হাঁচি চাপার চেষ্টা করতে গিয়ে ছিঁড়ে গেল গলার পেশী !

ছবির উৎস, Getty Images
ইংল্যান্ডের লেস্টারে এক ব্যক্তি হাঁচি চাপতে গিয়ে তার গলার পেশী ছিঁড়ে ফেলার পর ডাক্তাররা সতর্ক করে দিচ্ছেন, এমন চেষ্টা না করতে - কারণ এতে গলা, কান এমনকি মস্তিষ্কেরও মারাত্মক ক্ষতি হতে পারে।
চৌত্রিশ বছর বয়স্ক ওই ব্যক্তির নাম প্রকাশ করা হয় নি। তবে তার এত জোরে হাঁচি এসেছিল এবং তিনি নাক-মুখ বন্ধ করে এমনভাবে তা চেপে রাখতে চেয়েছিলেন - যার ফলে তার গলার ভেতরের নরম টিস্যু ছিঁড়ে যায়।
ডাক্তাররা বলছেন, এমন ঘটনা খুবই বিরল এবং অস্বাভাবিক, তবে এটা ঠিক যে হাঁচি চাপার চেষ্টার সম্ভাব্য বিপদ সম্পর্কে সচেতন হওয়া উচিত।
ব্রিটিশ মেডিক্যাল জার্নালে এক রিপোর্টে ডাক্তাররা বলছেন, এর ফলে কানের ক্ষতি হতে পারে, এমনকি মস্তিষ্কের রক্ত সংবহনকারী কোন শিরা আগে থেকেই দুর্বল হয়ে গিয়ে থাকলে তা ফেটে যেতে পারে।
আক্রান্ত লোকটি ডাক্তারদের বলেন, হাঁচি চাপার পরই তার ঘাড়ে কট করে একটা শব্দ হয়। সাথে সাথেই তিনি বুঝতে পারেন , তার গলায় ব্যথা হচ্ছে এবং কোন কিছু গিলতে বা কথা বলতে কষ্ট হচ্ছে।

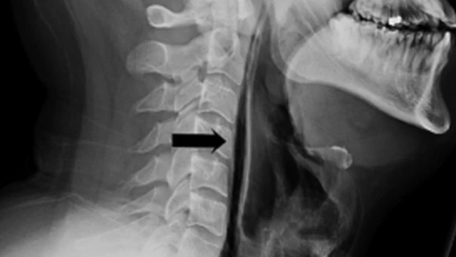
ছবির উৎস, বিএমজে
ডাক্তারের কাছে গেলে তারা পরীক্ষা করে দেখতে পান তার গলা এবং ঘাড় ফুলে গেছে, টিস্যুগুলো স্পর্শকাতর হয়ে গেছে।
এক্সরে ছবিতে দেখা যায়, তার শ্বাসনালী ফেটে গেছে এবং শ্বাস নেবার সময় তা দিয়ে বাতাস বেরিয়ে তার গলার নরম পেশীতে এসে লাগছে।
এর পর তাকে সাতদিন হাসপাতালে থাকতে হয়, গলার ভেতর নল ঢুকিয়ে খাওয়ানো হয় - যতদিন শ্বাসনালীর টিস্যু আপনাআপনি জোড়া না লাগে।
ওই ব্যক্তি এখন পুরোপুরি সেরে উঠেছেন।
লেস্টার রয়াল ইনফার্মারির নাক-কান-গলা বিশেষজ্ঞ ডাক্তাররা বলছেন, নাক-মুখ বন্ধ করে হাঁচি ঠেকানোর চেষ্টা বিপজ্জনক, এবং এতে নানা বিপদ হতে পারে। তাই তা না করে বরং উচিত কাপড় দিয়ে মুখ ঢেকে হাঁচি দেয়া।
বিবিসি বাংলায়আরো পড়ুন:








