팬데믹의 해부학
코로나19 사태 반 년,
과학자들이 밝혀낸 것들

침묵의 살인자를 쫓다
전염병을 추적하는 일은 일반적 수사와는 다르다. 증거가 사라지기 전 사건 현장에 다다라야 하는 일종의 ‘경주’에 가깝다. 목격자를 면담하고 나면, 살인자가 다시 고개를 치켜드는 것을 막기 위한 추격전이 시작된다.
그러나 국제적 노력에도 불구하고 코로나19는 매일 수천 명의 목숨을 앗아가며 활개쳤다.
여섯 달이 지났다. 코로나19를 잡으려 고군분투한 과학자들은 그간 어떤 것들을 밝혀냈을까?
경고의 메시지
어떤 바이러스든 발원지를 찾는 작업은 매우 중요하다. 해당 바이러스가 우리 몸에 어떤 영향을 미칠지, 또 얼마나 빠르게 번질지 예측하기 위해서다. 그러나 코로나19는 등장부터 모든 이들을 놀라게 했다.
모두가 2020년 새해맞이 준비에 한창일 때, 의사 리원량은 중국 우한중앙병원 응급실에서 폐렴 증세를 보이는 환자 7명을 돌보고 있었다. 환자들은 모두 격리된 상태였다.
지난해 12월 30일, 리원량은 동료들과의 단체 대화방에 문자 하나를 띄웠다. 사스(SARS, 중증급성호흡기증후군)의 재창궐을 목도하고 있는 건 아닌지 두렵다고 썼다.
코로나바이러스의 한 종류인 사스는 2003년 중국에서 처음 발발해 26개국으로 퍼졌다. 8천여 명이 감염됐다.
리원량이 목격한 것은 사스의 재유행이 아니었다. 새로운 바이러스, 코로나19의 등장이었다.

리원량의 생전 모습
리원량의 생전 모습
동료들에게 감염병 창궐에 대한 위험을 경고한지 사흘 뒤 리원량은 경찰에 체포됐다. 동료 여덟 명도 함께 붙잡혔다. 허위사실 유포 혐의였다.
이후 리원량은 일터로 돌아왔지만 코로나19에 감염돼 지난 2월 7일 숨을 거뒀다. 향년 34세. 임신한 아내와 아들을 남긴 채였다.
범죄 현장
우한의 신개발 단지에 위치한 화난수산물시장에선 작은 상점들이 다닥다닥 붙어 장사를 했다. 이들은 가금류부터 생선, 파충류, 야생동물 고기에 이르기까지 그야말로 ‘모든 것’을 팔았다.
점점 더 많은 의료진이 감염병 발발 위험을 경고하고 나섰다. 그리고, 환자 대부분이 화난시장에서 일했다는 사실을 깨달은 한 의료인이 있었다.
같은달 31일 우한 보건위원회는 베이징에 첫 공식 조사 보고서를 제출했다. 이튿날 시장은 폐쇄됐다.

바리케이트를 친 경찰들 뒤로 셔터가 내려진 상점들이 보인다
바리케이트를 친 경찰들 뒤로 셔터가 내려진 상점들이 보인다
화난시장에서 대규모 감염이 있었다는 데엔 과학자들 사이 이견이 없다.
그러나 화난시장이 바이러스의 발원지였는지에 대해선 의견이 갈린다. 시장 내 감염자와 살아있는 동물들에게서 채취한 조직에선 코로나19 바이러스가 검출됐다.
하지만 우한 현지 연구진에 따르면 첫 인체 감염 사례는 화난시장 사태보다 4주 가까이 빨랐다. 또 우한의 첫 감염자로 기록된 한 노인은 지난해 12월 1일 증상이 시작됐는데, 화난시장과 연관성이 없었다.

