Lima mitos keliru soal patah tulang

Sumber gambar, BSIP/UIG via Getty Images
- Penulis, Claudia Hammond
- Peranan, BBC Future
Teriakan kesakitan, nyeri yang menusuk? Tidak selalu. Jika bisa digerakan artinya tidak patah? Belum tentu. Di sini Claudia Hammond menjawab sejumlah mitos tentang patah tulang.
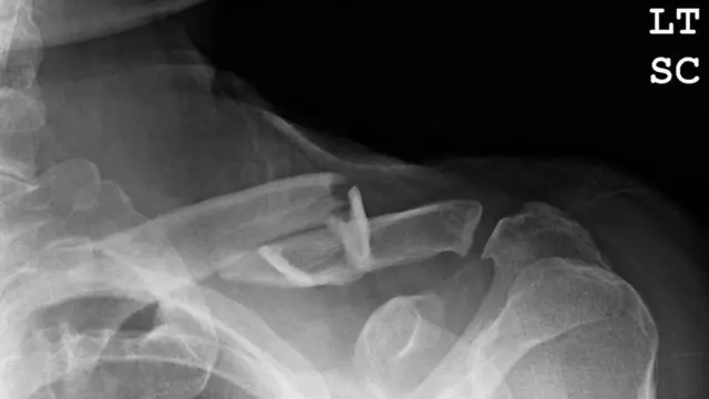
Jika Anda bisa menggerakannya, berarti tidak patah!
Ini adalah hal pertama yang biasanya orang tanyakan ketika Anda kesakitan setelah jari kaki terantuk sangat sangat keras dan curiga kalau tulangnya patah. "Bisakah Anda menggerakannya? Jika ya, berarti tidak patah."
Bahkan, Anda kadang bisa membuat tulang patah bergerak, jadi itu bukan tanda utama yang harus dilihat untuk mencari tahu apakah tulang Anda retak.
Tiga tanda awal yang harus dilihat adalah bengkak dan bentuk yang tak wajar. Jika tulang keluar 90 derajat atau terasa menonjol di kulit, tidak mengejutkan, itu bukan pertanda baik dan mungkin tulang itu patah. Tanda lain adalah jika Anda mendengar bunyi 'tak' ketika insiden terjadi.
Jika patah, Anda akan sangat amat kesakitan
Tidak selalu. Banyak orang pernah mengalaminya, setelah jatuh tersandung, kemudian menghabiskan waktu berski, berjalan, menari, tanpa sadar bahwa tulang mereka retak. Seringnya, tulang yang retak terasa amat sakit, tetapi jika retaknya kecil, Anda mungkin tidak menyadarinya.
Saat Anda sadar ada tulang yang retak, penting untuk segera mendapat bantuan profesional untuk memastikan bahwa tulang itu dalam posisi yang benar dan juga tersangga dengan tepat selagi proses penyembuhan untuk menghindari infeksi atau perubahan bentuk permanen.

Sumber gambar, Ted Soqui/Corbis via Getty Images
Tapi ada keanehan dalam kasus tulang retak dan rasa sakit. Itu mungkin tidak sakit pada saat kejadian, tetapi pada 2015, menggunakan data setengah juta orang dewasa dari UK Biobank, peneliti di Universitas Southampton menemukan bahwa orang yang menderita keretakan tulang di bagian lengan, kaki, tulang belakang, dan pinggul di masa lampau punya kemungkinan lebih besar untuk merasa sakit yang meluas di sekujur tubuh berpuluh-puluh tahun ke depan dibandingkan orang kebanyakan.
Untungnya, sakit semacam ini tidak terlalu umum.
Perempuan kulit putih tua lebih rentan patah tulang karena osteoporosis
Mari mulai dengan usia. Memang benar bahwa perempuan yang lebih tua lebih mungkin menderita patah tulang ketimbang perempuan yang lebih muda. Perubahan hormonal saat menopause dapat menyebabkan kerapuhan tulang yang cepat dan retakan yang sering terlihat pada osteoporosis.
Ketika membicarakan etnis, kasus patah tulang panggul perempuan kulit putih dua kali lebih banyak dibanding perempuan kulit hitam di AS.
Sejumlah faktor bisa menjadi alasan mengapa tulang perempuan kulit hitam lebih kuat, misalnya massa tulang yang lebih tinggi semasa kanak-kanak dan tingkat pembaruan tulang yang lebih rendah, yang dapat menyebabkan penurunan kepadatan mineral tulang menjadi lebih lambat seiring bertambahnya usia.

