اختراق طبي غير مسبوق: علاج مرض هنتنغتون بنجاح

صدر الصورة، BBC/Fergus Walsh
- Author, جيمس غالاغر
- Role, مراسل الشؤون الصحية والعلمية
- Published
- مدة القراءة: 6 دقائق
أعلن أطباء عن النجاح في علاج واحد من أخطر الأمراض وأكثرها تدميراً للأعصاب، وهو مرض هنتنغتون، للمرة الأولى.
ينتقل المرض وراثياً عبر العائلات، ويقضي بلا رحمة على خلايا الدماغ، ويشبه مزيجاً من الخرف ومرض باركنسون والتصلب الجانبي الضموري.
بكى أعضاء فريق البحث بتأثر وهم يصفون كيف أظهرت البيانات أن المرض تم إبطاؤه بنسبة 75 في المئة لدى المرضى.
ويعني ذلك أن التدهور الذي كان متوقعاً خلال عام سيستغرق أربع سنوات بعد العلاج، ما يمنح المرضى عقوداً من "الحياة ذات النوعية الجيدة"، كما قالت لبي بي سي نيوز البروفيسورة سارة تبريزي من مركز هنتنغتون في جامعة كوليدج لندن.
العلاج الجديد هو نوع من العلاج الجيني يُعطَى خلال عملية جراحية دقيقة في الدماغ تستغرق بين 12 و18 ساعة.
عادة ما تظهر الأعراض الأولى لمرض هنتنغتون في الثلاثينيات أو الأربعينيات من العمر، ويكون المرض قاتلاً في غضون عقدين، ما يفتح الباب أمام احتمال أن يؤدي العلاج المبكر إلى منع ظهور الأعراض من الأساس.
وصفت تبريزي النتائج بأنها "مذهلة".
وأضافت: "لم نكن لنتوقع مطلقاً إبطاء التدهور السريري بنسبة 75 في المئة".
لم يتم الكشف عن هوية أي من المرضى الذين تلقوا العلاج، لكن أحدهم كان قد تقاعد من عمله كطبيب وعاد إلى العمل. ولا يزال آخرون ممن تلقوا العلاج الجديد قادرين على السير رغم أنه كان من المتوقع أن يحتاجوا إلى كرسي متحرك.
ومن المرجح أن يكون العلاج باهظ التكلفة. ومع ذلك، يعد هذا إنجازاً يمنح أملاً حقيقياً في مواجهة مرض يضرب الناس في أوج حياتهم ويدمر العائلات.

صدر الصورة، BBC/Fergus Walsh
يمتد مرض هنتنغتون في عائلة جاك ماي-ديفيس، إذ يحمل الجين المعيب المسبب للمرض، كما كان الحال مع والده فريد وجدّته جويس.
قال جاك إن مشاهدة تدهور والده الحتمي كان أمراً "فظيعاً ومريعاً".
ظهرت الأعراض الأولى على فريد في أواخر الثلاثينيات من عمره، بما في ذلك تغييرات في السلوك وطريقة الحركة. وفي النهاية احتاج إلى رعاية تلطيفية على مدار الساعة قبل أن يتوفى في سن الرابعة والخمسين عام 2016.
يبلغ جاك من العمر 30 عاماً ويعمل مساعد محامٍ، وخطب حديثاً كلوي، وشارك في أبحاث جامعة كوليدج لندن لتحويل تشخيصه إلى أمر إيجابي.
كان يعلم دائماً أنه مقدَّر له أن يلقى مصير والده، حتى هذا اليوم.
لكنه الآن يقول إن هذا النجاح العلمي "المذهل بحق" أذهله بصورة عارمة ومكّنه من النظر إلى مستقبل "يبدو أكثر إشراقاً قليلاً، ويسمح بالتفكير بأن الحياة قد تكون أطول بكثير".

صدر الصورة، May-Davis family
ينتج مرض هنتنغتون عن خطأ في جزء من الحمض النووي يُسمى جين هنتنغتين.
إذا كان أحد والديك مصاباً بمرض هنتنغتون، فإن لديك احتمالاً بنسبة 50 في المئة لوراثة الجين المتحوّر والإصابة بالمرض في نهاية المطاف.
يحوّل هذا التحوّر بروتين هنتنغتين الطبيعي، الضروري للدماغ، إلى قاتل للخلايا العصبية.
ويتمثل هدف العلاج في خفض مستويات هذا البروتين السام بشكل دائم من خلال جرعة واحدة.
ويعتمد هذا العلاج على أحدث ما توصل إليه الطب الجيني الوراثي، إذ يجمع بين العلاج الجيني وتقنيات إسكات الجينات.
تبدأ العملية باستخدام فيروس آمن جرى تعديله ليحمل تسلسلاً خاصاً من الحمض النووي.
يُحقن هذا الفيروس عميقاً في الدماغ باستخدام التصوير بالرنين المغناطيسي في الوقت الفعلي لتوجيه قسطرة دقيقة "ميكروكاتيتر" إلى منطقتين في الدماغ هما النواة المذنبة واللوزة المخية. وتستغرق هذه الجراحة العصبية بين 12 و18 ساعة.
بعد ذلك يعمل الفيروس كأنه "ساعي بريد مجهري"، ينقل قطعة الحمض النووي الجديدة إلى داخل الخلايا العصبية، حيث تصبح نشطة.
وتحوّل هذه العملية الخلايا العصبية إلى "مصانع" لإنتاج العلاج وحماية نفسها من الموت.
تنتج الخلايا جزءاً صغيراً من المادة الجينية (يسمى microRNA) مصمماً لاعتراض وتعطيل التعليمات (الحمض النووي الرسول أو messenger RNA) التي تُرسل من الحمض النووي في الخلايا لبناء بروتين هنتنغتين المتحوّر.
وينتج عن ذلك انخفاض مستويات بروتين هنتنغتين المتحوّر في الدماغ.