지난 1월부터 우한 의료진들은 도시 내 폭발적 감염을 목격했다. 그러나 바이러스가 중국을 넘어 전 세계로 이렇게 빠르게 퍼질 것이라고 예상한 이는 없었다.
지난 1월 11일 중국 당국이 첫 사망자 발생 사실을 발표한 지 아흐레만에 가까운 일본과 한국, 태국에서도 확진 사례가 보고됐다.
‘침묵의 살인자’를 쫓는 추격전도 본격 시작됐다. 그러나 전세계 의료 및 과학기술의 진보에도 불구하고 바이러스는 늘 인간보다 한 발 빨랐다.
코로나19는 여섯 달만에
188개 국으로 번졌다.

지피지기(知彼知己)
“우리의 첫 의문은 ‘도대체 이게 뭐지?’였어요.”
면역학자 크리스찬 앤더슨 교수가 처음 이 바이러스와 마주한 순간을 떠올렸다.
그의 연구실은 감염병 유전체(게놈)학에 특화돼 있다. 앤더슨 교수와 연구진들은 이 바이러스가 어떻게 동물에서 인간에게 넘어가 대규모 감염 사태를 일으켰는지 추적했다.

봉쇄령 아래 앤더슨 교수도 자가격리 상태로 연구를 진행해 왔다
봉쇄령 아래 앤더슨 교수도 자가격리 상태로 연구를 진행해 왔다
지난해 12월 말 당시 의문의 폐렴 증상을 호소하던 환자들은 입원 직후 목이나 비강을 통한 검체 채취 절차를 밟았다. 이 검체들은 즉시 우한바이러스연구소로 옮겨졌다.
과학자들은 바이러스의 유전체에 주목했다. 바이러스의 정체와 확산 방식을 밝혀낼 중요한 열쇠였다.
유전체는 본질적으로 글자들의 나열이다.
인간의 유전체는 30억 개의 유전 정보로 이뤄져 있다. 평범한 독감 바이러스는 1만5천 개 정도의 유전 정보로 구성돼 있는데, 암호화 된 이 정보들은 바이러스가 수백만 년에 걸쳐 자가복제를 하는 데 필요한 지시사항을 담고 있다.
여기서의 자가복제는 감염병의 확산을 의미한다.
바이러스의 유전체 판독엔 통상 여러 달이 걸린다. 때로는 몇 해가 소요되기도 한다.
그러나 이번엔 그 속도가 이례적으로 빨랐다. 지난 1월 10일, 용진장 교수가 이끄는 우한바이러스연구소 과학자들은 코로나19의 유전체 서열을 발표했다.
퍼즐의 핵심 조각을 손에 쥔 셈이었다.

단일 코로나바이러스 구조도
단일 코로나바이러스 구조도
앤더슨 교수는 “처음 서열을 확인한 순간 코로나바이러스라는 사실을 알았다”며 “사스와 80% 가량 일치했다”고 했다.
코로나바이러스는 비슷한 종류의 여러 바이러스를 묶어 부르는 총칭이다. 돼지와 낙타, 박쥐, 고양이 등 여러 동물들 사이 떠도는 바이러스 수백 종이 코로나바이러스로 분류된다.
인간에게도 전염된 건 7종에 불과한데 그 중 하나가 코로나19다.
앤더슨 교수는 “우리의 두 번째 의문은 ‘이를 어떻게 진단할 수 있느냐’였다”며 “검사와 바이러스 전파 과정을 이해하려면 정확한 진단이 필요했다”고 설명했다.
“세 번째 의문은 ‘어떻게 백신을 만들 것인가’였습니다. 유전학은 바이러스의 청사진으로서 이같은 의문에 답을 줄 수 있습니다.”
앤더슨 교수는 코로나19가 박쥐에서 파생됐다는 분명한 증거들이 있다고 주장했다.
“이 바이러스는 궁극적으로 박쥐에서 시작됐습니다. 우리는 코로나19가 완전히 자연적으로 발생했다고 보고 있습니다. 박쥐에서는 비슷한 바이러스가 이미 여러 종 발견됐습니다. 단지 우리가 알 수 없는 건, 이게 어떻게 인간에게 흘러 들어갔느냐는 거죠.”
앤더슨 교수팀은 박쥐에서 나온 또다른 코로나바이러스를 들여다봤다. 코로나19와 96% 일치하는 바이러스였다.
이 바이러스는 천산갑에서 발견된 다른 코로나바이러스와도 공통점이 많았다. 천산갑은 아시아에서 가장 많이 밀거래되는 포유류 중 하나다.
바이러스가 박쥐에서 시작해 인간에게 닿기 전 천산갑 등 중간 매개체를 거쳤을 수 있다는 분석이 제기됐고, 과학자들의 연구는 계속됐다.
우한바이러스연구소의 유전체 서열 관련 발표 이틀 뒤, 장 교수의 연구실은 문을 닫았다. 우한 당국은 연구실을 폐쇄한 데 이어 이들의 연구 자격을 박탈했다. 중국 언론에 따르면 이같은 조치의 공식적 이유는 알려지지 않았다.
그러나 연구진의 성과는 이미 전 세계에 퍼진 뒤였다.
앤더슨 교수는 “우한 과학자들의 연구 성과가 없었더라면 우리는 어떤 추가 연구도 할 수 없었을 것”이라면서 “이 모든 게 믿을 수 없이 빠른 속도로 이렇게 중요한 정보를 전달해 준 과학자들 덕분”이라고 말했다.

