| You are in: Health | |||||||||||||||||||||||||||||||||||||||||||||||||||||||||||||||||||||||||||||||||||||||||||||||||||||||||||||||||||||||||||||||||||||||||||
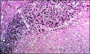
| Friday, 19 July, 2002, 00:20 GMT 01:20 UK Drug protects from killer brain disease ![]() CJD makes the brain look spongy Scientists have developed a treatment which may eventually help produce drugs to protect humans from vCJD incubating in their bodies. Mice with scrapie - a disease with causes and symptoms broadly similar to CJD - on average lived 38% longer if given the treatment after being exposed to the molecule that causes the illness. A group given daily injections for 20 days managed to stay completely disease free. Experts are hopeful that a treatment can be developed in case thousands of people worldwide are incubating the illness. Variant CJD is a brain disease in which the progressive death of brain cells gives the organ a spongy appearance. It is invariably fatal, and has been blamed on consumption of meat from cattle with BSE, or "mad cow disease". In the latest experiment, a team from Munich in Germany used chemicals called CpG oligodeoxynucleotides. Immune improvement Other experiments have shown that they appear to boost the immune system. Mice were first infected with the prion molecule responsible for one type of scrapie - the equivalent of BSE in sheep. Then the treatment chemical was injected. Mice infected with this prion tend to succumb to scrapie - normally at around 180 days. However, the mice given the treatment lasted much longer - more than 250 days for those given four days worth of jabs. A group given daily jabs for 20 days were still alive and well at 330 days when the trial finished. The researchers are now keen to find out if the treatment could be useful if given later in the course of the disease. They believe it helps stimulate immune cells to suppress the infection. Unknown quantity It is likely that large numbers of people were exposed to BSE-infected meat before it was banned by the government. However, doctors have little idea how many people will eventually fall prey to the illness, as they do not know the incubation period of the disease - and there are still no reliable tests for the presence of the incubating prion protein. Dr Stephen Dealler, who has conducted research into vCJD, told BBC News Online that it was vital that a screening test was developed alongside early treatments for vCJD so that potential victims could be identified. He said: "There are drugs around which may help, but we need to know whether this is an illness that will affect .001% of those exposed, or 10%." The research was detailed in the Lancet medical journal. | See also: 10 Jul 02 | Health 27 Feb 02 | England 25 Feb 02 | UK Internet links: The BBC is not responsible for the content of external internet sites Top Health stories now: Links to more Health stories are at the foot of the page. | |||||||||||||||||||||||||||||||||||||||||||||||||||||||||||||||||||||||||||||||||||||||||||||||||||||||||||||||||||||||||||||||||||||||||
Links to more Health stories |
![]() | ||
| ---------------------------------------------------------------------------------- To BBC Sport>> | To BBC Weather>> | To BBC World Service>> ---------------------------------------------------------------------------------- © MMIII | News Sources | Privacy |