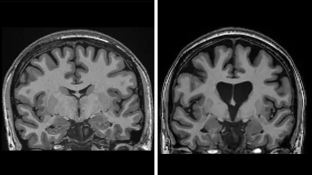
صدر الصورة، UCLH
تم الكشف عن نتائج التجربة، التي شملت 29 مريضاً، في بيان صادر عن شركة "يونيكيور" (uniQure)، لكنها لم تُنشر بعد بشكل كامل لمراجعتها من قبل خبراء آخرين.
وأظهرت البيانات أنه بعد ثلاث سنوات من الجراحة، كان هناك تباطؤ بنسبة 75 في المئة في المرض بناءً على مقياس يجمع بين الإدراك والوظائف الحركية والقدرة على إدارة شؤون الحياة اليومية.
كما أظهرت البيانات أن العلاج يحمي الخلايا العصبية. فمستويات "الخيوط العصبية" في السائل الشوكي - وهو مؤشر واضح على موت الخلايا العصبية - كان يُفترض أن ترتفع بمقدار الثلث إذا استمر المرض في التقدم، لكنها كانت أقل من مستوياتها عند بدء التجربة.
وقال البروفيسور إد وايلد، استشاري طب الأعصاب في المستشفى الوطني لطب الأعصاب وجراحة الأعصاب في مستشفى جامعة كوليدج لندن: "هذه هي النتيجة التي كنا ننتظرها".
وأضاف: "كان هناك احتمال كبير ألا نرى نتيجة كهذه أبداً، لذا فإننا الآن نعيش في عالم نعلم فيه أن هذا الأمر ليس ممكناً فحسب، بل إن حجم تأثيره مذهل. من الصعب جداً وصف الشعور".
وقال إنه شعر "بتأثر بالغ وغالبته الدموع" وهو يفكر في التأثير المحتمل على العائلات.
كان العلاج آمناً عموماً، رغم أن بعض المرضى أصيبوا بالتهاب ناجم عن الفيروس أدى إلى صداع والتباس ذهني، وهي أعراض اختفت أو احتاجت إلى علاج بالستيرويدات.
ويتوقع وايلد أن يدوم تأثير العلاج "مدى الحياة"، لأن الخلايا العصبية لا تُستبدل في الجسم بالطريقة نفسها التي تتجدد فيها خلايا الدم والجلد والعظام.
يُقدّر عدد المصابين بمرض هنتنغتون بنحو 75 ألف شخص في المملكة المتحدة والولايات المتحدة وأوروبا، إلى جانب مئات الآلاف الذين يحملون الطفرة الجينية ما يعني أنهم سيصابون بالمرض.
تقول شركة "يونيكيور" إنها ستتقدم بطلب للحصول على ترخيص في الولايات المتحدة في الربع الأول من عام 2026 بهدف طرح الدواء في وقت لاحق من ذلك العام. وستبدأ المحادثات مع السلطات في المملكة المتحدة وأوروبا العام المقبل، لكن التركيز الأولي سيكون على الولايات المتحدة.
وقال الدكتور وليد أبي صعب، المدير الطبي في "يونيكيور"، إنه "متحمس للغاية" لما تعنيه النتائج للعائلات، مضيفاً أن العلاج لديه "إمكانات قد تغيّر جذرياً" مسار مرض هنتنغتون.
لكن الدواء لن يكون متاحاً للجميع بسبب الجراحة المعقدة للغاية والتكلفة المتوقعة.
وقال وايلد: "سيكون مكلفاً بلا شك".
ولا يوجد سعر رسمي للدواء بعد. وغالباً ما تكون العلاجات الجينية باهظة، لكن تأثيرها الطويل الأمد قد يجعلها مع ذلك ميسورة التكلفة. ففي المملكة المتحدة، يدفع النظام الصحي الوطني ثَمن علاج جيني لمرض الهيموفيليا (ب) تصل كلفته إلى 2.6 مليون جنيه استرليني للمريض الواحد.
وتقول تبريزي إن هذا العلاج الجيني "مجرد بداية"، وسيفتح الباب أمام علاجات يمكن أن تصل إلى مزيد من المرضى.
وأشادت بالمتطوعين "الشجعان حقاً" الذين شاركوا في التجربة، قائلة إنها "سعيدة للغاية من أجل المرضى والعائلات".
وتعمل تبريزي بالفعل مع مجموعة من الشباب الذين يعلمون أنهم يحملون الجين لكن لم تظهر عليهم الأعراض بعد، ويُعرفون بمرحلة الصفر لمرض هنتنغتون - وتهدف إلى إجراء أول تجربة وقائية لمعرفة ما إذا كان بالإمكان تأخير المرض بشكل كبير أو حتى إيقافه تماماً.






