추적과 격리
각국의 초점은
‘발원지 추적’에서
‘확산 통제’로 옮겨갔다.

체계의 힘
인구 5100만 명, 한국의 코로나19 대처 방식은 세계에서 가장 모범적인 사례 중 하나로 꼽힌다.
올해 초만 해도 한국 내 코로나19 발발은 통제 가능한 수준이었다. 많은 한국인들은 “대규모 발발은 없을 것”이라고 예상했다. 그러나 2월 말 대구에서 불과 며칠 사이 수천 건의 폭발적 감염이 터져 나오며 상황이 달라졌다.

인구 200만 명이 넘는 대도시 대구에서의 확산은 곧 코로나19가 대한민국 전역을 뒤덮을 수 있다는 것을 의미했다. 그러나 6월 현재 많은 전문가들은 “우려했던 상황은 다행히 벌어지지 않았다”고 보고 있다.
권영진 대구시장은 “민간과 공공 의료 부문의 협력이 빛을 발한 사례”라고 자평했다.

대구시청 집무실에서 인터뷰 중인 권영진 시장
대구시청 집무실에서 인터뷰 중인 권영진 시장
대구시는 2009년 메디시티대구협의회를 설립하고 의료복합단지 건설에 많은 공을 들였다. 상급종합병원과 중소병원들, 그리고 시의 협력사업이었다.
당초 계획은 대구를 의료도시로 키우겠다는 것이었지만 권 시장은 이같은 ‘체계’의 존재가 메르스 사태와 코로나19 사태를 거치면서 효과를 냈다고 봤다.
권 시장은 “협의회를 통해 민간 병원을 공공 전담병원으로 빠르게 전환시키고 환자를 증상별로 분류하는 작업에 착수할 수 있었다”고 설명했다.

한국 전체 확진 건수의 60%가 대구에서 발생했다
한국 전체 확진 건수의 60%가 대구에서 발생했다
방역 현장의 형사들, 역학조사관
무엇보다 역학조사관의 역할이 컸다. 역학조사관들은 확진 및 접촉 사례들의 연결점을 찾는 역할을 했다. 필요한 이들에게 자가격리 조치를 내리고, 건물 또는 기관 전체를 폐쇄할 것인지 여부도 결정했다.
대구 내 확산의 중심엔 한 60대 여성이 있었다. 대구의 첫 확진자, ‘31번 환자’였다.
31번 환자는 지난 2월 17일 코로나19 확진 판정을 받았다. 역학조사관들은 그가 열흘 사이 1천여 명과 접촉한 사실을 확인했다. 사태가 걷잡을 수 없이 악화할 수 있는 상황이었다. 역학조사관들은 접촉자를 전부 추적해 자가격리 조치를 내렸다.
김종연 대구경북대학교병원 교수는 대구시 역학조사단 부단장을 맡아 이 과정을 지휘했다. 역학조사단은 정부 관계자들과 공중보건의 등으로 꾸려졌다.

