
Rodilla
Esta es una lesión del fútbol que puede resultar ser extremadamente seria.
La rodilla es la articulación más compleja del cuerpo, que consta de músculos, ligamentos, tendones y la coyuntura de cuatro huesos. Hay muchas cosas que pueden fallar.

Fuente de la imagen, Science Photo Library
El daño al ligamento medial colateral (LMC) es la más frecuente de las lesiones de la rodilla, aunque los tendones también pueden quedar afectados.
La incidencia de daños al ligamento anterior cruzado (LAC) es relativamente menor, pero los médicos solían forzarte a dejar el fútbol del todo.
Hoy en día, con una exitosa operación y fisioterapia puedes regresar a la cancha en seis meses, aunque podría tomarte mucho más tiempo antes de que te sientas completamente confiado en la estabilidad de tu rodilla.
Muslo
Las lesiones más comunes de esta parte superior de la pierna se dan en los isquiotibiales (los músculos posteriores), seguidos de los cuádriceps (los músculos anteriores).

Fuente de la imagen, Getty Images
Las lesiones suceden por una variedad de causas incluyendo estrechez muscular, desequilibrio muscular o fatiga.
El tiempo de recuperación de una lesión de tejido blanco depende de una serie de factores como cuánto tejido está dañado y si se trata del músculo, tendón o ligamento.
Un esguince grado uno puede tomar unos días en sanar, mientras que una ruptura muscular grado tres puede alejarte de las canchas tres meses o más.
Ingle y cadera

Fuente de la imagen, Getty Images
Las lesiones en esta región pueden ser difíciles de diagnosticar pero los problemas más comunes tienen que ver con los músculos aductores (los que se usan para un pase lateral o para apretar las piernas) y la distención.
Los médicos especialistas en lesiones deportivas tienen una gran dificultad identificando la lesión exacta y hay muy poco consenso en cómo tratar el dolor crónico de esta zona del cuerpo.
La compleja anatomía de la región de la ingle y la cadera pueden conducir a un tratamiento equivocado y hasta la posibilidad de no poder volver a jugar fútbol sin dolor.
Corazón
Aunque las lesiones de las extremidades inferiores son la mayor preocupación para un practicante del fútbol, un corazón saludable es esencial para someterse a períodos extensos de esfuerzo físico.

Fuente de la imagen, Thinkstock
Es recomendable obtener el visto bueno de un cardiólogo para asegurarte de que no tengas alguna patología cardíaca o pulso irregular.
Como, después de todo, se trata de divertirse y mantenerse sano con el deporte.
Consejos
Aquí hay unas simples recomendaciones que pueden ayudar a evitar lesiones y hacer tu experiencia con el fútbol más sana y amena.
- Dieta variada:La buena nutrición es el secreto del éxito. Añade a tu dieta un buena variedad equilibrada de proteínas y carbohidratos.
- Ejercicios específicos: Puedes estar en buen estado físico, pero el cuerpo debe estar preparado para la experiencia específica del fútbol y debes ejercitar y estirar los músculos involucrados en ese deporte.
- Hidratación: Bebe suficiente y frecuentemente agua para mantenerte hidratado y evitar los calambres. Las bebidas energéticas pueden reabastecer los niveles de glucosa pero también tienen alto contenido de azúcar.
- Descanso: Las lesiones necesitan tiempo para sanar. No te apresures para regresar a la cancha, si lo haces y te lesionas otra vez, la recuperación podría tomar el doble de tiempo.









