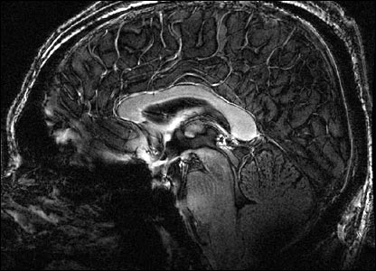
The scanner gives a much clearer image of the structures of the brain than less powerful machines.
You might also like:
news
|
sport
|
weather
|
worklife
|
travel
|
future
|
culture
|
world
|
business
|
technology