김종연 교수는 “거의 매일 병원 대신 대구시청으로 출근하고 있다”고 했다
김종연 교수는 “거의 매일 병원 대신 대구시청으로 출근하고 있다”고 했다
김 교수는 “조사를 거부하는 이들에겐 어쩔 수 없이 강압적인 방법을 써야 했다”며 “신용카드 사용 내역 조사나 휴대전화 GPS 기록 추적 등이 진행됐다”고 설명했다.
31번 환자는 조사 초반 동선을 정확하게 진술하지 않아 여론의 비판을 받았다. 그는 당초 ‘대구 교회’를 방문했다고 진술했지만 실제 교회 이름은 달랐다.

신천지 교회 예배 모습 (사진: 신천지)
신천지 교회 예배 모습 (사진: 신천지)
김 교수는 “해당 교회가 신천지 교회라는 것을 인지한 뒤 예배 참석자 명단 파악이 우선이라는 판단을 내렸다”며 “윽박도 지르고, 달래기도 하며 신천지 측을 설득했다”고 했다.
“지난 2월 22일 기준 확보한 명단엔 9천여 명의 이름이 올라 있었습니다. 이중 13%가 의심 증상이 있다고 답했고, 선별 검사를 실시하자 검사 대상자의 90%가 확진 판정을 받았습니다. 공포스러웠습니다.”

김 교수는 “항아리 안에 확진자가 가득 차 있는데, 독이 깨지면서 이들이 터져 나오는 느낌이었다”고 회상했다. 그는 “검사 속도에 따라 확진자 수 그래프도 가파르게 치솟았다”며 “전형적인 유행곡선의 양상과는 거리가 멀어 보였다”고 말했다.
“신천지 교인들을 대구 시민들로부터 분리하는 작업이 시급하다고 판단했습니다. 결국 모든 신천지 교인에게 강제 자가격리 명령을 내리고 이들에 대한 전수 검사를 실시했습니다. 확진자는 모두 입원시켰습니다. 검사를 안 받겠다고 버틴 이들이 있었지만, 어쨌든 ‘최후의 한 명’까지 찾아냈습니다.”
31번 환자 발발 이후 두 달이 채 안 된 지난 4월 초, 대구는 일일 신규 확진자 ‘0명’을 기록했다.

내부 교육과정 수료식에 참석한 신천지 교인들 (사진: 신천지)
내부 교육과정 수료식에 참석한 신천지 교인들 (사진: 신천지)
이처럼 성공적인 방역 사례도 있지만, 지구상 많은 지역에선 여전히 바이러스가 기세를 떨치고 있다. 과학계는 단지 한 국가 내에서의 전파 과정뿐 아니라 대륙을 넘나드는 바이러스의 전파 경로에 주목하고 있다.
이같은 경로 추적의 핵심은 유전체 연구다.
바이러스가 남긴 흔적
중국 우한에 표시된 보라색 점은 사태 초기 환자들에게서 채취돼 코로나19의 유전체를 밝혀내는 데 쓰인 첫 검체들을 의미한다. 유전체 속 3만여 개 유전 문자의 지시에 따라 바이러스는 자가복제를 거쳐 전 세계로 퍼져 나갔다.
지도: 넥스트스트레인
지난 1월 우한바이러스연구소 용진장 교수팀의 유전체 서열 발견 이래, 세계 곳곳의 과학자들은 수만 건의 검체를 계속해서 분석해 왔다. 분석 결과는 오픈 데이터베이스인 GISAID에 올라갔다.
수천 번에 걸쳐 유전체 배열 순서를 들여다보는 과정을 통해 과학자들은 유전 정보 속 변이 과정을 추적할 수 있었다. 쉽게 말해 유전 문자들의 연결고리 속 작은 실수나 오타를 찾아내는 작업이었다. 바이러스가 남긴 흔적을 뒤따라가는 것마냥 유전체 배열 변이를 추적하면 바이러스가 어떻게 국경을 넘나들며 퍼져 나갔는지 알 수 있다.
예를 들어 미국 뉴욕 환자의 검체에선 세 차례의 변이가 관찰됐다. 우한에서 채취된 검체에도 같은 형태의 변이 정보가 담겨 있었다. 이는 두 검체 모두 한 곳에서 전파됐음을 의미한다. 이를 시간순으로 나열해 언제, 또 어떻게 바이러스가 우한에서 뉴욕으로 넘어갔는지 파악할 수 있는 것이다.
지도: 넥스트스트레인
전 세계에서 채취된 검체 3만7천여 건을 분석한 결과 코로나19가 엄청난 전파력을 갖고 있다는 사실이 드러났다.
지도: 넥스트스트레인
넥스트스트레인은 과학자들과 컴퓨터 프로그램 개발자들이 모여 만든 단체다. 이들은 수만 건의 유전체 서열에서 의미 있는 정보들을 뽑아내 GISAIS에서 공유해 왔다. 이를 바탕으로 만들어진 오픈소스 지도는 바이러스가 변이하며 퍼지는 과정을 실시간으로 보여준다.
넥스트스트레인과 협업해 온 역학자 엠마 호드크로프트 박사는 “유전체를 추적하면 단순히 환자에게서 직접 듣는 정보와는 다른 수준의 통찰을 얻을 수 있다”고 말했다.

재택 근무 중인 엠마 호드크로프트 박사
재택 근무 중인 엠마 호드크로프트 박사
“환자들은 보통 자신이 어디서, 언제 감염됐는지 알지 못합니다. 유전체 정보는 훨씬 믿을 만하죠.”
특히 감염 경로 정보가 제대로 수집되지 않은 나라에선 이같은 추적 방식이 더 큰 효과를 발휘한다. 이란의 경우처럼 말이다..
사라진 연결고리
지난 1월 말, 호드크래프트 박사와 넥스트스트레인 팀의 눈에 서로 매우 유사한 형태의 검체들이 포착됐다. 이 검체들은 같은 형태의 변이를 거친 상태로 호주와 뉴질랜드, 독일, 영국, 미국, 중국 등 8개 국가에서 채취됐다.
연구진은 처음엔 이 검체들이 어디서 왔는지 단번에 알아차리지 못했다고 한다.
호드크래프트 박사는 “조직도를 그려보니 검체들이 뭉텅이로 몰려 있었다”며 “환자들 간 공통점이 없었기 때문에 이는 매우 놀라운 현상이었다”고 했다.
그는 “그러나 곧 호주발 검체 일부가 이란으로 옮겨간 흔적이 있다는 사실을 발견했다”고 덧붙였다.
“굉장한 발견이었습니다. 당시 우리에겐 이란발 검체가 없었거든요. 이는 매우 높은 확률로 이 모든 검체가 이란에서 감염됐거나 이란을 다녀온 사람에게서 옮아 왔음을 의미합니다.”

변이 조직도 속 18개 검체는 모두 이란에서 퍼진 것으로 비슷한 유전적 양상을 띤다
변이 조직도 속 18개 검체는 모두 이란에서 퍼진 것으로 비슷한 유전적 양상을 띤다
유전체 추적은 상당히 효과적인 방법이다. 바이러스 변이가 상대적으로 드문 일이기 때문이다. 단지 몇 개의 검체만으로도 과학자들이 바이러스가 어떻게 퍼져나갔는지 파악할 수 있다.
이란발 검체들을 나열하자 형제자매와 사촌들을 배열한 듯한 조직도가 나타났다. 넥스트스트레인은 이런 결론을 내렸다.
‘검체들이 이란에서 발생한 단일 변이의 결과일 뿐만 아니라, 이란 내 확산 역시 이 단일 변이에서 비롯됐다.’
방역 현장의 역학조사관들은 이란 내 확산의 중심지로 중부의 작은 도시이자 성지인 콤을 지목했다. 콤은 매일 수천 명의 이슬람교 신자들이 찾는 도시다.
콤에서 퍼져나간 바이러스는 보름이 채 안 돼 이란 전역을 뒤덮었다.