Sumber gambar, Universal Images Group via Getty Images
Tapi, perempuan kulit hitam sebetulnya masih bisa menderita osteoporosis. Hanya saja jumlahnya lebih sedikit. Hanya 5% perempuan kulit hitam di atas usia 50 yang diduga menderita osteoporosis. Ini mendorong banyak pihak menyerukan untuk lebih serius memperhatikan gejala osteoporosis pada perempuan kulit hitam.
Di AS, misalnya, lebih sedikt perempuan Afrika-Amerika yang diundang untuk melakukan tes osteoporosis dibanding perempuan Kaukasia, dan jika mereka menerima diagnosis, mereka cenderung tidak akan diresepkan pengobatan.
Jika jari kaki patah, tak perlu ke dokter karena mereka tak bisa lakukan apa-apa
Betul bahwa mungkin saja Anda tidak dipasang gips, tetapi jari kaki yang patah tetap harus diperiksa. Staf medis perlu mengetahui jenis retakan untuk menghindari sakit jangka panjang atau kelainan bentuk, yang nantinya membuat Anda tidak nyaman mengenakan sepatu atau memicu arthritis di masa depan jika retakan tidak sembuh dengan baik.
Jika jari itu patah membentuk sudut yang aneh, perawatan yang lebih kompleks dan bahkan operasi dibutuhkan.
Sebagian besar jari kaki yang patah bisa disangga ke jari-jari kaki di sebelahnya dan dijaga dalam posisi stabil dengan sepatu khusus yang kaku. Penyembuhan biasanya memakan waktu empat hingga enam minggu.
Patah ibu jari kaki yang lebih serius dan beberapa orang akan membutuhkan gips setinggi betis selama dua atau tiga minggu, diikuti dengan menempelkan ibu jari itu ke jari kaki kedua. Untungnya ibu jari kaki punya kemungkinan patah lebih kecil dibanding jari-jari kaki lainnya.
Jika metatarsal - tulang di bawah jari-jari kaki - patah, patah tulang masih bisa sembuh tanpa plester apa pun selama kaki beristirahat. Ini karena tulang di kedua sisi cenderung saling menyangga, bertindak sebagai perekat alami dan dalam 80% kasus tulang tetap berada di tempat yang benar bahkan ketika patah. Tetapi jika ada luka yang menunjukkan patah terbuka, atau tulang tidak akan masuk ke posisi yang benar, mungkin perawatan dibutuhkan.
Ini lebih mungkin di tulang di bawah jempol kaki karena tidak memiliki dukungan dari tulang lain yang menahannya di tempatnya. Demikian juga, fraktur tulang di bawah jari kelingking kaki kadang-kadang memerlukan pembedahan atau gips.
Bahkan jika Anda tidak perlu gips, Anda perlu merawat jari kaki patah. Jika retakan itu tidak terlalu serius, staf medis bisa membalutnya dengan penyangga tulang dan menambahkan busa empuk. Dan mereka akan tahu Apakah Anda butuh tongkat bantu jalan untuk satu atau dua minggu sampai kaki Anda bisa kembali nyaman menumpu beban tubuh.

Sumber gambar, Fairfax Media via Getty Images
Setelah tulang patah sembuh, tulang akan jadi lebih kuat dari sebelumnya.
Ini terdengar terlalu bagus untuk menjadi kenyataan, dan dalam jangka panjang, ini memang tidak terjadi.
Dalam proses penyembuhan, cuff atau callous tulang yang sangat kuat terbentuk di sekeliling retakan untuk melindunginya. Jadi betul bahwa dalam beberapa minggu ketika proses penyembuhan, tulang patah lebih kuat dibanding tulang biasa. Tapi lama-kelamaan, cuff ini menghilang dan beberapa tahun kemudian Anda akan memiliki tulang yang mungkin bagus seperti baru, tetapi tidak lebih kuat dari tulang-tulang di sebelahnya.
Disclaimer: Semua konten dalam kolom ini disediakan hanya untuk informasi umum, dan tidak boleh digunakan sebagai pengganti saran medis dari dokter Anda sendiri atau pakar kesehatan lainnya.
BBC tidak bertanggung jawab atas diagnosis yang dibuat oleh pengguna berdasarkan konten situs ini. BBC tidak bertanggung jawab atas isi situs eksternal apa pun yang tertaut, juga tidak mendukung produk atau layanan komersial apa pun yang disebutkan atau disarankan di salah satu situs tersebut. Selalu berkonsultasi dengan dokter Anda sendiri jika Anda peduli tentang kesehatan Anda.
Anda bisa membaca versi asli tulisan ini di BBC Future dengan judul Five Myths About Broken Bones.






























