إجراء "عملية جراحية دقيقة" للمرة الأولى لعلاج أمراض وراثية لدى أجنة بشرية

صدر الصورة، Getty Images
- Author, جيمس غالاغر
- Role, مراسل شؤون الصحة والعلوم - بي بي سي
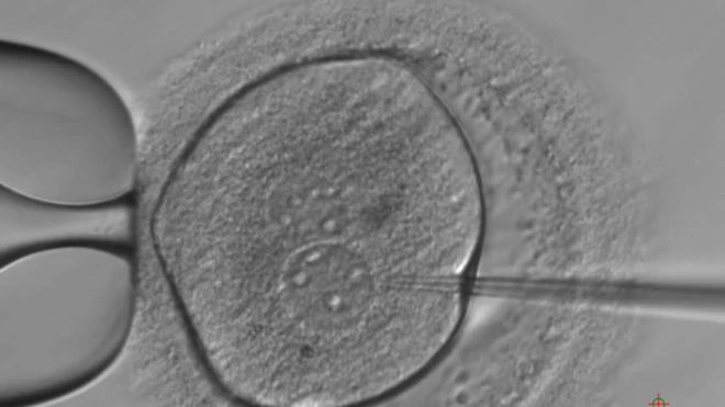
أجريت "عملية جراحية كيمائية" دقيقة على أجنة بشرية لعلاج أحد أمراض اضطرابات الدم الوراثية للمرة الأولى في العالم، حسبما ذكر باحثون صينيون لبي بي سي.
واستخم فريق علمي من جامعة "صن يات سين" تقنية يطلق عليها تحرير القاعدة لتصحيح خطأ من بين ثلاثة ملايين "حرف" من الشفرة البشرية.
وعدّل الباحثون أجنة مختبرية، لم يُجر زرعها، لعلاج مرض "بيتا ثلاسيميا"، وهو مجموعة من اضطرابات الدم الوراثية.
ويقول الفريق العلمي إن النهج الجديد ربما يتمكن في يوم ما من علاج عدد كبير للغاية من الأمراض الوراثية.
وتقوم تقنية تحرير القواعد على تعديل الهياكل الأساسية للحمض النووي، وهي الأدينين والسيتوزين وجوانين والثيمين.
وتُعرف هياكل الحمض النووي بالحروف الأولى لأسمائها، وهي "إيه سي جي تي".
وتُشفر جميع تعليمات بناء الجسم البشري ووظائفه في مزيج من هياكل الحمض النووي الأربعة.
وينجم مرض اضطرابات الدم "بيتا ثلاسيميا"، الذي قد يهدد الحياة، عن تغير يطرأ على إحدى القواعد في الشفرة الوراثية، يعرف باسم الطفرة النقطية.
وعدّل فريق الباحثين هذا الخلل لإعادته لصورته الأولى.
وفحص الفريق الحمض النووي لاكتشاف الخطأ ثم حولوا الهيكل جي إلى إيه، لتصحيح الخطأ.
وقال جونجيو هوانغ، أحد الباحثين، لبي بي سي: "كنا الأوائل في إثبات إمكانية علاج المرض الوراثي في الأجنة البشرية باستخدام نظام تحرير قواعد الحمض النووي."

صدر الصورة، Getty Images
وأضاف أن دراستهم تفتح أفاقا جديدة في علاج المرضى وحماية الأجنة من أن يولدوا بمرض اضطرابات الدم الوراثية "بيتا ثلاسيميا"، و"حتى علاج الأمراض الوراثية الأخرى."
وجرت الاختبارات في أنسجة استخرجت من مريض مصاب باضطرابات الدم الوراثية وفي أجنة بشرية جرى استنساخها.
"ثورة" علم الوراثة
وتحرير القاعدة هو تطور في شكل من أشكال تحرير الجينات، المعروف باسم كريسبر، وهو ما يعتبر ثورة حقيقة في العلوم.
وتقوم تقنية كريسبر على تكسير الحمض النووي. وعندما يحاول الجسد إصلاح هذا الكسر، يقوم كريسبر بإيقاف مجموعة من التعليمات يطلق عليها الجين الوراثي، وحينها تسنح الفرصة لإدخال بيانات وراثية جديدة.

صدر الصورة، Getty Images
وتعمل تقنية تحرير القاعدة على قواعد الحمض النووي نفسها لتحويل قاعدة إلى أخرى.
وتصدر الفريق البحثي في جامعة صن يات سين بمدينة قوانغتشو العناوين من قبل عندما كانوا أول من استخدم تقنية كريسبر على الأجنة البشرية.
ووصف روبين لوفيل بادج، من معهد فرانسيس كريك في لندن، وهو معهد طبي متعدد التخصصات، عناصر دراستهم الأخيرة بأنها "بارعة".
لكنه تساءل لماذا لم يُجرِ الفريق مزيدا من البحث على الحيوانات قبل القفز إلى الأجنة البشرية، وقال إن قواعد إجراء التجارب على الأجنة في دول أخرى يجب أن يكون "أكثر صرامة".
وتعتبر الدراسة، المنشورة في دورية "بروتين آند سيل" العلمية، أحدث مثال على قدرة العلماء المتزايدة في إدخال تغييرات على الحمض النووي البشري.




