이슬람교 축일 이드 알피트르 행사에 참석한 신자들
이슬람교 축일 이드 알피트르 행사에 참석한 신자들
접촉자 추적과 유전체 분석을 통해 과학자들은 코로나19의 소리 없는 전파력을 확인했다. 그러나 지난 6개월간의 새로운 발견들에도 불구하고, 전문가들은 바이러스보다 한발짝 뒤에 서 있는 듯하다.
바이러스의 다음 정착지를 예상할 수 없어서다.
코로나19 방역엔 한 가지 거대한 문제가 있다. 이 바이러스가 일부 환자들에선 치명적인 합병증을 유발하지만 많은 경우 증상이 경미하거나 아예 없다는 사실이다.
코로나19의 ‘조용한 전파’까지 추적하는 건 본디 쉽지 않은 일이다. 그런데, 이탈리아 북부의 작은 시골마을에서 그 추적의 단서가 포착됐다.
보이지 않는 위협
이탈리아의 첫 번째 코로나19 사망자는 북적거리는 대도시가 아닌, 북동부 베네토주의 외딴 마을 보에서 시작됐다. 보의 주민은 3천 명 정도다.
지난 2월 21일 이탈리아 첫 사망자 직후 지역 당국은 마을 봉쇄 조치에 돌입했다. 또 증상 여부와 관계 없이 모든 주민에 대한 검사에 착수했다. 일부 주민들은 여러 차례 검사를 받아야 했다.

순찰 중인 보의 경찰들
순찰 중인 보의 경찰들
지역 미생물학자인 엔리코 라베쪼 부교수는 이같은 방역 절차를 이끌었다. 그는 연구의 가장 중요한 부분이 ‘조용한 전파’, 즉 증상이 없거나 경미한 감염자들을 밝혀내는 것이었다고 설명했다.
라베쪼 부교수는 “감염된 주민의 40% 이상이 ‘자신이 타인을 감염시킬 수 있다’는 사실을 인지하지 못했다”며 “이는 방역의 매우 심각한 장애물이었다”고 말했다.
“증상이 있으면 집에 있겠지만, 그렇지 않으면 평소처럼 생활하겠죠. 외출도 하고, 사람들도 만날 겁니다. 자신이 바이러스를 옮길 수 있다는 생각은 전혀 하지 못 한 채 말이죠.”

엔리코 라베쪼 부교수
엔리코 라베쪼 부교수
라베쪼 부교수 연구팀은 무증상 감염자 문제를 최초로 확립한 이들 중 하나다.
연구 과정에서 주민 3천 명 가운데 10살 미만 어린이 확진자가 단 한 명도 없다는 사실도 드러났다.
“어린이들이라고 감염에서 안전하다는 이야기는 아닙니다. 그러나 어린이 수십 명이 감염자와 함께 생활했고, 그럼에도 감염되지 않았다는 사실은 매우 이상하죠. 추가 연구가 필요한 부분입니다.”
코로나19의 확산세가 좀처럼 수그러들지 않는 데엔 무증상 감염자들의 역할도 크다. 바이러스가 엄청난 수의 사람들에게 침투해 자신도 모르는 새 바이러스를 확산시키게 만들기 때문이다.
코로나19의 증상 범위는 왜 이렇게 넓은 것일까? 어린이 감염율은 왜 낮은 것일까?
죽음의 조합
과학자들은 이 바이러스가 한 가지 방식으로만 인체에 침투한다는 사실을 밝혀냈다. 인체 세포 표면의 ACE-2 수용체에 붙어 잠입하는 식이다.

