BBC UKChina
  疑难解答 
 
最后更新时间: 2007年3月12日 格林尼治标准时间11:14更新
 
转寄朋友 打印文稿
“补充剂”对儿童脑部发展有奇效
 
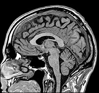
儿童脑部扫描
儿童脑部扫描发现神经纤维大量增加
人们常常说:“垃圾食物无益”,究竟怎么样“无益”呢?致胖和不利健康是最常见的说法。

可是,科学家发现,垃圾食物缺乏让智力发展的元素,影响智力发展。这一点实在是父母和教育界需要关注的。

科学家在一项研究中惊讶地发现,短时间内服用了简单的食物补充剂之后,孩童的脑袋和智力出现突变。

扫描显示,他们的脑袋在短短三个月内经历了一般需要三年时间的发育。

此外,这些孩子在阅读、专注、解决问题和记忆的测试上,表现出巨大的进步。

一名过去与电视为伍,不好读书的男孩突然喜爱阅读,还说电视节目“沉闷”。

研究人员说,这项研究只是建基于少数的样本,但是结果肯定了脂肪酸促进脑部发展的一些近期发现,并且显示快餐可能阻碍智力成长,因为精制食品不含这些脂肪酸。

重要的脂肪酸

接受这项先导试验的有三名男孩和一名女孩,年龄介乎8岁到13岁。试验的目的是研究饮食对少年人脑部发展的影响。

四名孩子都超重。八岁的男孩扎克(Zach)重112磅;11岁的乔治(George)和雷恰尔(Rachael)重154磅;13岁的加雷斯(Gareth)重168磅。

研究人员一开始就给他们服用一种称为VegEPA的补充剂,里面含有欧米加-3(Omega-3)和欧米加-6(Omega-6)两种重要的脂肪酸。

他们连续三个月,每天服用两个胶囊。研究人员又鼓励他们少食油腻零食和汽水,还有多做运动。

最后,研究人员为这四个孩子进行了一系列的测试,并且使用高科技的质子光谱学扫描来研究他们脑部的生化变化。

结果发现,他们在一个范畴都出现戏剧性的改进。这些孩子比他们的阅读年龄超前一年;他们的字体变得整齐和准确;他们在课堂上也表现出更专注。

不过,最让科学家惊异的是脑部的扫描结果。

脑乙酰天门冬氨酸

在伦敦圣乔治斯医院(St Georges Hospital)的扫描仪器可以检测脑部发展一个主要生化指标,称为脑乙酰天门冬氨酸(Nacetylaspartate,NAA)。

高量的NAA等于有更多神经纤维在脑部生长。领导这项研究的伦敦帝国学院(Imperial College)的普里教授(Professor Basant Puri)说:“结果令人惊讶。在三个月内,原本只有少量NAA增长。但是我们看到了需要三年时间才出现的增长。”

他说:“这等于说,他们的脑部的神经细胞有更多连接,也更密集。”

他又说:“全部四个小孩都有明显的改变。但是三个男孩的NAA有了大量,大量的增加。”

这些增长出现在整个大脑皮层,也就是脑部的“思想区”。

普里教授说,虽然要求他们改善饮食习惯,但是他们改变不多。

帝国学院的造影专家巴克柯教授(Professor Kishore Bhakoo)说,这个结果对有关“垃圾食品”的辩论有重要影响。

他说,精制食品不含这些脂肪酸。

普里教授相信出现戏剧性改变完全是因为那些补充剂。这种补充剂来自脂肪丰富的鱼和月见草(evening-primrose)提炼的特纯油分。

这种补充剂含有重要的脂肪酸EPA,而完全没有另一种脂肪酸DHA。过去的研究发现这种补充剂可以改善成年人的脑部功能。

 
 
相关内容
高智商儿童长大后素食者较多
2006年12月15日 | 英国生活 Life in the UK
"儿歌有助孩子聪明成长"
2006年11月15日 | 留学英伦 Study in the UK
音乐与孩子智能的关系
2006年9月20日 | 留学英伦 Study in the UK
BBC以外链接
非本网站内容BBC概不负责
最新内容
 
 
转寄朋友 打印文稿
 
 

 
主页|英语教学|随身英语|地道英语|英语小测验|单词大师|发音技巧奥运英语|英国问答|留学英伦|英国生活|英超足球|音视图片|世界天气|常见问题|联络方式|合作伙伴
 


^^ 返回页首