인체 세포에 코로나19 바이러스가 붙어 있는 모습
인체 세포에 코로나19 바이러스가 붙어 있는 모습
마이클 파르잔 교수 연구팀은 2003년 사스 발발 당시 이 ACE-2 수용체를 최초로 발견했다.
파르잔 교수에 따르면 이 수용체는 인체 어느 곳에나 존재한다. 코, 폐, 장기, 심장, 신장, 그리고 뇌에서도 관찰된다.

면역학자이자 미생물학자인 마이클 파르잔 교수
면역학자이자 미생물학자인 마이클 파르잔 교수
이는 코로나19가 다양한 증상을 보이는 원인이기도 하다. 코를 통해 감염되면 후각을 잃게 되고 이는 곧 폐 염증으로 이어져 심한 기침을 유발한다.
바이러스들은 대개 전파력이 좋거나 심각한 질병을 유발한다. 코로나19는 이 두 가지에 모두 능하다.
비강이나 폐 상부 등 상부 호흡기가 감염되면 염증 반응이 나타나고, 이는 기침과 재채기를 유발해 바이러스의 확산을 부추긴다. 기도 하부가 감염될 경우 호흡 곤란 등 치명적인 합병증으로 이어질 수 있다.

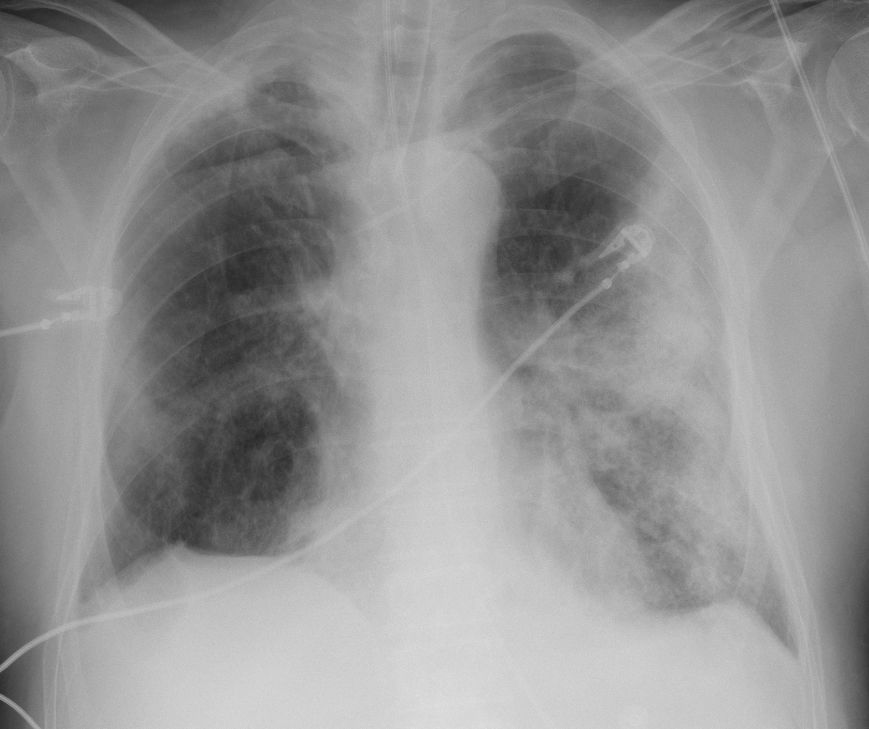
68세 중증 환자의 엑스레이 사진으로, 폐의 흰 부분은 염증을 의미한다 (자료: 영국 왕립방사선학과대학)
68세 중증 환자의 엑스레이 사진으로, 폐의 흰 부분은 염증을 의미한다 (자료: 영국 왕립방사선학과대학)
파르잔 교수는 어린이 감염 사례가 전체의 2%가 채 안 되는 이유를 이 수용체와 연결지어 설명했다. 어린이들은 성인에 비해 폐 하부에 ACE-2 수용체가 적게 존재하기 때문이라는 것이다.
그는 “이는 어린이들이 성인보다 중증 폐렴 같은 질병에 덜 취약하다는 사실을 의미한다”고 했다.
그는 그러나 어린이의 폐 상부엔 ACE-2 수용체가 많이 자리잡고 있다고 덧붙였다.
“어린이라고 할지라도 여전히 타인에게 바이러스를 옮길 가능성은 존재합니다. 상부 호흡기도는 바이러스의 전파에 아주 중요한 부위이기 때문입니다.”
반 년의 조사와 과학적 발견에도 불구하고 ‘바이러스의 파괴적 효력’이라는 결론에서 벗어날 순 없었다. 이제 과학자들은 팬데믹의 종말을 위한 유일한 길이 예방 백신 개발뿐이라고 보고 있다.
백신을 향한 질주
현재 코로나19 백신 개발 경쟁에 뛰어든 기관은 최소 124곳이다.
브라질 상파울루대학교 조지 칼릴 교수도 임상 시험을 이끌고 있다. 현재 브라질은 코로나19 확산 상황이 가장 심각한 나라 중 하나지만 자이르 볼소나로 대통령은 봉쇄령 해제를 촉구하고 있다.

조지 칼릴 교수가 상파울루 자택에서 인터뷰에 응했다
조지 칼릴 교수가 상파울루 자택에서 인터뷰에 응했다
몇몇 기관들은 이르면 오는 9월 백신이 마련될 것이라며 제조 및 배급 과정을 고려해 12개월에서 18개월 정도 더 기다리면 된다고 주장한다.
그러나 칼릴 교수는 이같은 전망에 회의적이었다. 그는 서두르지 않고 엄격한 기준을 유지해야 한다고 봤다.
“물론 가능한 빨리 개발을 해야겠죠. 하지만 가장 먼저 백신을 내놓는다고 해서 ‘승리자’가 되는 건 아니라고 봅니다. 이건 자동차 경주가 아닙니다. 승리자는 가장 훌륭한 백신을 내놓는 쪽일 겁니다. 가장 많은 사람들, 바라건대 90% 정도의 이들에게서 효과를 보이고 증상 발현과 전파를 모두 막을 수 있는 그런 백신이어야 합니다.”
칼릴 교수는 팬데믹의 진정한 종말을 위해선 항체 형성에 가장 어려움을 겪는 집단, 즉 노인과 기저질환자들을 위한 백신이 나와야 한다고 주장했다.
가장 취약한 집단에서 백신이 제대로 효과를 내지 못한다면 코로나19는 계속해서 확산할 거란 이야기다.

브라질의 한 집단 묘지에서 유가족들이 슬픔을 나누고 있다
브라질의 한 집단 묘지에서 유가족들이 슬픔을 나누고 있다
그는 2차, 3차 대유행을 막으려면 모든 국가가 백신에 접근할 수 있어야 한다고도 강조했다.
“문제는 돈과 정치일 겁니다. 이곳 브라질 상파울루엔 아름다운 저택에서 자가격리 중인 부자들이 있는가 하면 가족 8~10명이 단칸방에 모여 사는 풍경도 볼 수 있습니다. 이렇게 가난한 이들은 어떻게 자가격리를 하겠습니까?”
“모두의 완전한 해방을 위해선 정말로 좋은 백신이 필요합니다. 그 외엔 탈출구가 없습니다.”

코로나19 사망자가 무더기 매장된 브라질 마나우스의 한 공동묘지
코로나19 사망자가 무더기 매장된 브라질 마나우스의 한 공동묘지
취재: 클레어 프레스
공동취재: 정부경
삽화: 찰리 뉴랜드
그래픽: 코 바솔로뮤, 대니얼 던포드, 프리나 샤, 도미닉 베일리, 알리슨 트로스데일
이미지: 게티, BBC
편집: 벤 알렌, 재키 마튼즈
도움 주신 분들: 빅토리아 린드레아, 코트니 팀즈, 안젤로 아타네시오, 줄리아나 그랙내니, 이웅비